Bệnh Răng Lệch Có Thể Điều Trị Như Thế Nào? Giải Pháp Và Cách Khắc Phục
-
Người viết: Dược Sĩ Ái Minh
/
Răng lệch có nguy hiểm không? Đây là câu hỏi mà nhiều người đang đối mặt khi gặp phải tình trạng răng lệch, ảnh hưởng đến vẻ ngoài và sức khỏe răng miệng. Mặc dù không gây đau đớn ngay lập tức, nhưng nếu không được điều trị kịp thời, răng lệch có thể dẫn đến nhiều vấn đề nghiêm trọng hơn, từ khó khăn trong việc nhai đến nguy cơ mắc các bệnh lý răng miệng.

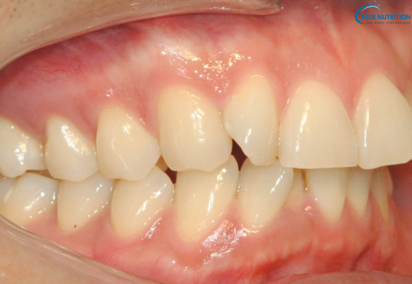
Hiểu Rõ Răng Lệch Là Gì?
Răng lệch là tình trạng không hiếm gặp trong xã hội hiện nay. Đây là khi các răng không mọc thẳng hàng và đồng đều như mong muốn, gây ảnh hưởng không nhỏ đến thẩm mỹ cũng như sức khỏe răng miệng của người gặp phải. Răng lệch có thể xảy ra ở nhiều độ tuổi khác nhau, từ trẻ em cho đến người lớn, và không phải lúc nào nó cũng là vấn đề bẩm sinh.
Mặc dù việc răng mọc lệch có thể gây ra một số vấn đề về thẩm mỹ, nhưng thực tế nó còn ảnh hưởng đến khả năng nhai, làm sạch răng và dẫn đến các bệnh lý răng miệng nghiêm trọng nếu không được xử lý kịp thời. Những ai gặp phải tình trạng này cần phải hiểu rõ nguyên nhân và phương pháp điều trị để cải thiện tình trạng này tốt nhất.

Nguyên Nhân Khiến Răng Lệch
Tình trạng răng mọc lệch có thể xuất phát từ nhiều nguyên nhân khác nhau. Việc tìm hiểu nguyên nhân giúp bác sĩ dễ dàng đưa ra phương án điều trị hiệu quả và phù hợp nhất cho từng trường hợp cụ thể.
- Khi Răng Vĩnh Viễn Mọc Lên, Răng Sữa Vẫn Chưa Rụng
Khi một chiếc răng sữa chưa rụng đúng lúc mà răng vĩnh viễn đã mọc lên, điều này có thể khiến cho răng vĩnh viễn không có đủ không gian để phát triển đúng hướng. Kết quả là chiếc răng vĩnh viễn mọc lêch để có thể phát triển. Việc này phổ biến ở các trường hợp trẻ em, khi răng sữa vẫn còn tồn tại quá lâu sau khi răng vĩnh viễn đã bắt đầu mọc.
- Hàm Răng Thiếu Đủ Không Gian Để Các Răng Phát Triển
Nếu hàm răng của một người quá nhỏ so với số lượng răng vĩnh viễn cần mọc, điều này có thể khiến các răng không thể mọc đúng vị trí. Trong trường hợp này, các răng có thể mọc chen chúc, xô lệch hoặc đẩy nhau để tạo ra đủ không gian. Hiện tượng này xảy ra chủ yếu ở các trường hợp trẻ em hoặc người trưởng thành có kích thước hàm răng nhỏ.
- Di Truyền
Răng mọc lệch cũng có thể là một yếu tố di truyền. Nếu bố mẹ có răng lệch hoặc các vấn đề về cấu trúc hàm răng, con cái có thể gặp phải tình trạng tương tự. Gen di truyền có thể làm ảnh hưởng đến sự phát triển của răng và cấu trúc hàm, khiến răng mọc không thẳng đều.
- Những Vấn Đề Sức Khỏe Liên Quan Đến Răng Miệng
Một số bệnh lý về răng miệng cũng có thể là nguyên nhân dẫn đến tình trạng răng mọc lệch. Các vấn đề như sâu răng, viêm nướu hoặc các bệnh lý khác có thể làm thay đổi hướng mọc của răng, khiến chúng bị lệch lạc. Những tác động bên ngoài này sẽ làm cho sự phát triển của răng gặp khó khăn, dẫn đến tình trạng lệch lạc.
