Bệnh Sâu Răng Là Gì? Cách Nhận Diện Sớm và Ngăn Ngừa Biến Chứng
-
Người viết: Dược Sĩ Nguyễn Đức Toàn
/
Sâu răng được coi là một trong những tình trạng phổ biến nhất ảnh hưởng đến sức khỏe răng miệng trên toàn cầu, ảnh hưởng đến mọi lứa tuổi, từ trẻ nhỏ đến người lớn tuổi. Sâu răng không chỉ gây đau đớn, khó chịu, sâu răng còn có thể dẫn đến nhiều biến chứng nghiêm trọng nếu không được điều trị kịp thời.
Hiểu rõ Sâu Răng Là Gì?
Sâu răng là quá trình tổn thương mô cứng của răng do vi khuẩn gây ra. Quá trình này diễn ra khi các vi khuẩn trong mảng bám răng sản sinh ra axit, làm mất khoáng chất trên bề mặt men răng và hình thành các lỗ nhỏ trên răng. Nếu không được xử lý, sâu răng sẽ lan rộng vào các lớp sâu hơn như ngà răng và tủy răng, gây đau đớn và nhiễm trùng nặng nề.
Đặc Điểm Của Bệnh Sâu Răng
- Xuất hiện ở mọi lứa tuổi, đặc biệt là trẻ em, thanh thiếu niên và người lớn tuổi.
- Tỷ lệ mắc cao hơn ở những người không duy trì vệ sinh răng miệng tốt.
- Nếu không điều trị, sâu răng có thể dẫn đến mất răng vĩnh viễn.

Nguyên Nhân Gây Sâu Răng
Sâu răng không xảy ra ngay lập tức mà là kết quả của một quá trình diễn ra trong thời gian dài. Sau đây là những lý do cơ bản gây ra tình trạng này:
Mảng Bám Răng
- Mảng bám là một lớp màng mỏng, dính trên bề mặt răng, được hình thành từ vi khuẩn, thức ăn và nước bọt. Khi ăn nhiều đường hoặc tinh bột mà không vệ sinh răng kỹ, vi khuẩn sẽ tiêu hóa các chất này, tạo thành axit và gây xói mòn men răng.
Vi Khuẩn Gây Hại
- Các loại vi khuẩn như Streptococcus mutans, Actinomyces, và Lactobacillus được xác định là nguyên nhân chính gây sâu răng. Những vi khuẩn này bám vào mảng bám, sinh sôi và sản sinh axit làm hủy hoại răng.
Chế Độ Ăn Uống
- Ăn nhiều thực phẩm chứa đường và tinh bột như bánh kẹo, nước ngọt.
- Sử dụng đồ uống có tính axit cao như soda, cà phê có đường.
- Ăn vặt thường xuyên làm tăng nguy cơ sâu răng do răng tiếp xúc liên tục với axit.
Thói Quen Vệ Sinh Răng Miệng
- Không vệ sinh răng miệng ít nhất hai lần mỗi ngày.
- Không sử dụng chỉ nha khoa để loại bỏ mảng bám ở các kẽ răng.
- Thiếu fluoride trong kem đánh răng hoặc nguồn nước uống.

Triệu Chứng Của Bệnh Sâu Răng
Triệu Chứng Sớm (Giai Đoạn Khởi Phát)
Khi bệnh sâu răng mới bắt đầu, các triệu chứng thường không rõ ràng và dễ bị bỏ qua. Trong giai đoạn này, chỉ những người thường xuyên kiểm tra răng miệng hoặc chú ý cẩn thận mới có thể nhận biết:
- Xuất hiện các đốm trắng mờ trên bề mặt răng: Đây là dấu hiệu sớm của quá trình mất khoáng, khi men răng bắt đầu bị tổn thương do vi khuẩn tấn công. Đốm trắng này thường nằm ở những khu vực dễ tích tụ mảng bám, như kẽ răng hoặc gần viền nướu.
- Cảm giác nhạy cảm nhẹ: Bạn có thể cảm thấy răng nhạy cảm hơn khi uống đồ nóng, lạnh hoặc ăn đồ ngọt, nhưng triệu chứng này thường rất nhẹ và dễ bị bỏ qua.
- Không có đau nhức rõ rệt: Trong giai đoạn này, sâu răng thường không gây đau đớn, khiến nhiều người chủ quan.
