Dấu Hiệu Bệnh Viêm Tủy Răng: Phát Hiện Để Tránh Biến Chứng Nguy Hiểm
-
Người viết: Dược Sĩ Ái Minh
/
Bệnh viêm tủy răng có chữa được không? Câu trả lời là có. Viêm tủy răng, nếu được phát hiện và điều trị kịp thời, có thể chữa khỏi hoàn toàn, giúp bảo tồn răng và ngăn ngừa các biến chứng nghiêm trọng. Việc nhận biết sớm các triệu chứng và tham khảo ý kiến nha sĩ là chìa khóa để duy trì sức khỏe răng miệng tốt.
Hiểu Rõ Bệnh Viêm Tủy Răng
Tủy răng và vai trò quan trọng trong cấu trúc răng
Tủy răng là phần lõi bên trong của răng, chứa các mạch máu, dây thần kinh và mô liên kết. Vai trò chính của tủy răng là:
- Nuôi dưỡng răng: Cung cấp chất dinh dưỡng và máu để duy trì sức khỏe của răng.
- Cảm nhận: Tủy răng giúp nhận biết các kích thích như nóng, lạnh, hoặc áp lực trên răng.
Viêm tủy răng là gì?
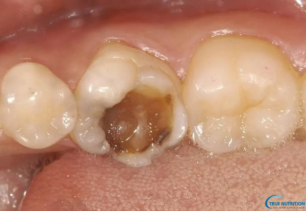
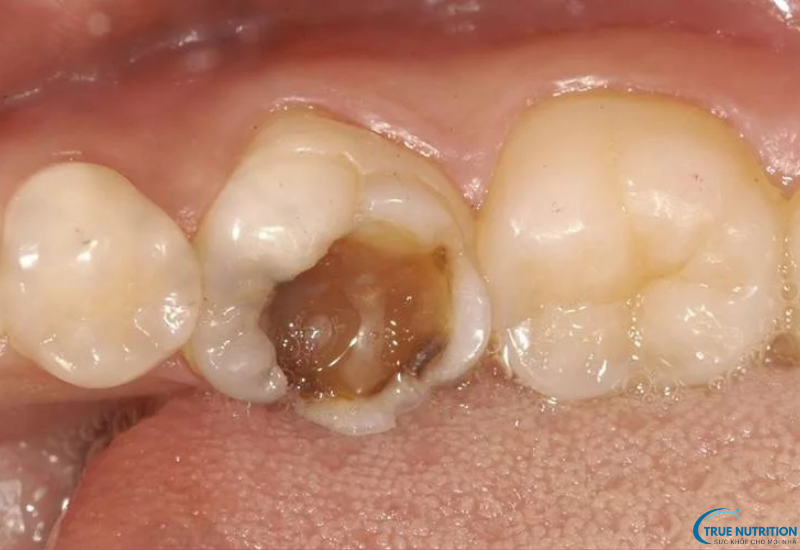
Viêm tủy răng là tình trạng viêm nhiễm hoặc tổn thương tủy răng, thường do vi khuẩn hoặc các yếu tố gây hại khác xâm nhập vào. Tình trạng này có thể diễn ra qua nhiều giai đoạn và được chia thành:
- Viêm tủy có hồi phục: Giai đoạn sớm, tổn thương nhẹ, tủy vẫn có khả năng phục hồi nếu được xử lý kịp thời.
- Viêm tủy cấp tính: Tình trạng viêm nặng hơn, gây đau đớn dữ dội, cần can thiệp nha khoa ngay lập tức.
- Viêm tủy mạn tính: Tổn thương không thể hồi phục, thường đi kèm các biến chứng nguy hiểm như viêm quanh cuống răng.

Nguyên Nhân Gây Viêm Tủy Răng
Vi khuẩn từ sâu răng
Tình trạng sâu răng chính là lý do phổ biến nhất gây ra bệnh viêm tủy. Vi khuẩn xâm nhập qua các lỗ sâu, tiếp cận ngà răng, sau đó lan vào tủy, gây viêm nhiễm.