- Tác Động Của Thói Quen Xấu
Một số thói quen xấu như mút tay, thở bằng miệng hay nghiến răng cũng có thể là nguyên nhân gây ra tình trạng răng lệch. Những hành động này tác động mạnh mẽ lên sự phát triển của răng và hàm, đặc biệt là trong quá trình phát triển của trẻ em. Việc hình thành những thói quen này từ khi còn nhỏ có thể ảnh hưởng đến việc hình thành và phát triển của răng vĩnh viễn.
Biến Chứng Răng Mọc Lệch
Khi răng mọc lệch, không chỉ ảnh hưởng đến vẻ đẹp thẩm mỹ của khuôn mặt mà còn có thể gây ra những vấn đề về sức khỏe. Dưới đây là một số hậu quả phổ biến mà người bị răng mọc lệch có thể gặp phải:
- Khả Năng Nhai Bị Ảnh Hưởng
Răng lệch gây khó khăn trong việc nhai thức ăn. Các răng không thể tiếp xúc đúng cách khi ăn, khiến việc nghiền thức ăn trở nên kém hiệu quả. Điều này có thể gây ảnh hưởng đến hệ tiêu hóa, bởi vì thức ăn không được nghiền nát kỹ trước khi nuốt. Hơn nữa, khi thức ăn bị nghiền không đều, có thể gây áp lực lên dạ dày, dẫn đến các vấn đề về tiêu hóa.
- Tăng Nguy Cơ Gặp Các Bệnh Về Răng Miệng
Việc vệ sinh răng miệng có thể gặp khó khăn nếu răng mọc lệch. Các kẽ răng khó làm sạch sẽ tạo môi trường thuận lợi cho vi khuẩn sinh sôi, gây ra các bệnh lý về răng miệng như sâu răng, viêm nướu, viêm lợi, hay viêm nha chu. Những vấn đề này nếu không được điều trị kịp thời có thể dẫn đến mất răng, đau đớn, và cần phải can thiệp y tế.
- Mất Tự Tin Trong Giao Tiếp
Một trong những hậu quả dễ nhận thấy nhất của việc răng mọc lệch là việc người bị ảnh hưởng cảm thấy tự ti khi giao tiếp. Họ có thể ngại cười hoặc nói chuyện trước đám đông vì lo lắng về vẻ bề ngoài của mình. Điều này ảnh hưởng trực tiếp đến đời sống xã hội, công việc, và các mối quan hệ cá nhân.
- Việc Chăm Sóc Răng Miệng Có Thể Gặp Phải Nhiều Trở Ngại
Việc chăm sóc răng miệng trở nên phức tạp hơn khi răng mọc lệch. Các kẽ răng khó tiếp cận làm tăng nguy cơ hình thành mảng bám và vi khuẩn. Việc này có thể dẫn đến tình trạng sâu răng và các bệnh lý răng miệng khác.

Các Phương Pháp Điều Trị Răng Mọc Lệch
Răng mọc lệch có thể được điều trị thông qua nhiều phương pháp khác nhau. Mỗi phương pháp đều mang lại những lợi ích và hạn chế riêng, và việc chọn lựa phương pháp thích hợp sẽ dựa vào mức độ lệch của răng, khả năng tài chính, cùng với yêu cầu về thẩm mỹ của từng cá nhân.
Niềng Răng
Niềng răng là phương pháp điều trị phổ biến và hiệu quả nhất hiện nay. Quá trình niềng răng giúp các răng di chuyển từ vị trí lệch về đúng vị trí mong muốn. Đây là phương pháp sử dụng các khí cụ chỉnh nha như mắc cài kim loại, mắc cài sứ hoặc các khí cụ trong suốt (như Invisalign) để tạo lực kéo lên các răng. Quá trình này có thể kéo dài từ 12 đến 24 tháng tùy thuộc vào mức độ lệch.
- Ưu điểm: Niềng răng là phương pháp giúp khôi phục lại sự thẳng đều cho răng mà không cần phẫu thuật. Phương pháp này phù hợp với hầu hết các trường hợp răng mọc lệch và giúp cải thiện thẩm mỹ khuôn mặt.
