Bệnh U Nang Răng Là Gì? Nguyên Nhân, Dấu Hiệu Và Cách Phòng Ngừa
-
Người viết: Dược Sĩ Ái Minh
/
U nang răng là một trong những bệnh lý nha khoa phổ biến nhưng ít được chú ý, bởi ở giai đoạn đầu, u nang răng thường không gây đau đớn hay khó chịu. Tuy nhiên, nếu không được phát hiện và điều trị kịp thời, u nang răng có thể dẫn đến nhiều biến chứng nghiêm trọng, gây ảnh hưởng đến chức năng nhai, nuốt và thẩm mỹ khuôn mặt.
U Nang Răng Là Gì?
U nang răng là khối u lành tính xuất hiện ở vùng răng hoặc xương hàm, được hình thành do sự phát triển bất thường của các mô răng. Bệnh không thuộc loại ung thư, nhưng nếu không điều trị kịp thời, khối u có thể lan rộng, gây biến dạng khuôn mặt, phá hủy xương hàm và ảnh hưởng nghiêm trọng đến sức khỏe tổng thể.
U nang răng có thể phát triển ở bất kỳ vị trí nào trong khoang miệng, bao gồm răng sữa, răng vĩnh viễn, hoặc thậm chí các răng ngầm chưa mọc. Căn bệnh này thường được phân loại thành hai nhóm chính:
- U răng đa hợp: Bao gồm các mô răng riêng biệt như men, ngà răng và xương răng nhưng phát triển bất thường. Loại này thường xuất hiện ở hàm trên và có thể gây biến chứng như chèn ép các răng lân cận.
- U răng phức hợp: Không có sự phân định rõ ràng giữa các mô răng. Loại này thường xuất hiện ở vùng hàm dưới và có cấu trúc phức tạp hơn, dễ lan rộng.
Ngoài ra, còn có các dạng u nang răng hiếm gặp như răng mọc trong răng hay u răng bị giãn, gây ra những biến dạng lớn trong khoang miệng và ảnh hưởng đến chức năng nhai, nuốt, nói chuyện.

Nguyên Nhân Gây U Nang Răng
Nguyên nhân chính xác của u nang răng vẫn chưa được xác định rõ ràng. Tuy nhiên, các nghiên cứu đã chỉ ra một số yếu tố nguy cơ phổ biến như:
Tổn Thương Hoặc Viêm Nhiễm Ở Răng
Răng bị sâu, viêm nhiễm hoặc chấn thương nặng có thể gây tổn thương mô mềm và dẫn đến hình thành u nang. Những ổ vi khuẩn kéo dài có thể gây viêm nhiễm mãn tính và kích thích sự phát triển bất thường của mô răng.
Di Truyền Và Đột Biến Gen
Một số hội chứng di truyền, như hội chứng Gardner, được biết là có liên quan đến sự xuất hiện của u nang răng. Hội chứng này gây ra nhiều khối u trong cơ thể, bao gồm cả các khối u trong vùng răng và xương hàm.
Rối Loạn Phát Triển Mô Răng
Trong quá trình hình thành răng, nếu có sự bất thường về sự phân tách và phát triển của các mô răng, nguy cơ xuất hiện u nang răng sẽ tăng lên. Điều này đặc biệt phổ biến ở trẻ em hoặc thanh thiếu niên trong giai đoạn răng mọc.
Việc Vệ Sinh Răng Miệng Thiếu Khoa Học Hoặc Không Hợp Lý
Không vệ sinh răng miệng sạch sẽ hoặc không điều trị kịp thời các bệnh nha khoa như sâu răng, viêm lợi có thể làm tăng nguy cơ mắc u nang răng.
Các Loại U Nang Răng Phổ Biến
U Nang Chân Răng
U nang răng thường do sâu răng hoặc nhiễm trùng vùng chân răng gây ra. Đây là loại u phổ biến nhất và thường không gây đau đớn ở giai đoạn đầu. Dấu hiệu nhận biết bao gồm:
- Răng bị đổi màu.