Yếu tố hóa học
Tiếp xúc lâu dài với các chất độc hại như chì, thủy ngân, hoặc sử dụng các hóa chất có tính ăn mòn cao có thể dẫn đến tổn thương tủy răng.
Yếu tố vật lý
Chấn thương: Gãy răng, mẻ răng hoặc tai nạn gây tổn thương sâu có thể làm lộ tủy, tạo điều kiện cho vi khuẩn xâm nhập.
Thay đổi áp suất: Những người làm việc trong môi trường áp suất cao như thợ lặn hoặc phi công thường gặp nguy cơ áp lực lên tủy răng.
Các nguyên nhân khác
Một số trường hợp không xác định rõ nguyên nhân, có thể liên quan đến bệnh lý toàn thân, yếu tố di truyền, hoặc cấu trúc răng không bình thường.
Dấu Hiệu Của Bệnh Viêm Tủy Răng
Cơn đau răng dai dẳng gây cảm giác khó chịu kéo dài
Đau răng là dấu hiệu phổ biến nhất của viêm tủy. Tùy thuộc vào giai đoạn của bệnh, mức độ đau có thể khác nhau:
- Giai đoạn đầu: Cơn đau xuất hiện ngắt quãng, thoáng qua và thường xảy ra khi răng tiếp xúc với nhiệt độ nóng, lạnh hoặc khi nhai thức ăn cứng. Đau có thể dịu đi sau vài phút khi kích thích biến mất.
- Giai đoạn nặng hơn: Đau trở nên dữ dội hơn, thường xuyên hơn và kéo dài ngay cả khi không có kích thích. Cảm giác đau có thể lan lên vùng thái dương, tai, hoặc xuống hàm dưới, gây khó chịu trong sinh hoạt hàng ngày.
Cơn đau răng dai dẳng gây cảm giác khó chịu kéo dài
Người bị viêm tủy răng thường cảm thấy ê buốt khi ăn hoặc uống đồ nóng, lạnh. Sự nhạy cảm này có thể diễn ra trong thời gian dài, ngay cả khi không tiếp xúc trực tiếp với đồ ăn hoặc thức uống:
- Giai đoạn đầu: Ê buốt thoáng qua, giảm nhanh khi ngừng tiếp xúc với kích thích.
- Giai đoạn nặng: Cảm giác buốt kéo dài hơn, có thể kèm theo cảm giác đau nhói, làm người bệnh ngại ăn uống hoặc chỉ ăn thức ăn mềm, nguội.
Đau tăng vào ban đêm
- Một đặc điểm đặc trưng của viêm tủy răng là cơn đau thường trở nên nghiêm trọng hơn vào ban đêm. Điều này xảy ra do áp lực máu trong cơ thể tăng lên khi nằm, làm áp lực bên trong tủy tăng cao hơn, gây đau buốt. Cảm giác đau khiến người bệnh khó ngủ, gây ảnh hưởng đến chất lượng cuộc sống.
Biến đổi màu sắc răng
- Khi tủy bị viêm nhiễm lâu ngày mà không được điều trị, răng có thể chuyển sang màu tối hơn hoặc ngả vàng, nâu. Đây là dấu hiệu tủy đã chết hoặc nhiễm trùng lan rộng, gây tổn thương không thể hồi phục.
Mất cảm giác ở răng
- Trong giai đoạn cuối của viêm tủy, khi dây thần kinh trong tủy đã bị tổn thương nặng hoặc chết hoàn toàn, răng có thể mất cảm giác. Điều này nghe có vẻ như một dấu hiệu tốt (vì không còn đau), nhưng thực tế là dấu hiệu cảnh báo nghiêm trọng:
- Răng không còn nhận biết được nhiệt độ, áp lực hoặc đau đớn, điều này đồng nghĩa với việc răng đã "chết tủy".