- Nhược điểm: Thời gian niềng kéo dài và chi phí điều trị khá cao. Hơn nữa, trong suốt quá trình niềng răng, bệnh nhân cần kiên nhẫn và thực hiện đúng các hướng dẫn của bác sĩ.
Bọc Răng Sứ
Bọc răng sứ là phương pháp điều trị thích hợp cho những trường hợp răng lệch nhẹ hoặc các trường hợp cần cải thiện thẩm mỹ nhanh chóng. Trong phương pháp này, bác sĩ sẽ mài bớt răng gốc và phủ lên bề mặt răng một lớp sứ để tạo ra hình dáng và màu sắc phù hợp.
- Ưu điểm: Bọc răng sứ có thể mang lại hiệu quả tức thì, giúp bạn có một hàm răng đều đặn và tự nhiên. Phương pháp này rất nhanh chóng và ít gây đau đớn.
- Nhược điểm: Phương pháp này chỉ thích hợp cho các trường hợp răng lệch nhẹ. Bọc răng sứ không giải quyết tận gốc nguyên nhân của tình trạng lệch răng mà chỉ làm đẹp bề ngoài.
Phẫu Thuật Chỉnh Hình
Đối với những trường hợp răng lệch nghiêm trọng, phẫu thuật chỉnh hình là phương pháp can thiệp mạnh mẽ giúp đưa các răng về đúng vị trí. Phẫu thuật chỉnh hình có thể bao gồm việc cắt xương hàm hoặc can thiệp vào cấu trúc hàm để điều chỉnh vị trí của các răng.
- Ưu điểm: Phẫu thuật giúp sửa chữa tình trạng lệch răng nghiêm trọng và đem lại hiệu quả thẩm mỹ cao.
- Nhược điểm: Phẫu thuật có chi phí cao và cần phải thực hiện tại các cơ sở y tế uy tín. Quá trình hồi phục sau phẫu thuật khá lâu và có thể gây ra một số biến chứng.
Chọn Phương Pháp Điều Trị Phù Hợp
Khi chọn phương pháp điều trị răng mọc lệch, bạn cần phải căn cứ vào các yếu tố sau:
- Mức độ lệch của răng: Nếu răng lệch nhẹ, bạn có thể chọn bọc răng sứ hoặc sử dụng các khí cụ chỉnh nha nhẹ. Nếu răng lệch nghiêm trọng, phương pháp niềng răng hoặc phẫu thuật chỉnh hình sẽ là lựa chọn tối ưu.
- Tình trạng sức khỏe răng miệng: Các bệnh lý về răng miệng như sâu răng hay viêm nướu cần được điều trị trước khi tiến hành các biện pháp điều trị răng mọc lệch.
- Khả năng tài chính: Một số phương pháp điều trị có chi phí khá cao, vì vậy bạn cần cân nhắc kỹ lưỡng trước khi quyết định.

Phòng Ngừa Răng Lệch
- Bảo Đảm Một Chế Độ Ăn Uống Đầy Đủ Dinh Dưỡng Và Lành Mạnh
Chế độ dinh dưỡng có ảnh hưởng rất lớn đến sự phát triển của răng miệng, đặc biệt là trong giai đoạn mọc răng. Một chế độ ăn uống hợp lý sẽ giúp cung cấp đủ dưỡng chất cho răng và xương hàm phát triển đều đặn.
- Kiểm Soát Thói Quen Mút Tay và Thở Bằng Miệng
Thói quen mút tay và thở bằng miệng là một trong những nguyên nhân phổ biến dẫn đến tình trạng răng mọc lệch, đặc biệt là ở trẻ em. Các thói quen này có thể tác động lên sự phát triển của hàm và răng, khiến chúng bị lệch hoặc mọc chen chúc. Để ngừng những thói quen này, các bậc phụ huynh nên chú ý quan sát và can thiệp kịp thời. Nếu trẻ có thói quen mút tay hay thở bằng miệng, các bậc phụ huynh có thể tham khảo các biện pháp thay thế, hoặc cần sự hỗ trợ từ các bác sĩ chuyên khoa để điều trị.
