Bệnh Viêm Nha Chu: Những Điều Cần Biết Để Bảo Vệ Sức Khỏe Răng Miệng
-
Người viết: Dược Sĩ Nguyễn Đức Toàn
/
Bệnh viêm nha chu, hay còn gọi là periodontitis, là một bệnh lý nhiễm trùng xảy ra ở mô nha chu, làm tổn thương nướu và các mô hỗ trợ răng, bao gồm dây chằng và xương. Viêm nha chu không được điều trị, các mô này sẽ bị phá hủy, khiến răng bị lung lay và có thể dẫn đến mất răng.
Hiểu rõ viêm nha chu là gì?
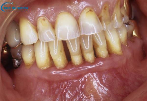
Viêm nha chu là một bệnh lý nhiễm trùng nướu nghiêm trọng, có thể gây tổn thương mô mềm và phá hủy xương xung quanh răng. Bệnh này không chỉ ảnh hưởng đến sức khỏe răng miệng mà còn có thể dẫn đến mất răng vĩnh viễn nếu không được phát hiện và điều trị kịp thời. Viêm nha chu là một trong những nguyên nhân phổ biến gây mất răng ở người trưởng thành và có thể phòng ngừa bằng cách duy trì vệ sinh răng miệng tốt.
Chăm sóc răng miệng đúng cách và tầm quan trọng của nó đối với sức khỏe tổng thể
Viêm nha chu có thể phòng ngừa được nếu duy trì vệ sinh răng miệng đúng cách. Đánh răng đều đặn, sử dụng chỉ nha khoa và nước súc miệng, kết hợp với việc thăm khám răng miệng định kỳ, có thể giúp ngăn ngừa mảng bám và vi khuẩn gây bệnh. Việc chăm sóc răng miệng tốt là cách tốt nhất để bảo vệ sức khỏe răng miệng và phòng tránh các bệnh lý nghiêm trọng như viêm nha chu.

Nguyên nhân gây viêm nha chu
Viêm nha chu bắt đầu từ mảng bám, một lớp màng dính chứa vi khuẩn bám vào răng sau mỗi bữa ăn. Nếu không được làm sạch, mảng bám sẽ dần cứng lại và chuyển hóa thành cao răng, gây kích ứng nướu và dẫn đến viêm. Dưới đây là những nguyên nhân chính gây viêm nha chu:
- Mảng bám và cao răng Mảng bám hình thành khi thức ăn chứa tinh bột và đường tương tác với vi khuẩn trong miệng. Nếu không được loại bỏ kịp thời, mảng bám sẽ cứng lại và biến thành cao răng. Cao răng rất khó loại bỏ bằng bàn chải và chỉ nha khoa thông thường, vì vậy cần đến sự can thiệp của bác sĩ nha khoa. Cao răng chứa nhiều vi khuẩn và là nguyên nhân chính dẫn đến viêm nha chu.
- Vệ sinh răng miệng kém Việc không chải răng đều đặn hoặc không sử dụng chỉ nha khoa hàng ngày sẽ tạo điều kiện thuận lợi cho mảng bám và cao răng phát triển, từ đó gây ra viêm nha chu. Ngoài ra, thói quen ăn uống không hợp lý, ăn nhiều đồ ngọt và tinh bột cũng khiến mảng bám hình thành nhanh chóng.
- Tác động của các yếu tố bên ngoài Các yếu tố bên ngoài như hút thuốc, uống rượu, hay mắc các bệnh như tiểu đường cũng có thể làm tăng nguy cơ mắc bệnh viêm nha chu. Hút thuốc là một yếu tố nguy cơ lớn, bởi nó làm giảm khả năng miễn dịch của cơ thể và gây khô miệng, tạo môi trường thuận lợi cho vi khuẩn phát triển.

Triệu chứng viêm nha chu
Viêm nha chu thường có những triệu chứng rõ rệt, giúp nhận biết bệnh ngay từ giai đoạn đầu. Các triệu chứng bao gồm:
- Nướu bị sưng và đỏ: Nướu trở nên mềm, sưng, có màu đỏ tươi hoặc đỏ sẫm.
- Nướu dễ chảy máu: Nướu sẽ chảy máu khi đánh răng hoặc dùng chỉ nha khoa.
- Răng lung lay: Khi các mô xung quanh răng bị tổn thương, răng có thể bị lung lay hoặc di chuyển.