Triệu Chứng Trung Gian (Sâu Răng Tiến Triển)
Khi sâu răng không được điều trị, tổn thương lan sâu hơn vào men răng và ngà răng, khiến các triệu chứng trở nên rõ ràng hơn:
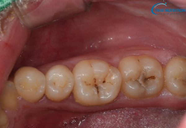
- Xuất hiện lỗ sâu: Lúc này, bạn có thể quan sát thấy một lỗ nhỏ hoặc vùng tối màu trên bề mặt răng. Lỗ sâu thường có màu nâu, xám hoặc đen, tùy thuộc vào mức độ nhiễm khuẩn và vị trí tổn thương.
- Đau nhẹ hoặc nhói lên khi ăn uống: Cơn đau thường xảy ra khi bạn nhai thức ăn, đặc biệt là thực phẩm cứng, ngọt hoặc có tính axit cao.
- Nhạy cảm tăng lên rõ rệt: Cảm giác ê buốt khi uống nước nóng hoặc lạnh, hoặc khi thức ăn chạm vào vùng răng sâu, trở nên rõ ràng hơn.
- Mùi hôi miệng: Vi khuẩn và mảng bám tích tụ trong lỗ sâu răng có thể gây ra mùi khó chịu trong miệng, ngay cả khi bạn đã đánh răng thường xuyên.
Triệu Chứng Nặng (Sâu Răng Lan Đến Tủy Răng)
Khi bệnh tiến triển nặng, sâu răng có thể xâm nhập sâu vào lớp ngà và tủy răng, dẫn đến các triệu chứng nghiêm trọng hơn:
- Đau nhức dữ dội: Đau răng trở thành triệu chứng điển hình trong giai đoạn này. Cơn đau có thể xuất hiện tự phát, không cần kích thích từ thực phẩm hoặc đồ uống. Nó thường xảy ra vào ban đêm hoặc khi nằm, do áp lực máu tăng lên trong vùng viêm.
- Sưng nướu xung quanh răng sâu: Vi khuẩn và nhiễm trùng có thể lan rộng, gây viêm nướu. Vùng nướu quanh răng sâu trở nên sưng đỏ, đau và có thể chảy máu khi chạm vào.
- Áp xe răng: Khi vi khuẩn xâm nhập sâu vào tủy răng, chúng có thể gây hình thành túi mủ (áp xe) quanh chân răng. Điều này thường đi kèm với sưng mặt, sốt và cảm giác đau nhức lan tỏa.
- Đổi màu răng: Răng bị sâu nặng thường có màu nâu sẫm hoặc đen, mất đi độ bóng tự nhiên của men răng.
Triệu Chứng Toàn Thân (Hậu Quả Của Nhiễm Trùng)
Nếu sâu răng không được điều trị kịp thời, vi khuẩn từ tủy răng có thể lan rộng, gây ảnh hưởng đến toàn bộ cơ thể. Bao gồm các biểu hiện ảnh hưởng đến toàn cơ thể:
- Sốt cao và mệt mỏi: Đây là dấu hiệu cơ thể phản ứng với nhiễm trùng. Nhiệt độ cơ thể tăng cao, đi kèm với cảm giác ớn lạnh và kiệt sức.
- Khó ăn uống: Đau nhức làm giảm khả năng nhai, khiến người bệnh ăn ít đi, từ đó ảnh hưởng đến sức khỏe tổng thể.
- Hạch bạch huyết sưng đau: Hạch bạch huyết ở vùng cổ hoặc dưới hàm có thể bị sưng, đau khi chạm vào, do cơ thể đang chống lại vi khuẩn từ nhiễm trùng răng.
Triệu Chứng Ở Trẻ Em
Trẻ em là đối tượng dễ bị sâu răng, đặc biệt là răng sữa. Các triệu chứng ở trẻ thường bao gồm:
- Khó chịu và quấy khóc: Trẻ bị đau răng thường trở nên cáu kỉnh, quấy khóc và khó ngủ vào ban đêm.
- Kén ăn hoặc bỏ bú: Trẻ có thể từ chối ăn uống vì cảm giác đau hoặc khó chịu khi nhai.
- Sưng nướu hoặc má: Khi sâu răng gây viêm hoặc áp xe, vùng má hoặc nướu của trẻ có thể bị sưng lên, kèm theo sốt.

Khi Nào Cần Đi Khám Nha Sĩ?
Người bệnh cần đi khám nha sĩ định kỳ để phát hiện và điều trị sâu răng kịp thời. Tuy nhiên, nếu gặp các triệu chứng sau, bạn nên đặt lịch khám ngay:
- Cơn đau răng kéo dài, nhất là vào những buổi tối.
- Xuất hiện lỗ sâu hoặc sưng tấy quanh nướu.
- Khó nhai hoặc nhạy cảm với đồ ăn, thức uống.