Vùng chân răng có mủ hoặc dịch chảy ra.
Răng lung lay, sưng đau khi bệnh chuyển nặng.
U Nang Thân Răng
Loại u này xuất phát từ các răng ngầm chưa mọc và phát triển thành túi nang. U nang thân răng thường khó phát hiện ở giai đoạn đầu và chỉ được phát hiện qua chụp X-quang trong các lần kiểm tra định kỳ.
U Men Dạng Nang
U men dạng nang là dạng khối u phức tạp nhất, dễ tái phát sau điều trị. Khi phát triển, khối u có thể lan vào các cấu trúc xung quanh như xương hàm, phần mềm, thậm chí xâm nhập vào khớp thái dương hàm và sàn sọ. Điều này không chỉ làm biến dạng khuôn mặt mà còn gây khó khăn trong ăn uống, thở và nói chuyện.

Dấu Hiệu Nhận Biết U Nang Răng
U nang răng là một bệnh lý phát triển âm thầm, thường không có biểu hiện rõ ràng ở giai đoạn đầu. Điều này khiến nhiều người bệnh không nhận biết sớm để kịp thời điều trị, dẫn đến các biến chứng nguy hiểm. Tuy nhiên, ở giai đoạn tiến triển, u nang răng sẽ bộc lộ một số dấu hiệu, bao gồm cả triệu chứng rõ ràng và tiềm ẩn. Các dấu hiệu cụ thể dưới đây sẽ giúp bạn nhận biết:
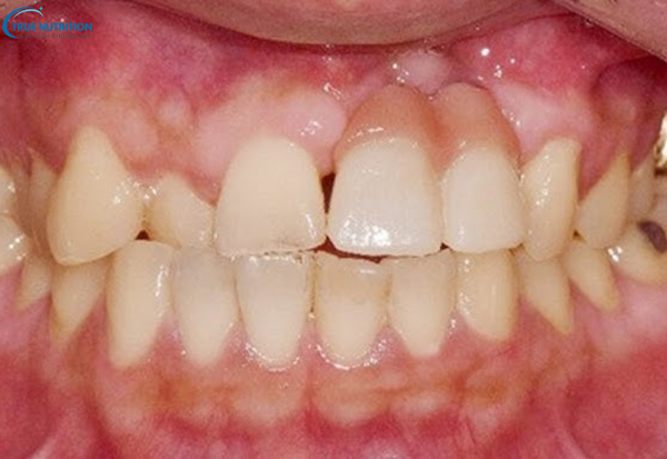
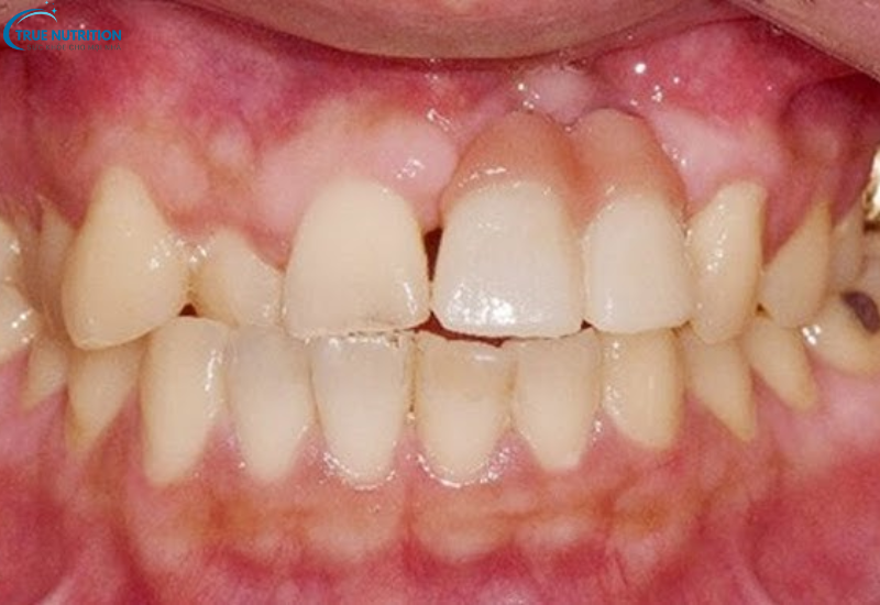
Đổi Màu Răng
Một trong những dấu hiệu sớm nhất của u nang răng là răng bị đổi màu. Răng có thể chuyển sang màu vàng, nâu hoặc xám bất thường mà không kèm theo triệu chứng đau đớn. Nguyên nhân của hiện tượng này là do khối u tác động vào hệ thống thần kinh và mạch máu nuôi răng, gây suy giảm sự sống của mô tủy, làm thay đổi màu sắc tự nhiên của răng. Tuy nhiên, dấu hiệu này thường bị bỏ qua vì nhiều người nghĩ rằng răng đổi màu do thói quen ăn uống hoặc vệ sinh không đúng cách.