- Hôi miệng: Vi khuẩn trong mảng bám có thể gây hôi miệng kéo dài.
- Mủ giữa răng và nướu: Viêm nha chu nặng có thể khiến xuất hiện mủ giữa nướu và chân răng.
- Khoảng trống giữa răng và nướu: Viêm nha chu gây ra các túi nha chu, làm cho răng có khoảng trống, khiến chúng có vẻ dài hơn bình thường.
Các loại viêm nha chu
Viêm nha chu có thể chia thành các loại khác nhau tùy thuộc vào mức độ nghiêm trọng của bệnh:
- Viêm nha chu mãn tính: Đây là loại phổ biến nhất, thường gặp ở người lớn. Viêm nha chu mãn tính có xu hướng tiến triển chậm, nhưng nếu không điều trị, bệnh sẽ dẫn đến mất răng.
- Viêm nha chu tấn công: Thường xuất hiện ở tuổi trưởng thành trẻ và có xu hướng tiến triển nhanh chóng, dẫn đến mất xương và răng nếu không điều trị kịp thời.
- Viêm nha chu hoại tử: Đây là loại hiếm gặp và xảy ra chủ yếu ở những người có hệ miễn dịch suy yếu, chẳng hạn như người bị HIV/AIDS hoặc đang điều trị ung thư.

Những hậu quả có thể xảy ra từ bệnh viêm nha chu
Viêm nha chu không chỉ đơn giản là một bệnh lý răng miệng gây đau đớn và khó chịu, mà nếu không được điều trị kịp thời, bệnh có thể dẫn đến nhiều biến chứng nghiêm trọng ảnh hưởng đến sức khỏe tổng thể. Việc hiểu rõ về các biến chứng này sẽ giúp người bệnh nhận thức được tầm quan trọng của việc điều trị sớm và phòng ngừa bệnh. Dưới đây là những biến chứng nguy hiểm mà viêm nha chu có thể gây ra:
Mất răng vĩnh viễn
Biến chứng đầu tiên và rõ ràng nhất của viêm nha chu là mất răng. Khi viêm nha chu không được điều trị, bệnh sẽ tiến triển từ giai đoạn viêm nướu sang giai đoạn viêm nha chu mãn tính. Lúc này, các mô nướu và xương hỗ trợ răng sẽ bị tổn thương nghiêm trọng. Sự phá hủy mô nha chu sẽ làm cho răng trở nên lỏng lẻo và cuối cùng có thể bị mất đi. Mất răng không chỉ ảnh hưởng đến chức năng ăn nhai mà còn có thể gây ra các vấn đề thẩm mỹ, khiến khuôn mặt bị thay đổi.
Ngoài ra, mất răng còn gây ảnh hưởng đến sự phân bổ lực nhai, có thể dẫn đến các vấn đề về khớp hàm, đau đầu và khó chịu trong miệng.
Gia tăng khả năng phát triển các bệnh về tim mạch
Một trong những biến chứng toàn thân nguy hiểm nhất mà viêm nha chu có thể gây ra là làm tăng nguy cơ mắc các bệnh lý tim mạch. Các nghiên cứu khoa học đã chỉ ra rằng vi khuẩn trong mảng bám nha chu có thể xâm nhập vào máu, làm tăng nguy cơ hình thành các mảng bám trong động mạch, dẫn đến tình trạng xơ vữa động mạch. Xơ vữa động mạch là yếu tố chính làm tăng nguy cơ mắc bệnh tim mạch và đột quỵ.
Viêm nha chu gây viêm nhiễm trong cơ thể, làm cho mạch máu và tim hoạt động kém hiệu quả hơn. Nếu tình trạng này kéo dài, nó có thể dẫn đến các bệnh lý nghiêm trọng như bệnh động mạch vành, nhồi máu cơ tim và đột quỵ. Điều này giải thích tại sao viêm nha chu không chỉ là vấn đề của sức khỏe răng miệng mà còn ảnh hưởng đến sức khỏe tổng thể.
Ảnh hưởng đến hệ hô hấp
Có một mối liên hệ chặt chẽ giữa viêm nha chu và các bệnh lý hô hấp, đặc biệt là bệnh viêm phổi. Vi khuẩn trong miệng có thể dễ dàng di chuyển vào đường hô hấp qua việc hít phải hoặc nuốt phải khi bạn ăn uống hoặc nói chuyện. Các vi khuẩn này có thể gây nhiễm trùng và viêm ở phổi, đặc biệt ở những người có hệ miễn dịch yếu, người già, người hút thuốc lá hoặc người mắc các bệnh lý hô hấp như bệnh phổi tắc nghẽn mạn tính (COPD).
