Bệnh Viêm Nướu : Những Điều Cần Biết và Cách Phòng Ngừa Bệnh
-
Người viết: Dược Sĩ Nguyễn Đức Toàn
/
Viêm nướu là một trong những bệnh lý răng miệng phổ biến, tuy bệnh viêm nướu không nguy hiểm nhưng nếu không được điều trị kịp thời, bệnh có thể dẫn đến nhiều vấn đề nghiêm trọng, ảnh hưởng đến sức khỏe răng miệng và toàn thân.
Hiểu rõ bệnh viêm nướu là gì?
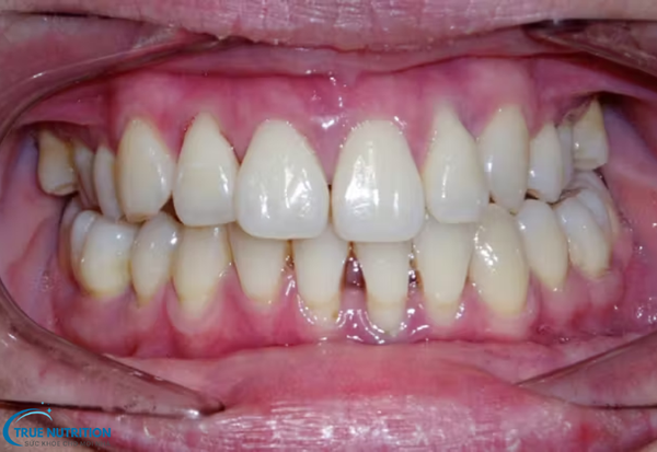
Viêm nướu hay còn gọi là viêm lợi, là tình trạng viêm nhiễm xảy ra ở nướu răng. Bệnh thường xuất hiện khi có sự tích tụ mảng bám vi khuẩn trên răng. Những mảng bám này nếu không được loại bỏ kịp thời sẽ hình thành cao răng, tạo điều kiện thuận lợi cho vi khuẩn phát triển, từ đó gây viêm nhiễm ở nướu.
Viêm nướu thường biểu hiện với các dấu hiệu như nướu sưng đỏ, dễ chảy máu, đặc biệt là khi đánh răng hoặc sử dụng chỉ nha khoa. Tuy viêm nướu không nguy hiểm ngay lập tức, nhưng nếu để lâu dài mà không điều trị, bệnh có thể chuyển sang giai đoạn nghiêm trọng hơn, dẫn đến viêm nha chu và mất răng.

Nguyên nhân gây viêm nướu
Nguyên nhân chính
Nguyên nhân chính gây viêm nướu là do vệ sinh răng miệng kém. Khi bạn không đánh răng đều đặn hoặc không chải sạch mảng bám vi khuẩn, chúng sẽ tích tụ trên bề mặt răng và nướu. Sau một thời gian, các mảng bám này sẽ cứng lại và tạo thành cao răng, từ đó tạo điều kiện thuận lợi cho vi khuẩn phát triển và gây viêm nướu. Việc không vệ sinh răng miệng đúng cách, chẳng hạn như không chải răng ít nhất hai lần mỗi ngày hoặc không sử dụng chỉ nha khoa, sẽ làm tăng nguy cơ mắc viêm nướu.
Các nguyên nhân khác
- Hút thuốc lá và sử dụng rượu bia: Thuốc lá làm giảm khả năng miễn dịch của cơ thể, dẫn đến viêm nhiễm trong khoang miệng, trong khi rượu bia làm giảm khả năng tự làm sạch của nước bọt, tạo điều kiện cho vi khuẩn phát triển.
- Thay đổi nội tiết tố: Phụ nữ mang thai, trong thời kỳ kinh nguyệt hoặc sau sinh có sự thay đổi về mức độ hormone, điều này làm tăng nguy cơ mắc bệnh viêm nướu. Những thay đổi nội tiết tố có thể khiến nướu dễ bị kích ứng và dễ bị viêm khi có sự tích tụ mảng bám.
- Bệnh lý nền: Các bệnh như đái tháo đường, HIV, ung thư và các bệnh viêm nhiễm có thể làm suy yếu hệ miễn dịch, khiến cơ thể dễ mắc các bệnh lý răng miệng, bao gồm viêm nướu.
- Ảnh hưởng không mong muốn từ thuốc: Một số thuốc như thuốc chống dị ứng (kháng histamin), thuốc điều trị trầm cảm có thể gây ra tác dụng phụ, thuốc giảm đau có thể gây khô miệng, giảm lượng nước bọt, làm suy yếu khả năng tự làm sạch miệng, tạo điều kiện cho vi khuẩn phát triển và gây viêm nướu.