- Nếu không điều trị, nhiễm trùng từ tủy răng có thể lan ra xương hàm và các khu vực lân cận, gây áp xe hoặc viêm quanh cuống răng.
Miệng có mùi hôi và cảm giác vị khó chịu kéo dài
- Một dấu hiệu khác thường thấy là hơi thở có mùi hôi dai dẳng và vị đắng khó chịu trong miệng. Điều này xảy ra khi vi khuẩn và mủ từ viêm tủy tích tụ, tạo ra môi trường kém vệ sinh trong khoang miệng.
Khó nhai và cắn thức ăn
- Đau khi nhai: Ngay cả áp lực nhẹ lên răng cũng có thể gây đau dữ dội, làm cho người bệnh khó ăn uống bình thường.
- Cảm giác răng lỏng: Khi viêm tủy lan rộng đến các mô xung quanh, răng có thể trở nên lỏng lẻo, dễ dịch chuyển khi chạm vào.
Các triệu chứng toàn thân (trường hợp nặng)
Nếu viêm tủy không được điều trị và nhiễm trùng lan rộng, người bệnh có thể gặp phải các triệu chứng toàn thân, bao gồm:
- Sốt cao, ớn lạnh.
- Mệt mỏi, suy nhược cơ thể.
- Hạch bạch huyết gần khu vực bị nhiễm trùng sưng và đau.

Thời Điểm Nào Cần Can Thiệp Điều Trị Viêm Tủy Răng?
Giai đoạn viêm tủy có hồi phục
- Biểu hiện: Cơn đau xuất hiện thoáng qua, ê buốt khi ăn uống đồ nóng, lạnh.
- Xử lý: Trong giai đoạn này, việc điều trị tương đối đơn giản, thường chỉ cần uống thuốc kháng sinh và áp dụng biện pháp vệ sinh răng miệng đúng cách.
Giai đoạn viêm tủy răng không thể tự lành lại được
- Biểu hiện: Đau nhức dữ dội, kéo dài, không thuyên giảm dù đã sử dụng thuốc giảm đau.
- Hậu quả: Nếu không được điều trị, nhiễm trùng lan rộng, gây viêm quanh cuống răng, áp xe hoặc thậm chí mất răng.
Các Phương Pháp Điều Trị Cho Viêm Tủy Răng
Chẩn đoán viêm tủy răng
Trước khi bắt đầu điều trị, bác sĩ nha khoa sẽ thực hiện các bước kiểm tra kỹ lưỡng để xác định tình trạng và mức độ tổn thương của tủy răng. Một số phương pháp chẩn đoán thường được sử dụng bao gồm:
- Khám lâm sàng: Quan sát trực tiếp răng và vùng lợi xung quanh, đánh giá tình trạng sâu răng, viêm nhiễm, hoặc tổn thương bề mặt răng.
- Chụp X-quang: Xác định mức độ viêm tủy, kiểm tra sự lan rộng của nhiễm trùng đến chân răng hoặc xương hàm.
- Thử cảm giác răng: Kiểm tra độ nhạy cảm của răng với nhiệt độ (nóng/lạnh) hoặc áp lực để đánh giá tình trạng tủy.
- Kiểm tra lịch sử bệnh lý: Hỏi bệnh nhân về các triệu chứng đau, thời gian xuất hiện và tần suất cơn đau để đánh giá giai đoạn viêm tủy.
Điều trị viêm tủy răng
Điều trị viêm tủy có hồi phục
Đối với viêm tủy răng ở giai đoạn nhẹ (còn khả năng hồi phục), mục tiêu chính là loại bỏ tác nhân gây viêm và bảo tồn tủy răng.
- Loại bỏ tác nhân kích thích: Bác sĩ sẽ làm sạch lỗ sâu, loại bỏ mô răng bị hư hại, tránh để vi khuẩn tiếp tục xâm nhập vào tủy.