Viêm nha chu có thể làm trầm trọng thêm các bệnh lý hô hấp, gia tăng nguy cơ viêm phổi và làm bệnh nhân khó thở hơn. Các nghiên cứu cũng cho thấy người mắc bệnh nha chu có khả năng dễ bị nhiễm trùng phổi hơn những người không mắc bệnh nha chu.
Gia tăng khả năng mắc bệnh tiểu đường
Viêm nha chu có thể làm tăng mức đường huyết trong cơ thể và làm trầm trọng thêm bệnh đái tháo đường, đặc biệt là tiểu đường loại 2. Ngược lại, bệnh đái tháo đường cũng có thể làm cho tình trạng viêm nha chu trở nên nghiêm trọng hơn, vì người bệnh tiểu đường có khả năng chống lại nhiễm trùng kém hơn so với những người không mắc bệnh này.
Cơ chế gây ra sự kết nối giữa viêm nha chu và tiểu đường là do vi khuẩn trong khoang miệng có thể làm tăng mức độ viêm nhiễm trong cơ thể. Viêm nhiễm làm tăng sự kháng insulin, khiến cơ thể không thể sử dụng insulin hiệu quả, từ đó làm tăng mức đường huyết. Do đó, viêm nha chu không chỉ ảnh hưởng đến sức khỏe răng miệng mà còn gây nguy hiểm cho bệnh nhân tiểu đường.
Mắc các bệnh lý khớp
Một số nghiên cứu đã chỉ ra rằng viêm nha chu có thể làm tăng nguy cơ mắc các bệnh lý khớp, đặc biệt là viêm khớp dạng thấp (Rheumatoid Arthritis). Bệnh viêm nha chu gây ra tình trạng viêm nhiễm trong cơ thể, làm tăng sự phát triển của các yếu tố gây viêm. Các chất này có thể gây viêm ở các khớp, dẫn đến tình trạng viêm khớp. Bệnh viêm khớp dạng thấp gây đau đớn và hạn chế khả năng vận động của người bệnh.
Các nghiên cứu cũng cho thấy rằng điều trị viêm nha chu có thể giúp cải thiện các triệu chứng của bệnh viêm khớp, vì giảm được mức độ viêm nhiễm trong cơ thể. Do đó, điều trị viêm nha chu sớm có thể giúp giảm nguy cơ mắc các bệnh lý khớp và cải thiện chất lượng cuộc sống của người bệnh.
Những nhóm có nguy cơ cao bị viêm nha chu
Một số nhóm người có nguy cơ cao bị viêm nha chu, bao gồm:
- Người vệ sinh răng miệng kém: Người không đánh răng thường xuyên hoặc không sử dụng chỉ nha khoa sẽ dễ mắc bệnh viêm nha chu.
- Người hút thuốc: Thuốc lá làm giảm khả năng miễn dịch và gây khô miệng, tạo điều kiện cho vi khuẩn phát triển.
- Người mắc bệnh tiểu đường: Bệnh tiểu đường làm tăng nguy cơ viêm nha chu, vì nó ảnh hưởng đến khả năng chống lại nhiễm trùng của cơ thể.
- Người có yếu tố di truyền: Viêm nha chu có thể di truyền trong gia đình, khiến một số người dễ mắc bệnh hơn.

Phòng ngừa bệnh viêm nha chu
Để ngăn ngừa viêm nha chu, việc duy trì vệ sinh răng miệng đúng cách là rất quan trọng. Sau đây là các phương pháp phòng tránh hiệu quả:
- Đánh răng ít nhất hai lần mỗi ngày: Đánh răng vào buổi sáng và trước khi đi ngủ giúp loại bỏ mảng bám và ngăn ngừa vi khuẩn phát triển.
- Sử dụng chỉ nha khoa hàng ngày: Dùng chỉ nha khoa giúp làm sạch những vùng mà bàn chải không thể chạm đến, loại bỏ mảng bám và vi khuẩn.
- Khám răng miệng định kỳ: Thăm khám bác sĩ nha khoa ít nhất mỗi 6 tháng để phát hiện sớm các dấu hiệu viêm nha chu và xử lý kịp thời.