Triệu chứng của bệnh viêm nướu
Viêm nướu thường ít khi gây đau đớn, do đó nhiều người bị viêm nướu mà không nhận ra. Tuy nhiên, có một số triệu chứng dễ nhận biết khi bệnh tiến triển, bao gồm:
Triệu chứng tại khu vực nướu
- Nướu răng sưng đỏ: Nướu trở nên đỏ tươi và sưng lên. Đôi khi, bạn có thể cảm thấy nướu mềm và dễ bị tổn thương khi có tác động.
- Chảy máu khi đánh răng hoặc dùng chỉ nha khoa: Một trong những triệu chứng dễ nhận thấy của viêm nướu là tình trạng chảy máu nướu khi đánh răng hoặc dùng chỉ nha khoa. Nếu bạn thấy máu xuất hiện trên bàn chải đánh răng hoặc chỉ nha khoa, đó có thể là dấu hiệu của viêm nướu.
- Màu sắc nướu thay đổi: Thông thường, nướu có màu hồng nhạt và khỏe mạnh. Tuy nhiên, khi bị viêm, nướu có thể chuyển sang màu đỏ tươi hoặc đỏ sẫm, thậm chí nâu.
- Lợi teo rút: Nếu viêm nướu không được điều trị lâu dài, nướu có thể bị teo lại, làm lộ chân răng, khiến răng trông dài hơn.
Các triệu chứng toàn thân
- Hơi thở có mùi hôi: Do sự phát triển của vi khuẩn trong khoang miệng, hơi thở của người bệnh thường có mùi hôi khó chịu.
- Loét miệng và cảm giác đau: Người bị viêm nướu có thể gặp phải tình trạng loét miệng, gây đau và khó chịu khi ăn uống.
- Cảm giác đau khi nhai: Khi nướu bị viêm, có thể gây cảm giác đau nhức khi ăn hoặc khi chạm vào vùng nướu.
Nếu không được điều trị kịp thời, viêm nướu có thể tiến triển thành viêm nha chu, dẫn đến mất răng vĩnh viễn. Điều này xảy ra khi viêm nhiễm lan rộng đến các mô nâng đỡ răng và làm tổn thương các xương hàm.
Đối tượng nguy cơ mắc bệnh viêm nướu
Mặc dù bất kỳ ai cũng có thể mắc viêm nướu, nhưng một số đối tượng có nguy cơ cao hơn, bao gồm:
- Người có thói quen vệ sinh răng miệng kém: Những người không chăm sóc răng miệng đầy đủ sẽ dễ dàng mắc phải các bệnh về răng miệng, trong đó có viêm nướu.
- Người hút thuốc và uống rượu bia: Thuốc lá và rượu bia làm suy yếu hệ miễn dịch và tăng nguy cơ mắc bệnh viêm nướu.
- Phụ nữ mang thai hoặc sau sinh: Sự thay đổi nội tiết tố trong cơ thể phụ nữ có thể khiến họ dễ bị viêm nướu.
- Người mắc bệnh lý nền: Các bệnh như tiểu đường, HIV, hoặc bệnh tim có thể làm suy yếu hệ miễn dịch, khiến vi khuẩn dễ dàng xâm nhập và gây bệnh viêm nướu.
- Người cao tuổi: Khi tuổi tác cao, sức khỏe nướu có xu hướng giảm sút, dễ mắc các bệnh răng miệng.
Những phương pháp ngăn ngừa viêm lợi hiệu quả
Việc phòng ngừa viêm nướu chủ yếu dựa vào thói quen chăm sóc răng miệng đúng cách và duy trì một lối sống lành mạnh. Những phương pháp ngăn chặn bao gồm:
Chăm sóc răng miệng đúng cách
- Đánh răng ít nhất hai lần mỗi ngày: Việc đánh răng ít nhất hai lần mỗi ngày, sáng và tối, là rất quan trọng trong việc loại bỏ mảng bám vi khuẩn trên răng và nướu. Chọn bàn chải lông mềm và kem đánh răng có fluoride để làm sạch răng miệng hiệu quả.
- Sử dụng chỉ nha khoa: Chỉ nha khoa giúp làm sạch mảng bám giữa các kẽ răng mà bàn chải không thể chạm đến. Bạn cần sử dụng chỉ nha khoa nhẹ nhàng để tránh làm tổn thương nướu.
- Dùng nước súc miệng: Nước súc miệng giúp loại bỏ các vi khuẩn và mảng bám dư thừa còn sót lại sau khi bạn chải răng.