- Sử dụng thuốc: Thuốc kháng sinh được sử dụng nhằm làm giảm viêm và tiêu diệt các vi khuẩn gây bệnh.Thuốc giảm đau giúp bệnh nhân giảm bớt khó chịu.
- Hàn răng: Sau khi làm sạch lỗ sâu và loại bỏ các yếu tố gây viêm, bác sĩ sẽ hàn kín răng bằng vật liệu chuyên dụng như composite hoặc amalgam để ngăn ngừa vi khuẩn xâm nhập.
Điều trị viêm tủy không hồi phục (chữa tủy)
Khi tủy răng đã tổn thương nghiêm trọng và không thể hồi phục, phương pháp điều trị tủy (root canal treatment) là cần thiết. Các bước trong quá trình này bao gồm:
- Gây tê cục bộ: Đảm bảo rằng trong suốt quá trình điều trị, bệnh nhân sẽ không cảm thấy đau đớn.
- Mở ống tủy: Bác sĩ sẽ tạo một lỗ nhỏ trên bề mặt răng để tiếp cận vào ống tủy.
- Loại bỏ tủy viêm: Tủy răng bị viêm hoặc hoại tử sẽ được lấy sạch bằng các dụng cụ nha khoa chuyên dụng.
- Làm sạch và khử trùng ống tủy: Các ống tủy sẽ được rửa sạch bằng dung dịch khử trùng để loại bỏ vi khuẩn và mô chết.
- Hàn kín ống tủy: Sau khi làm sạch, bác sĩ sẽ hàn kín ống tủy bằng vật liệu gutta-percha để ngăn ngừa tái nhiễm trùng.
- Phục hình răng: Cuối cùng, răng sẽ được phục hồi bằng cách hàn lại hoặc bọc răng sứ để bảo vệ và đảm bảo chức năng nhai.
Điều trị viêm tủy giai đoạn biến chứng
Nếu viêm tủy đã lan rộng và gây ra các biến chứng như viêm quanh cuống răng, áp xe, hoặc mất xương hàm, bác sĩ sẽ áp dụng các biện pháp điều trị phức tạp hơn:
- Dẫn lưu áp xe: Trường hợp áp xe răng, bác sĩ sẽ rạch nhỏ tại vùng lợi để dẫn lưu mủ, giảm áp lực và đau đớn.
- Xử lý viêm ở vùng quanh cuống răng: Sau khi làm sạch ống tủy, bác sĩ sẽ tiến hành điều trị vùng mô quanh cuống răng để ngăn ngừa vi khuẩn tiếp tục lan rộng.
- Nhổ răng (trường hợp nghiêm trọng): Nếu răng đã hư hại nghiêm trọng, không thể bảo tồn, bác sĩ sẽ chỉ định nhổ răng để loại bỏ hoàn toàn nguồn nhiễm trùng. Sau đó, các giải pháp thay thế như cấy ghép implant hoặc làm cầu răng có thể được xem xét để khôi phục chức năng nhai.

Biến Chứng Nguy Hiểm Nếu Không Điều Trị
Viêm quanh cuống răng
Viêm nhiễm lan từ tủy đến chân răng, gây sưng tấy và hình thành ổ mủ. Tình trạng này không chỉ đau đớn mà còn khiến răng mất chức năng.
Mất răng
Răng bị tổn thương nghiêm trọng có thể không còn khả năng phục hồi, buộc phải nhổ bỏ.
Nguy cơ lây lan nhiễm trùng
Vi khuẩn từ ổ viêm có thể theo đường máu lan đến các cơ quan khác, gây nguy hiểm cho sức khỏe tổng quát.

Phòng Ngừa Viêm Tủy Răng
Chăm sóc răng miệng đúng cách
- Hãy chải răng ít nhất hai lần mỗi ngày và dùng kem đánh răng có chứa fluoride.