Đau Nhức Âm Ỉ hoặc Đột Ngột
Ở giai đoạn khối u phát triển lớn hơn, bạn có thể cảm nhận được những cơn đau nhẹ nhưng âm ỉ ở vùng hàm, nhất là khi nhai hoặc cắn thức ăn. Trong một số trường hợp, cơn đau có thể xuất hiện đột ngột và dữ dội khi khối u gây áp lực lên mô mềm hoặc dây thần kinh xung quanh.
Với loại u men dạng nang, cơn đau thường lan rộng, thậm chí kéo dài đến vùng thái dương, khớp hàm hoặc tai, khiến người bệnh cảm thấy khó chịu ngay cả khi nghỉ ngơi.
Răng Lung Lay hoặc Di Chuyển
Khi khối u ăn sâu vào xương hàm, cấu trúc xương bị phá hủy dẫn đến hiện tượng răng lung lay hoặc di chuyển khỏi vị trí ban đầu. Đây là một trong những dấu hiệu nghiêm trọng báo hiệu khối u đã ảnh hưởng đến nền xương hàm.
Đối với trẻ em, cha mẹ cần chú ý nếu trẻ có hiện tượng răng chậm mọc hoặc răng bị dịch chuyển bất thường, bởi đây có thể là dấu hiệu của khối u chèn ép vào vùng phát triển của răng.
Sưng Nề Khu Vực Hàm hoặc Mặt
Khi u nang răng phát triển lớn, vùng xương hàm hoặc mặt có thể bị sưng. Ban đầu, sự sưng nề này thường không đau và chỉ được nhận thấy khi nhìn vào gương hoặc sờ vào. Tuy nhiên, khi khối u tiếp tục phát triển, bạn sẽ cảm thấy đau và khó chịu ở khu vực này.
Sự sưng có thể lan rộng ra vùng má, thái dương, hoặc cằm tùy thuộc vào vị trí của khối u. Nếu u nang răng phức hợp xâm lấn sâu hơn, khuôn mặt có thể bị biến dạng, gây mất cân đối nghiêm trọng.
Chảy Mủ hoặc Có Dịch Từ Vùng Răng Bị Ảnh Hưởng
Một trong những dấu hiệu đặc trưng của u nang chân răng là hiện tượng chảy mủ từ vùng chân răng hoặc nướu. Mủ có thể rỉ ra một cách tự nhiên hoặc chỉ xuất hiện khi bạn ấn vào khu vực này.
Dịch mủ thường có mùi khó chịu và có thể đi kèm với cảm giác đau nhói hoặc sưng tấy ở vùng bị tổn thương. Trong một số trường hợp nặng, mủ có thể lan ra các vùng lân cận, làm tăng nguy cơ nhiễm trùng xương hàm hoặc các mô mềm xung quanh.
