Hình Ảnh Mụn Rộp Sinh Dục Nhận Biết Sớm và Phòng Ngừa Hiệu Quả
-
Người viết: Dược Sĩ Vi Thùy Linh
/
Mụn rộp sinh dục là một trong những bệnh lý xã hội phổ biến, gây ảnh hưởng lớn đến sức khỏe và đời sống tình dục của người bệnh. Bài viết này sẽ cung cấp thông tin chi tiết về mụn rộp sinh dục, từ nguyên nhân, triệu chứng, hình ảnh nhận biết, cho đến phương pháp điều trị và phòng ngừa, giúp bạn hiểu rõ hơn và bảo vệ sức khỏe một cách hiệu quả.
I. Mụn rộp sinh dục liệu có nguy hiểm không?
Mụn rộp sinh dục là gì?
Mụn rộp sinh dục, hay còn gọi là Herpes sinh dục, là một bệnh lây qua đường tình dục do virus Herpes simplex (HSV) gây ra. Đây là một bệnh lý dai dẳng, dễ lây lan và tái phát nhiều lần nếu không được điều trị đúng cách.
Việc nhận biết sớm các dấu hiệu của mụn rộp sinh dục thông qua hình ảnh giúp người bệnh có thể:
- Phát hiện bệnh sớm.
- Giảm nguy cơ lây lan & biến chứng.
- Phương pháp điều trị kịp thời.
II. Nguyên nhân gây bệnh
Nguyên nhân chính
- Quan hệ tình dục không an toàn: Đây là con đường lây nhiễm chủ yếu, bao gồm cả quan hệ đường sinh dục, miệng hoặc hậu môn.
- Tiếp xúc trực tiếp với dịch từ vết loét: Virus HSV tồn tại trong dịch từ mụn rộp hoặc vết loét và dễ lây nhiễm qua tiếp xúc.
- Lây từ mẹ sang con: Người mẹ nhiễm HSV có thể truyền virus cho con trong thai kỳ hoặc khi sinh nở, đặc biệt là khi sinh thường.
Phân loại virus HSV
- HSV-1: Thường gây mụn rộp ở vùng môi, miệng, mũi và đôi khi xuất hiện ở vùng ngực.
- HSV-2: Chủ yếu gây mụn rộp ở bộ phận sinh dục, hậu môn và là nguyên nhân chính gây mụn rộp sinh dục.

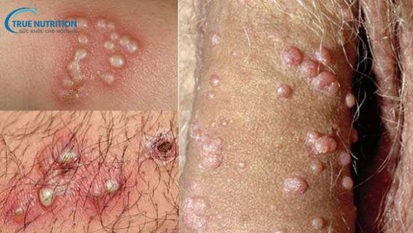
III. Hình ảnh mụn rộp sinh dục
1. Hình ảnh mụn rộp sinh dục thường gặp
- Xuất hiện các cụm mụn nước li ti, chứa dịch trong, sau đó vỡ ra và tạo thành vết loét gây đau rát.
- Vị trí thường gặp bao gồm: bộ phận sinh dục, miệng, mũi và hậu môn.
2. Triệu chứng bệnh tiến triển qua từng giai đoạn
Giai đoạn sơ nhiễm:
- Xuất hiện mụn nước kèm theo cảm giác đau rát, nóng ngứa.
- Nổi hạch bạch huyết, sốt nhẹ, mệt mỏi.
Giai đoạn tái phát:
- Mụn nước tái xuất hiện ở cùng vị trí hoặc khu vực khác.
- Cảm giác đau ngứa và khó chịu tăng lên.
3. Hình ảnh nhận biết ở nam giới
- Mụn nước xuất hiện ở dương vật, bao quy đầu, hậu môn.
- Kèm theo đau rát, sưng đỏ và nổi hạch bạch huyết ở vùng bẹn.

4. Hình ảnh nhận biết ở nữ giới
- Mụn nước thường xuất hiện ở âm đạo, môi lớn, môi bé và quanh hậu môn.
- Ngứa ngáy, khí hư bất thường và đau khi quan hệ tình dục.

IV. Các con đường lây nhiễm
- Qua quan hệ tình dục không an toàn: Lây nhiễm qua đường sinh dục, miệng hoặc tiếp xúc da kề da với vùng bị tổn thương.
- Tiếp xúc với dịch cơ thể: Virus HSV lây truyền qua vết loét, mụn nước của người bệnh.
- Từ mẹ sang con: Nguy cơ cao khi người mẹ sinh thường và đang trong giai đoạn phát bệnh.