Biến Chứng Của Bệnh Sâu Răng
Sâu răng không chỉ gây ra cảm giác khó chịu và đau đớn mà còn có thể dẫn đến các biến chứng nghiêm trọng, ảnh hưởng đến sức khỏe răng miệng lẫn tình trạng sức khỏe tổng thể. Dưới đây là những biến chứng phổ biến mà bệnh sâu răng có thể gây ra nếu không được điều trị kịp thời:
Đau Răng Mãn Tính
- Sâu răng thường bắt đầu bằng những cơn đau nhẹ hoặc cảm giác nhói lên khi tiếp xúc với nhiệt độ nóng, lạnh hoặc thực phẩm ngọt. Khi sâu răng tiến triển, cơn đau trở nên thường xuyên và dữ dội hơn, đặc biệt là khi lỗ sâu lan đến ngà răng hoặc tủy răng.
- Đau răng mãn tính không chỉ gây khó chịu trong sinh hoạt mà còn ảnh hưởng đến giấc ngủ và năng suất làm việc. Với trẻ em, nó có thể làm giảm khả năng tập trung học tập, khiến trẻ cảm thấy mệt mỏi và dễ cáu kỉnh.
Nhiễm Trùng Tủy Răng và Áp Xe Răng
Khi vi khuẩn xâm nhập sâu vào tủy răng, nơi chứa dây thần kinh và mạch máu, chúng gây viêm tủy và nhiễm trùng. Dấu hiệu nhiễm trùng bao gồm đau nhức dữ dội, sưng nướu và đôi khi xuất hiện mủ.
Áp xe răng là một tình trạng nghiêm trọng hơn, xảy ra khi nhiễm trùng lan rộng, hình thành túi mủ quanh chân răng. Nếu không được xử lý sớm, áp xe có thể dẫn đến:
- Sưng mặt hoặc hàm, ảnh hưởng đến việc ăn uống và nói chuyện.
- Sốt cao do nhiễm trùng lan vào máu.
- Nguy cơ nhiễm trùng lan sang các vùng lân cận như xương hàm, xoang hoặc các mô mềm trong miệng.
Trong một số trường hợp hiếm gặp, nhiễm trùng từ áp xe răng có thể lan rộng và gây nhiễm trùng huyết, đe dọa tính mạng.
Rối Loạn Tiêu Hóa
Răng đóng vai trò quan trọng trong việc nhai và nghiền nát thức ăn trước khi đưa xuống dạ dày. Khi răng bị sâu, người bệnh thường nhai lệch sang một bên hoặc tránh nhai kỹ do đau, dẫn đến tình trạng:
- Thức ăn không được nghiền nát hoàn toàn, gây khó khăn cho quá trình tiêu hóa.
- Gia tăng áp lực lên dạ dày, lâu dài có thể dẫn đến các vấn đề về tiêu hóa như đau dạ dày, viêm dạ dày.
Tác động đến vẻ ngoài và tâm lý
- Sâu răng thường làm răng bị đổi màu, xuất hiện các lỗ sâu hoặc vết nứt, làm giảm tính thẩm mỹ của hàm răng. Điều này khiến nhiều người, đặc biệt là thanh thiếu niên và người trưởng thành, cảm thấy tự ti khi cười hoặc giao tiếp.
- Ngoài ra, hơi thở có mùi do vi khuẩn trong răng sâu phân hủy cũng gây mất tự tin và ảnh hưởng tiêu cực đến các mối quan hệ xã hội.
Nguy Cơ Bệnh Toàn Thân
Vi khuẩn gây sâu răng không chỉ ảnh hưởng tại chỗ mà còn có thể lan rộng qua đường máu, dẫn đến các vấn đề sức khỏe toàn thân, bao gồm:
- Bệnh tim mạch: Vi khuẩn từ răng sâu có thể xâm nhập vào máu, gây viêm nội mạc tim hoặc làm tăng nguy cơ xơ vữa động mạch.
- Viêm phổi: Khi hít phải vi khuẩn từ khoang miệng, người bệnh có nguy cơ bị nhiễm trùng đường hô hấp, đặc biệt là viêm phổi.
- Biến chứng thai kỳ: Phụ nữ mang thai bị sâu răng nặng có nguy cơ sinh non hoặc trẻ nhẹ cân cao hơn bình thường.

Những cách thức ngăn ngừa sâu răng
Phòng ngừa là cách tốt nhất để bảo vệ sức khỏe răng miệng và tránh sâu răng:
Vệ Sinh Răng Miệng Đúng Cách
- Vệ sinh răng miệng ít nhất hai lần mỗi ngày với kem đánh răng có chứa fluoride.