- Khám răng định kỳ: Để kiểm tra sức khỏe răng miệng và phát hiện sớm các vấn đề, nên thăm khám bác sĩ ít nhất hai lần mỗi năm.
Thói quen sinh hoạt lành mạnh
- Hạn chế hút thuốc và uống rượu bia: Thuốc lá và rượu bia không chỉ gây hại cho sức khỏe tổng thể mà còn tăng nguy cơ mắc bệnh răng miệng, bao gồm viêm nướu.
- Ăn uống đủ chất: Cung cấp đầy đủ vitamin và khoáng chất giúp duy trì sức khỏe răng miệng và hệ miễn dịch.
- Giữ tinh thần thoải mái: Stress có thể ảnh hưởng đến hệ miễn dịch, khiến cơ thể dễ mắc bệnh. Giữ tinh thần thoải mái sẽ giúp cơ thể chống lại vi khuẩn gây bệnh.

Chẩn đoán và điều trị viêm nướu
Chẩn đoán bệnh viêm nướu là một bước quan trọng giúp bác sĩ xác định mức độ nghiêm trọng của bệnh, từ đó đưa ra phương án điều trị thích hợp. Viêm nướu có thể không gây ra triệu chứng rõ rệt ngay từ đầu, vì vậy việc phát hiện sớm thông qua các biện pháp chẩn đoán là rất cần thiết để ngăn ngừa các biến chứng nghiêm trọng.
Khám lâm sàng tại nha khoa
Khám lâm sàng là bước đầu tiên trong quá trình chẩn đoán viêm nướu. Bác sĩ sẽ tiến hành kiểm tra tổng thể răng miệng, đặc biệt là vùng nướu để xác định các dấu hiệu của viêm nhiễm. Các triệu chứng thường thấy khi bệnh nhân bị viêm nướu bao gồm:
- Sưng đỏ nướu: Nướu răng có thể có màu đỏ hoặc sẫm, thay vì màu hồng nhạt của nướu khỏe mạnh. Bác sĩ sẽ kiểm tra kỹ để nhận diện tình trạng viêm.
- Chảy máu khi chạm vào nướu: Khi sử dụng bàn chải đánh răng hoặc chỉ nha khoa, nếu có máu xuất hiện trên các dụng cụ này, có thể là dấu hiệu của viêm nướu.
- Sự thay đổi hình dạng nướu: Nướu có thể sưng lên, mềm và dễ bị tổn thương. Bác sĩ cũng sẽ chú ý đến các dấu hiệu như lợi teo rút, làm lộ phần chân răng.
- Mảng bám và cao răng: Mảng bám là nguyên nhân chính gây viêm nướu, do đó bác sĩ sẽ kiểm tra sự tích tụ mảng bám và cao răng dọc theo viền nướu, khu vực dễ bị viêm nhiễm nhất.
Đo độ sâu túi nha chu
Một trong những cách quan trọng để xác định mức độ nghiêm trọng của viêm nướu là đo độ sâu của túi nha chu. Túi nha chu là khoảng không gian giữa nướu và răng, nơi dễ dàng bị vi khuẩn xâm nhập. Nếu túi nha chu có độ sâu lớn, đó là dấu hiệu cho thấy viêm nướu đã tiến triển sang giai đoạn viêm nha chu. Bác sĩ nha khoa sẽ sử dụng một công cụ đặc biệt có tên gọi là thước đo nha chu để đo độ sâu của túi này.
- Độ sâu bình thường của túi nha chu là khoảng 1-3mm. Nếu độ sâu túi nha chu vượt quá 4mm, có thể là dấu hiệu của viêm nướu hoặc viêm nha chu.
- Túi nha chu sâu hơn 6mm có thể là chỉ báo của viêm nha chu nặng, khi các mô hỗ trợ răng đã bị tổn thương.
- Đo độ sâu túi nha chu giúp bác sĩ đánh giá tình trạng viêm nướu và xác định liệu viêm nướu có lan rộng ra các mô nha chu hay chưa, từ đó quyết định phương án điều trị.
Xét nghiệm mảng bám và vi khuẩn trong miệng
Đôi khi, bác sĩ có thể yêu cầu xét nghiệm mẫu mảng bám từ bề mặt răng hoặc nướu để xác định chính xác loại vi khuẩn gây viêm nướu. Vi khuẩn là nguyên nhân chính dẫn đến sự hình thành mảng bám trên răng. Thông qua xét nghiệm, bác sĩ có thể phát hiện các loại vi khuẩn gây hại và từ đó lựa chọn phương pháp điều trị bằng kháng sinh hoặc các biện pháp vệ sinh răng miệng đặc hiệu.