- Sử dụng chỉ nha khoa và nước súc miệng để làm sạch mảng bám ở các kẽ răng.
Khám răng định kỳ
- Khám nha khoa thường xuyên (6 tháng/lần) giúp phát hiện và xử lý kịp thời các vấn đề tiềm ẩn.
Hạn chế các yếu tố gây hại
- Tránh ăn đồ quá cứng, quá ngọt hoặc đồ uống có tính axit cao.
- Đeo bảo vệ răng khi tham gia các môn thể thao mạo hiểm.
Lời Khuyên Từ Chuyên Gia
- Đừng chủ quan với cơn đau răng kéo dài: Việc trì hoãn điều trị có thể gây hậu quả nghiêm trọng.
- Lựa chọn cơ sở nha khoa uy tín: Đảm bảo quy trình điều trị được thực hiện đúng cách bởi đội ngũ chuyên gia.
- Chăm sóc sau điều trị: Răng đã lấy tủy cần được chăm sóc đặc biệt để tránh tái nhiễm.

Trả lời câu hỏi
Bệnh viêm tủy răng có nguy hiểm không?
Nếu không được điều trị đúng cách và kịp thời, viêm tủy răng có thể trở thành một vấn đề sức khỏe nghiêm trọng. Ban đầu, nó có thể gây đau nhức, ê buốt, ảnh hưởng đến sinh hoạt hàng ngày. Tuy nhiên, nếu viêm tủy lan rộng, nó có thể dẫn đến các biến chứng nguy hiểm như áp xe, viêm quanh cuống răng, hoặc thậm chí mất răng. Ngoài ra, nhiễm trùng từ răng có thể lan đến các cơ quan khác trong cơ thể, gây hậu quả khó lường. Vì vậy, việc phát hiện và can thiệp sớm là rất quan trọng để bảo vệ sức khỏe toàn diện.
Trị viêm tủy răng bao nhiêu tiền?
Chi phí điều trị viêm tủy răng phụ thuộc vào nhiều yếu tố như mức độ tổn thương, số lượng răng cần chữa, và cơ sở nha khoa thực hiện. Trung bình, giá chữa tủy cho một răng dao động từ 500.000 đến 3.000.000 đồng. Nếu kèm theo các dịch vụ phục hình như bọc răng sứ, chi phí có thể tăng lên, từ 1.500.000 đến 10.000.000 đồng hoặc hơn, tùy vào loại vật liệu sử dụng. Để biết chi tiết, người bệnh nên đến trực tiếp các phòng khám nha khoa để được tư vấn cụ thể.
Viêm tủy răng uống thuốc gì?
Trong một số trường hợp, bác sĩ có thể chỉ định sử dụng thuốc để kiểm soát viêm và giảm triệu chứng trước khi thực hiện điều trị chính. Thường xuyên được chỉ định các loại thuốc bao gồm:
- Thuốc kháng sinh: Amoxicillin hoặc Metronidazole giúp kiểm soát vi khuẩn gây viêm.
- Thuốc giảm đau: Paracetamol hoặc Ibuprofen có tác dụng giảm đau và hạ sốt.
- Thuốc chống viêm: Nhóm corticosteroid (theo chỉ định của bác sĩ) hỗ trợ giảm sưng và viêm.
Người bệnh cần tuân thủ hướng dẫn của bác sĩ, không tự ý mua và sử dụng thuốc để tránh tác dụng phụ hoặc biến chứng không mong muốn.
Kết Luận
Viêm tủy răng là một trong những bệnh lý răng miệng phổ biến, nhưng với sự quan tâm và điều trị kịp thời, bạn hoàn toàn có thể bảo vệ sức khỏe răng miệng của mình. Hãy xây dựng thói quen vệ sinh răng miệng đúng cách, kết hợp với thăm khám nha khoa định kỳ để giữ nụ cười luôn khỏe đẹp.
Sản Phẩm True Nutrition
Khuyến mãi mỗi ngày
Viết bình luận