- Sử dụng chung đồ dùng cá nhân: Khăn tắm, dao cạo, bàn chải đánh răng là những vật dụng dễ truyền virus.
V. Phương pháp điều trị tình trạng mụn rộp sinh dục
1. Điều trị tại chỗ
- Thuốc bôi Acyclovir: Giúp làm giảm triệu chứng và rút ngắn thời gian bùng phát bệnh.
2. Điều trị toàn thân
- Thuốc kháng virus: Acyclovir, Famciclovir, Valacyclovir thường được kê đơn để kiểm soát bệnh.
- Kháng sinh: Khi bội nhiễm.
3. Phương pháp y khoa
- Các kỹ thuật như đốt lạnh, đốt điện, tia laser hoặc sóng ngắn có thể được sử dụng để điều trị tổn thương.
4. Phương pháp dân gian hỗ trợ
- Nha đam: Làm dịu tổn thương và giảm đau rát.
- Rễ cam thảo: Kháng khuẩn tự nhiên, hỗ trợ điều trị mụn rộp.
- Giấm táo: Sát khuẩn và làm khô vùng mụn rộp.
Lưu ý khi điều trị:
- Điều trị sớm trong vòng 2 ngày từ khi xuất hiện triệu chứng để đạt hiệu quả tốt nhất.
- Không tự ý dùng thuốc hoặc áp dụng các biện pháp dân gian mà không có hướng dẫn từ bác sĩ.
VI. Phòng ngừa mụn rộp sinh dục
- Quan hệ tình dục an toàn: Sử dụng bao cao su và tránh quan hệ bằng miệng khi có tổn thương miệng hoặc môi.
- Thói quen vệ sinh cá nhân: Không dùng chung đồ cá nhân với người khác.
- Thăm khám sức khỏe định kỳ: Kiểm tra định kỳ để sàng lọc các bệnh xã hội.
- Cắt bao quy đầu ở nam giới: Giảm nguy cơ nhiễm HSV và các bệnh lây qua đường tình dục khác.
VII. Kết luận
Nhận biết sớm hình ảnh mụn rộp sinh dục và triệu chứng giúp bạn kịp thời điều trị, hạn chế nguy cơ lây lan và biến chứng. Hãy duy trì thói quen quan hệ tình dục an toàn và chăm sóc sức khỏe định kỳ để phòng ngừa bệnh hiệu quả. Nếu bạn nghi ngờ hoặc có dấu hiệu bất thường, hãy tìm đến cơ sở y tế uy tín để được thăm khám và hỗ trợ kịp thời.

Câu Hỏi Thường Gặp:
1. Bị mụn rộp sinh dục nên kiêng gì?
Khi mắc mụn rộp sinh dục, chế độ ăn uống đóng vai trò quan trọng trong việc giảm triệu chứng và hỗ trợ điều trị. Người bệnh cần tránh một số thực phẩm và đồ uống sau:
- Đồ ăn cay nóng: Các gia vị như ớt, tiêu, gừng, hoặc mù tạt có thể làm vùng viêm loét trở nên nghiêm trọng hơn, gây cảm giác đau rát và khó chịu. Ngoài ra, chúng còn kích thích tăng nhiệt độ cơ thể, khiến triệu chứng bùng phát mạnh hơn.
- Đồ uống có cồn và chất kích thích: Như rượu bia, cà phê hay nước ngọt có gas không chỉ làm suy yếu hệ miễn dịch mà còn gây kích ứng vùng bị tổn thương. Khi hệ miễn dịch yếu, virus Herpes simplex dễ hoạt động mạnh hơn, dẫn đến tình trạng tái phát hoặc kéo dài bệnh.
- Thực phẩm chứa nhiều dầu mỡ: Các món chiên xào, thức ăn nhanh như khoai tây chiên, gà rán gây khó tiêu, tăng tình trạng viêm nhiễm, và ảnh hưởng đến khả năng hấp thụ dưỡng chất của cơ thể. Điều này khiến cơ thể khó hồi phục và kiểm soát triệu chứng hơn.
- Thực phẩm chứa nhiều đường: Đường và thực phẩm chế biến sẵn như bánh kẹo có thể làm gây tăng lượng đường trong máu từ đó tạo 1 môi trường thuận lợi cho virus phát triển.