Ngoài ra, xét nghiệm mảng bám còn giúp xác định mức độ tích tụ của mảng bám, từ đó đánh giá tình trạng viêm nướu.
Chụp X-quang răng miệng
Chụp X-quang là một phương pháp hữu ích trong việc phát hiện các dấu hiệu viêm nhiễm sâu trong cấu trúc răng và xương hàm. X-quang có thể giúp bác sĩ xác định các tình trạng như:
- Tổn thương xương quanh răng: Nếu viêm nướu kéo dài và tiến triển thành viêm nha chu, các mô nâng đỡ răng (bao gồm xương và mô liên kết) có thể bị phá hủy. Chụp X-quang sẽ giúp phát hiện mức độ tổn thương này.
- Viêm mô nha chu: Việc phát hiện sớm các dấu hiệu viêm trong các mô nha chu có thể giúp ngăn ngừa mất răng và các biến chứng nghiêm trọng khác.
- Chụp X-quang sẽ giúp bác sĩ đánh giá mức độ viêm, đồng thời giúp xác định các vấn đề cấu trúc như mất xương hoặc tổn thương mô liên kết.

Điều trị viêm nướu
Điều trị viêm nướu bao gồm việc làm sạch răng miệng, loại bỏ mảng bám và cao răng, và hướng dẫn bệnh nhân thực hiện vệ sinh răng miệng đúng cách. Trong một số trường hợp nặng hơn, bác sĩ có thể yêu cầu điều trị bằng thuốc kháng sinh hoặc thuốc chống viêm để giảm viêm và ngăn ngừa nhiễm trùng.
Trả lời câu hỏi
Tại sao trẻ bị viêm nướu?
Trẻ em có thể bị viêm nướu do nhiều nguyên nhân khác nhau. Một trong những nguyên nhân phổ biến là việc vệ sinh răng miệng không đúng cách. Khi trẻ chưa biết cách chải răng hoặc không được hướng dẫn chải răng đúng kỹ thuật, mảng bám thức ăn và vi khuẩn sẽ tích tụ trên bề mặt răng và nướu, dẫn đến tình trạng viêm nướu. Ngoài ra, trẻ em còn dễ bị viêm nướu khi chế độ ăn uống thiếu hụt các dưỡng chất cần thiết, đặc biệt là vitamin C, vì thiếu vitamin này sẽ làm suy yếu mô nướu và tăng nguy cơ viêm nhiễm. Trẻ cũng có thể bị viêm nướu nếu có thói quen mút tay hoặc thường xuyên tiếp xúc với các vật dụng không sạch sẽ. Các yếu tố khác như sự thay đổi hormone trong giai đoạn phát triển hoặc các vấn đề sức khỏe như tiểu đường, nhiễm trùng miệng, cũng có thể là nguyên nhân gây viêm nướu ở trẻ em.
Viêm nướu để lâu có sao không?
Nếu không được điều trị kịp thời, viêm nướu có thể dẫn đến nhiều hậu quả nghiêm trọng. Ban đầu, viêm nướu chỉ gây sưng đỏ và chảy máu ở nướu. Tuy nhiên, nếu để lâu mà không có biện pháp can thiệp, tình trạng này có thể tiến triển thành viêm nha chu, làm tổn thương các mô xung quanh răng, bao gồm các dây chằng và xương hàm, gây mất răng vĩnh viễn. Bên cạnh đó, viêm nướu kéo dài có thể làm tăng nguy cơ mắc các bệnh lý toàn thân như bệnh tim mạch và tiểu đường. Do đó, việc điều trị viêm nướu sớm rất quan trọng để ngăn ngừa các biến chứng nghiêm trọng, bảo vệ sức khỏe răng miệng và cả sức khỏe tổng thể của trẻ.

Kết luận
Viêm nướu là một bệnh lý răng miệng dễ mắc phải nhưng hoàn toàn có thể điều trị và phòng ngừa nếu phát hiện và can thiệp sớm. Việc chăm sóc răng miệng đúng cách và duy trì lối sống lành mạnh là những yếu tố quan trọng giúp bạn bảo vệ sức khỏe răng miệng và ngăn ngừa viêm nướu. Hãy thăm khám bác sĩ răng miệng định kỳ và chăm sóc răng miệng đúng cách để tránh các vấn đề về viêm nướu và các bệnh lý khác liên quan đến sức khỏe răng miệng.
Sản Phẩm True Nutrition
Khuyến mãi mỗi ngày
Viết bình luận