- Tránh hút thuốc: Hút thuốc làm tăng nguy cơ mắc viêm nha chu, vì vậy, bỏ thuốc lá là một trong những cách hiệu quả để phòng ngừa bệnh.
Cách chẩn đoán viêm nha chu
Để chẩn đoán viêm nha chu, bác sĩ nha khoa sẽ thực hiện các bước sau:
- Kiểm tra miệng: Bác sĩ kiểm tra tình trạng mảng bám, cao răng và tình trạng nướu có bị sưng hay không.
- Đo độ sâu túi nha chu: Độ sâu của túi nha chu sẽ được đo bằng đầu dò nha khoa. Nếu túi có độ sâu trên 4 mm, có thể chỉ ra viêm nha chu.
- Chụp X-quang: X-quang nha khoa giúp phát hiện mất xương và tình trạng tổn thương của các mô nha chu.
Những cách thức điều trị viêm nha chu hiệu quả
Điều trị viêm nha chu có thể được thực hiện bằng các phương pháp sau:
- Điều trị không phẫu thuật: Bao gồm việc cạo vôi răng và bào láng gốc răng để loại bỏ mảng bám và cao răng, giúp giảm vi khuẩn và phục hồi tình trạng nướu.
- Dùng kháng sinh: Khi có nhiễm trùng, bác sĩ có thể chỉ định sử dụng thuốc kháng sinh để kiểm soát sự phát triển của vi khuẩn.
- Điều trị phẫu thuật: Trong trường hợp viêm nha chu nặng, phẫu thuật có thể cần thiết để giảm túi nha chu hoặc ghép xương nếu cần.
Lý do điều trị sớm viêm nha chu là quan trọng
Việc điều trị viêm nha chu sớm có thể giúp ngăn ngừa các biến chứng nghiêm trọng và bảo vệ sức khỏe răng miệng của bạn. Điều trị sớm sẽ giảm nguy cơ mất răng và các bệnh lý toàn thân như tim mạch, viêm khớp, và tiểu đường.
Trả lời câu hỏi
Viêm nha chu có nguy hiểm không?
Viêm nha chu là một bệnh lý răng miệng nghiêm trọng và có thể gây ra những ảnh hưởng lâu dài nếu không được điều trị kịp thời. Khi viêm nha chu tiến triển, nó có thể dẫn đến sự phá hủy mô nướu và xương xung quanh răng, làm cho răng bị lỏng và có thể bị mất đi. Ngoài ra, viêm nha chu cũng có thể làm tăng nguy cơ mắc các bệnh lý toàn thân như bệnh tim mạch, tiểu đường, và các vấn đề hô hấp, vì vi khuẩn trong khoang miệng có thể xâm nhập vào máu và ảnh hưởng đến các cơ quan khác. Vì vậy, viêm nha chu không chỉ nguy hiểm đến sức khỏe răng miệng mà còn có thể tác động xấu đến sức khỏe toàn diện của người bệnh.
Bị viêm nha chu có niềng răng được không?
Việc niềng răng khi bị viêm nha chu cần được xem xét kỹ lưỡng và thường phải điều trị viêm nha chu trước khi tiến hành niềng răng. Viêm nha chu gây tổn thương mô nướu và xương, nếu không được điều trị, có thể dẫn đến tình trạng răng bị lỏng, khiến việc chỉnh nha không hiệu quả và có thể làm trầm trọng thêm tình trạng bệnh. Trong trường hợp bệnh viêm nha chu đã được kiểm soát và ổn định, bác sĩ sẽ đánh giá tình trạng răng miệng để quyết định liệu có thể tiến hành niềng răng hay không. Do đó, việc điều trị viêm nha chu trước là rất quan trọng để đảm bảo quá trình niềng răng diễn ra an toàn và hiệu quả.

Kết luận
Viêm nha chu là một bệnh lý nghiêm trọng có thể dẫn đến mất răng và ảnh hưởng đến sức khỏe toàn thân. Tuy nhiên, nếu được phát hiện và điều trị kịp thời, viêm nha chu hoàn toàn có thể phòng ngừa và điều trị hiệu quả. Hãy duy trì thói quen chăm sóc răng miệng đúng cách, thăm khám nha khoa định kỳ và áp dụng các biện pháp phòng ngừa để bảo vệ sức khỏe răng miệng của bạn từ hôm nay.
Sản Phẩm True Nutrition
Khuyến mãi mỗi ngày
Viết bình luận