2. Cách chữa tình trạng mụn rộp sinh dục ở nữ tại nhà?
Mặc dù điều trị y tế là bắt buộc đối với mụn rộp sinh dục, một số biện pháp tại nhà dưới đây có thể giảm tình trạng:
- Chườm đá lạnh: Sử dụng khăn sạch bọc đá và chườm nhẹ nhàng lên vùng bị mụn trong khoảng 10-20 phút. Điều này giúp giảm sưng, đau và giảm cảm giác ngứa rát.
- Gel nha đam: Nha đam nổi tiếng với đặc tính kháng viêm và làm dịu da. Thoa một lớp gel nha đam mỏng lên vùng tổn thương, để trong 15-20 phút trước khi rửa lại bằng nước ấm.
- Ngâm nước muối Epsom: Hòa tan muối Epsom vào nước ấm và ngâm vùng bị tổn thương trong 10-15 phút. Điều này không chỉ giúp làm sạch khu vực mà còn giảm ngứa ngáy và kháng viêm hiệu quả.
- Trà xanh: Chườm túi trà xanh ấm hoặc dùng nước trà xanh để rửa vùng bị mụn cũng giúp kháng khuẩn và làm dịu da.
Lưu ý: Những biện pháp này chỉ mang tính hỗ trợ, không thể thay thế điều trị y tế.
3. Mụn rộp sinh dục liệu có thể tự khỏi không?
Mụn rộp sinh dục là một căn bệnh do virus Herpes simplex gây ra. Các vết loét do mụn rộp có thể tự lành trong 5-14 ngày, nhưng điều này không đồng nghĩa với việc bệnh đã khỏi. Virus HSV vẫn tồn tại trong cơ thể dưới dạng tiềm ẩn và có thể tái phát bất kỳ lúc nào, đặc biệt khi hệ miễn dịch suy giảm hoặc khi cơ thể bị căng thẳng, mệt mỏi.
Do đó, việc điều trị và kiểm soát triệu chứng là rất quan trọng để hạn chế tái phát và ngăn ngừa biến chứng.
4. Bị mụn rộp sinh dục liệu có quan hệ được không?
Trong thời gian có triệu chứng, tốt nhất người bệnh nên tránh quan hệ tình dục để giảm nguy cơ lây nhiễm cho bạn tình.
- Virus Herpes simplex rất dễ lây qua tiếp xúc trực tiếp với vùng da hoặc dịch tiết từ vết loét, kể cả khi có sử dụng bao cao su.
- Nếu quyết định quan hệ, cần đeo bao cao su và tránh tiếp xúc với khu vực bị tổn thương. Tuy nhiên, bao cao su không thể bảo vệ hoàn toàn vì virus có thể lây lan qua vùng da xung quanh.
- Khi triệu chứng đã lành, vẫn nên thận trọng vì virus vẫn có thể lây lan ngay cả khi không có dấu hiệu rõ ràng (lây nhiễm không triệu chứng).
5. Bị mụn rộp sinh dục thường bôi thuốc gì?
Thuốc bôi chứa thành phần kháng virus như Acyclovir, Valacyclovir, hoặc Famciclovir thường được chỉ định để giảm triệu chứng và hạn chế sự phát triển của virus.
- Thuốc bôi nên được sử dụng ngay khi xuất hiện mụn nước đầu tiên để đạt hiệu quả cao nhất.
- Tần suất sử dụng: Thoa thuốc 5-6 lần/ngày, mỗi lần cách nhau khoảng 3 giờ, kéo dài liên tục trong 7-10 ngày hoặc theo chỉ định của bác sĩ.
Ngoài thuốc bôi, bác sĩ có thể chỉ định kết hợp với thuốc uống kháng virus nếu triệu chứng nặng hoặc có nguy cơ tái phát cao.
6. Mụn rộp sinh dục liệu có gây ung thư không?
Hiện tại, không có bằng chứng trực tiếp cho thấy mụn rộp sinh dục do virus Herpes simplex gây ung thư. Tuy nhiên, tình trạng viêm loét kéo dài do mụn rộp sinh dục có thể làm tăng nguy cơ lây nhiễm các căn bệnh lây truyền qua con đường tình dục khác, bao gồm HIV.
Đối với một số virus khác lây qua đường tình dục như HPV (Human Papillomavirus), có mối liên hệ rõ ràng với ung thư cổ tử cung, hậu môn, và dương vật. Vì vậy, người mắc mụn rộp sinh dục cần thăm khám định kỳ để được tầm soát các nguy cơ khác.
Sản Phẩm True Nutrition
Khuyến mãi mỗi ngày
Viết bình luận