Hạn Chế Chức Năng Cắn, Nhai và Mở Miệng
Khi u nang răng phát triển lớn và ảnh hưởng đến cấu trúc xương hàm, người bệnh có thể gặp khó khăn khi mở miệng hoặc thực hiện các động tác cắn, nhai thức ăn. Điều này là do khối u chèn ép vào các khớp hàm, cơ hàm hoặc dây thần kinh liên quan.
Trong một số trường hợp nghiêm trọng hơn, việc nuốt và nói chuyện cũng bị ảnh hưởng, khiến người bệnh cảm thấy mệt mỏi và khó chịu trong sinh hoạt hàng ngày.

Cách Chẩn Đoán U Nang Răng
Để chẩn đoán u nang răng, các bác sĩ nha khoa sẽ sử dụng nhiều phương pháp hiện đại:
- Chụp X-quang: Đây là phương pháp cơ bản nhất để phát hiện khối u hoặc các tổn thương trong xương hàm.
- CT scan và MRI: Được sử dụng trong các trường hợp phức tạp hơn, giúp quan sát chi tiết cấu trúc khối u và mức độ lan rộng.
- Sinh thiết mô: Lấy mẫu mô từ khối u để phân tích và xác định loại khối u, từ đó đưa ra phương pháp điều trị phù hợp.

Phương Pháp Điều Trị U Nang Răng
Điều trị u nang răng phụ thuộc vào loại khối u, kích thước và mức độ ảnh hưởng của bệnh.
Phẫu Thuật Loại Bỏ U Nang
Phương pháp điều trị tối ưu nhất chính là phẫu thuật. Bác sĩ sẽ tiến hành bóc tách khối u và làm sạch khu vực bị ảnh hưởng để ngăn ngừa tái phát.
Giải quyết các vấn đề phát sinh sau khi phẫu thuật
Trong một số trường hợp, nếu khối u gây biến dạng hàm mặt hoặc tổn thương lớn, bác sĩ có thể thực hiện thêm các thủ thuật chỉnh hình hoặc phục hồi chức năng răng miệng.
Theo Dõi Định Kỳ Sau Điều Trị
Để đảm bảo bệnh không tái phát, bệnh nhân cần tái khám định kỳ và thực hiện các chỉ dẫn của bác sĩ.

Phòng Ngừa U Nang Răng
Giữ gìn thói quen chăm sóc răng miệng đúng cách
Một trong những yếu tố quan trọng nhất trong việc phòng ngừa u nang răng là duy trì vệ sinh răng miệng đúng cách. Các mảng bám và vi khuẩn tích tụ có thể dẫn đến sâu răng và nhiễm trùng, là nguyên nhân chính gây ra nhiều loại u nang răng. Để bảo vệ hàm răng và nướu, bạn cần phải:
- Chải răng đúng phương pháp: Hãy chải răng ít nhất hai lần mỗi ngày, vào buổi sáng và trước khi đi ngủ, sử dụng bàn chải lông mềm và kem đánh răng có chứa fluoride.
- Thường xuyên sử dụng chỉ nha khoa: Vệ sinh các kẽ răng hàng ngày bằng chỉ nha khoa để loại bỏ mảng bám ở những vị trí mà bàn chải không thể tiếp cận.
- Sử dụng nước súc miệng: Nước súc miệng kháng khuẩn giúp tiêu diệt vi khuẩn và ngăn ngừa viêm nướu.
Khám Răng Định Kỳ
Khám răng định kỳ là một trong những biện pháp phòng ngừa quan trọng nhất để phát hiện sớm các bất thường trong cấu trúc răng miệng, bao gồm cả u nang răng. Bác sĩ nha khoa có thể sử dụng các thiết bị chuyên dụng như máy X-quang hoặc CT scan để phát hiện các khối u nhỏ trước khi chúng gây ra triệu chứng.
- Tần suất khám răng: Nên đến nha sĩ kiểm tra răng miệng ít nhất 6 tháng một lần. Nếu bạn có tiền sử bệnh lý về răng miệng hoặc thuộc nhóm nguy cơ cao, tần suất khám có thể cần tăng lên.