- Sử dụng chỉ nha khoa hoặc bàn chải kẽ răng để loại bỏ mảng bám giữa các răng.
- Súc miệng bằng nước muối hoặc dung dịch sát khuẩn theo hướng dẫn của nha sĩ.
Chế Độ Ăn Uống Lành Mạnh
- Giảm thiểu tiêu thụ các món ăn ngọt và thực phẩm giàu tinh bột.
- Tăng cường ăn rau xanh, trái cây tươi để kích thích sản xuất nước bọt.
- Uống đủ nước, đặc biệt là nước máy có chứa fluoride.
Khám Răng Định Kỳ
- Thăm khám nha sĩ mỗi 6 tháng để làm sạch mảng bám và phát hiện sớm các vấn đề răng miệng.
Sử Dụng Fluoride
Fluoride là khoáng chất giúp tái khoáng men răng và ngăn ngừa sâu răng. Bạn có thể bổ sung fluoride thông qua:
- Kem đánh răng.
- Nước uống công cộng.
- Gel hoặc dung dịch fluoride được nha sĩ chỉ định.
Quá trình nhận diện và điều trị bệnh sâu răng
Chẩn Đoán
Nha sĩ sẽ kiểm tra tình trạng răng miệng và sử dụng các phương pháp như:
- Quan sát trực tiếp lỗ sâu, vết đổi màu trên răng.
- Chụp X-quang để đánh giá mức độ tổn thương bên trong răng.
Các Phương Pháp Điều Trị
- Điều Trị Bằng Fluoride: Áp dụng cho sâu răng giai đoạn đầu, giúp phục hồi men răng.
- Trám Răng: Sử dụng vật liệu như nhựa composite để lấp đầy lỗ sâu.
- Bọc Răng Sứ: Bảo vệ răng yếu hoặc bị tổn thương nghiêm trọng.
- Nhổ Răng: Áp dụng khi răng không thể phục hồi và cần loại bỏ để tránh lan nhiễm.
Tầm Quan Trọng Của Sức Khỏe Răng Miệng
Sâu răng không chỉ ảnh hưởng đến thẩm mỹ và chức năng nhai mà còn liên quan đến nhiều vấn đề sức khỏe khác. Bảo vệ răng miệng không chỉ giúp bạn tự tin hơn mà còn nâng cao chất lượng cuộc sống.
Trả lời câu hỏi
Tại sao sâu răng phải lấy tủy?
Lấy tủy là một bước cần thiết khi sâu răng đã lan rộng đến buồng tủy, nơi chứa dây thần kinh và mạch máu của răng. Khi vi khuẩn tấn công vào khu vực này, chúng gây viêm và nhiễm trùng, dẫn đến các triệu chứng đau nhức dữ dội, sưng tấy, và có thể hình thành áp xe răng. Nếu không lấy tủy, vi khuẩn sẽ tiếp tục phát triển, phá hủy mô răng và gây ảnh hưởng đến các cấu trúc xung quanh như xương hàm, thậm chí lan rộng ra toàn cơ thể. Quá trình lấy tủy giúp loại bỏ phần mô bị nhiễm bệnh, giảm đau, và bảo vệ răng khỏi nguy cơ phải nhổ bỏ.
Tại sao đánh răng thường xuyên mà răng vẫn sâu?
Dù đánh răng thường xuyên, răng vẫn có thể bị sâu nếu việc vệ sinh không đúng cách hoặc không kết hợp các biện pháp bảo vệ răng khác. Một số lý do phổ biến bao gồm: không chải sạch hoàn toàn các mảng bám ở kẽ răng hoặc vùng răng hàm khó tiếp cận, sử dụng bàn chải không phù hợp, hoặc không dùng kem đánh răng chứa fluoride – chất giúp tăng cường men răng. Ngoài ra, thói quen ăn uống như tiêu thụ nhiều đồ ngọt, uống nước có ga hoặc ăn vặt liên tục tạo môi trường thuận lợi cho vi khuẩn phát triển. Khô miệng hoặc các vấn đề sức khỏe răng miệng tiềm ẩn cũng có thể khiến răng dễ bị tổn thương dù đã vệ sinh đều đặn.

Kết Luận
Sâu răng là một bệnh lý phổ biến nhưng hoàn toàn có thể phòng ngừa và điều trị hiệu quả nếu được chăm sóc đúng cách. Hãy duy trì vệ sinh răng miệng tốt, khám răng định kỳ và áp dụng các biện pháp phòng ngừa để bảo vệ sức khỏe răng miệng cho bản thân và gia đình.
Sản Phẩm True Nutrition
Khuyến mãi mỗi ngày
Viết bình luận