- Khám Răng Miệng Định Kỳ
Khám răng miệng định kỳ là một trong những biện pháp phòng ngừa quan trọng để phát hiện sớm những vấn đề về răng miệng, bao gồm tình trạng răng mọc lệch. Việc này giúp bác sĩ phát hiện sớm các dấu hiệu của sự phát triển không đều của răng và kịp thời có phương án điều trị.
- Sử Dụng Các Thiết Bị Chỉnh Nha Phòng Ngừa Sớm
Đối với những trẻ em có nguy cơ cao gặp phải vấn đề về răng mọc lệch, bác sĩ có thể khuyến nghị sử dụng các thiết bị chỉnh nha để phòng ngừa từ sớm. Các thiết bị này giúp điều chỉnh sự phát triển của hàm và răng, giúp răng mọc đúng vị trí mà không cần phải can thiệp phẫu thuật sau này.
Chỉnh nha sớm: Phương pháp chỉnh nha sớm có thể áp dụng cho trẻ em từ 6 đến 8 tuổi khi các vấn đề về cấu trúc hàm còn dễ điều chỉnh. Việc này giúp giảm thiểu nguy cơ răng mọc lệch khi trẻ bước vào giai đoạn trưởng thành.
Khí cụ chỉnh nha: Một số khí cụ như hàm tháo lắp hoặc các khung niềng có thể giúp hướng dẫn sự phát triển của răng và hàm, giúp ngăn ngừa các vấn đề về lệch lạc. Đây là phương pháp để tránh tình trạng răng mọc lệch do sự phát triển bất thường của xương hàm.

Trả Lời Câu Hỏi
Trẻ mọc răng lệch phải làm sao?
Khi trẻ mọc răng lệch, điều quan trọng nhất là cần đưa trẻ đến bác sĩ nha khoa để được kiểm tra và tư vấn kịp thời. Tùy vào độ tuổi và mức độ lệch của răng, bác sĩ có thể đề xuất các phương pháp điều trị như niềng răng hoặc theo dõi sự phát triển tự nhiên của răng. Nếu trẻ còn nhỏ, bác sĩ thường khuyến khích sử dụng các khí cụ nha khoa để hướng dẫn răng mọc đúng vị trí, tránh gây khó khăn trong việc nhai và ảnh hưởng đến thẩm mỹ sau này.
Răng bị lệch có bọc sứ được không?
Răng bị lệch hoàn toàn có thể bọc sứ, nhưng phương pháp này thường áp dụng cho các trường hợp răng lệch nhẹ hoặc trung bình và có thể điều chỉnh được. Việc bọc sứ giúp cải thiện tính thẩm mỹ, tạo cho hàm răng đều đặn và đẹp hơn. Tuy nhiên, đối với các trường hợp răng lệch nặng, việc bọc sứ có thể không giải quyết triệt để vấn đề và cần kết hợp với phương pháp niềng răng hoặc các thủ thuật chỉnh hình để đạt được kết quả tối ưu.
Răng lệch có nguy hiểm không?
Răng lệch nếu không được can thiệp sớm có thể dẫn đến nhiều vấn đề sức khỏe. Việc răng mọc lệch có thể gây khó khăn trong việc ăn uống, nhai thức ăn không hiệu quả, làm tăng nguy cơ mắc các bệnh lý như viêm nướu, sâu răng do không thể vệ sinh đúng cách. Hơn nữa, nếu răng lệch ảnh hưởng đến khớp cắn, có thể gây đau nhức hoặc tổn thương lâu dài đến các khớp hàm. Do đó, việc điều trị răng lệch kịp thời là rất quan trọng để bảo vệ sức khỏe răng miệng và thẩm mỹ.
Kết Luận
Răng lệch không chỉ ảnh hưởng đến thẩm mỹ mà còn gây ra những vấn đề về sức khỏe răng miệng nếu không được xử lý kịp thời. Việc thăm khám và điều trị đúng cách sẽ giúp cải thiện tình trạng này, mang lại hàm răng đều đẹp, chắc khỏe và cải thiện khả năng nhai, từ đó nâng cao chất lượng cuộc sống. u dài. Dù phương pháp điều trị nào, bạn cũng nên tham khảo ý kiến bác sĩ chuyên khoa để tìm ra phương pháp phù hợp nhất với tình trạng của mình.
Sản Phẩm True Nutrition
Khuyến mãi mỗi ngày
Viết bình luận