- Lợi ích của khám răng định kỳ: Giúp phát hiện sớm các vấn đề như sâu răng, nhiễm trùng, hoặc bất thường cấu trúc hàm mà không thể nhận biết bằng mắt thường.
Hạn Chế Các Chấn Thương Ở Răng và Hàm
Chấn thương răng hoặc hàm là một trong những nguyên nhân tiềm ẩn gây u nang răng. Để hạn chế nguy cơ này, bạn cần phải:
- Đeo thiết bị bảo vệ khi tham gia thể thao: Sử dụng các dụng cụ bảo vệ hàm miệng khi tham gia các môn thể thao có khả năng va chạm mạnh như bóng đá, bóng rổ hoặc võ thuật.
- Cẩn thận trong sinh hoạt hàng ngày: Tránh nhai đồ cứng như đá lạnh, hạt cứng hoặc các vật cứng khác, vì chúng có thể gây gãy răng hoặc tổn thương mô xung quanh.
Phòng Ngừa Sâu Răng và Nhiễm Trùng Răng
Sâu răng và nhiễm trùng là hai yếu tố nguy cơ hàng đầu dẫn đến u nang chân răng. Để phòng tránh, bạn nên:
- Ăn uống lành mạnh: Hạn chế tiêu thụ thực phẩm chứa nhiều đường và tinh bột, vì chúng tạo môi trường thuận lợi cho vi khuẩn gây sâu răng phát triển. Tăng cường bổ sung thực phẩm giàu canxi và vitamin D để duy trì độ chắc khỏe của xương và răng.
- Điều trị sâu răng kịp thời: Nếu bạn phát hiện bất kỳ dấu hiệu sâu răng nào, như đau nhức hoặc xuất hiện lỗ hổng trên bề mặt răng, hãy đến nha sĩ điều trị ngay.
Theo Dõi Sức Khỏe Răng Miệng Ở Trẻ Nhỏ
Trẻ em là đối tượng dễ mắc các bệnh lý liên quan đến răng miệng, bao gồm cả u nang răng, do hệ răng chưa phát triển hoàn thiện. Để phòng ngừa bệnh cho trẻ, các bậc phụ huynh cần:
- Giúp trẻ vệ sinh răng miệng đúng cách: Hướng dẫn trẻ đánh răng và sử dụng chỉ nha khoa ngay từ nhỏ.
- Khám răng định kỳ cho trẻ: Đưa trẻ đi khám răng từ 6 tháng đến 1 năm/lần để phát hiện các bất thường như răng ngầm, răng mọc chậm hoặc thiếu răng.
Tránh Các Yếu Tố Gây Hại Đến Sức Khỏe Răng Miệng
Một số thói quen và tác nhân có thể làm tăng nguy cơ mắc các bệnh lý răng miệng, bao gồm cả u nang răng. Để bảo vệ hàm răng và nướu, bạn cần kiêng kỵ:
- Hút thuốc lá: Thuốc lá không chỉ làm tăng nguy cơ mắc các bệnh lý nha khoa mà còn làm suy giảm khả năng hồi phục của răng và nướu sau điều trị.
- Sử dụng rượu bia: Uống quá nhiều rượu bia có thể làm hỏng men răng và tăng nguy cơ nhiễm trùng răng miệng.

Kết Luận
U nang răng tuy không phải là bệnh lý ác tính nhưng có thể gây ra những hậu quả nghiêm trọng nếu không được phát hiện và điều trị kịp thời. Hiểu rõ về nguyên nhân, triệu chứng và cách điều trị sẽ giúp bạn chủ động bảo vệ sức khỏe răng miệng. Đừng quên thăm khám định kỳ để giữ cho răng miệng luôn khỏe mạnh và phòng tránh các bệnh lý nguy hiểm.
Sản Phẩm True Nutrition
Khuyến mãi mỗi ngày
Viết bình luận