Điều Trị Khớp Cắn Ngược: Các Phương Pháp Hiện Đại Đem Lại Nụ Cười Đẹp
-
Người viết: Dược Sĩ Ái Minh
/
Niềng răng khớp cắn ngược giá bao nhiêu là câu hỏi được nhiều người quan tâm khi gặp phải tình trạng răng móm, ảnh hưởng đến thẩm mỹ và chức năng nhai. Chi phí niềng răng phụ thuộc vào nhiều yếu tố như tình trạng răng, phương pháp điều trị, và địa điểm thăm khám.
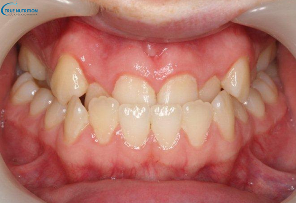
Khớp Cắn Ngược Là Gì?
Khớp cắn ngược là tình trạng khi răng cửa hàm dưới nhô ra phía ngoài so với răng cửa hàm trên. Điều này khiến cho hàm dưới có xu hướng chìa ra ngoài, làm thay đổi cấu trúc khuôn mặt, khiến người mắc phải cảm thấy mất tự tin trong giao tiếp. Khớp cắn ngược không chỉ tác động đến vẻ đẹp thẩm mỹ mà còn có thể dẫn đến những rắc rối nghiêm trọng về chức năng ăn uống và sức khỏe tổng thể nếu không được xử lý kịp thời.

Nguyên Nhân Gây Ra Khớp Cắn Ngược
Nhiều nguyên nhân khác nhau có thể dẫn đến tình trạng khớp cắn ngược. Dưới đây là các yếu tố chủ yếu gây ra tình trạng này:
- Yếu tố bẩm sinh: Đây là nguyên nhân phổ biến khiến nhiều người mắc phải tình trạng này. Nếu trong gia đình có người bị khớp cắn ngược thì khả năng trẻ sinh ra cũng mắc phải tình trạng tương tự là khá cao.
- Thói quen xấu trong trẻ nhỏ: Những thói quen như mút ngón tay, sử dụng ti giả, đẩy lưỡi khi ngủ hoặc thậm chí là cắn móng tay có thể là nguyên nhân dẫn đến sự phát triển sai lệch của xương hàm và răng miệng.
- Tác động từ bên ngoài: Các yếu tố bên ngoài như chấn thương hàm hoặc việc mất răng sớm trong độ tuổi phát triển cũng có thể là nguyên nhân khiến khớp cắn trở nên ngược.
Các Dạng Khớp Cắn Ngược
Khớp cắn ngược có thể chia thành hai dạng chính dựa trên nguyên nhân và tình trạng cụ thể:
Khớp Cắn Ngược Do Răng
Khi bị khớp cắn ngược do răng, nguyên nhân là do sự phát triển lệch lạc của các răng cửa hàm dưới. Những răng cửa hàm dưới mọc trước so với răng cửa hàm trên, tạo nên tình trạng răng móm. Đây là tình trạng khá phổ biến và có thể được điều trị hiệu quả bằng các phương pháp chỉnh nha như niềng răng.
Khớp Cắn Ngược Do Xương
Khớp cắn ngược do xương thường nghiêm trọng hơn và liên quan đến sự phát triển của xương hàm. Xương hàm dưới phát triển quá mức hoặc xương hàm trên không phát triển đủ, dẫn đến sự mất cân đối của hàm. Trong trường hợp này, phẫu thuật chỉnh hình xương hàm có thể là lựa chọn cần thiết để cải thiện tình trạng này.

Biến Chứng Của Khớp Cắn Ngược
Khớp cắn ngược không chỉ làm mất thẩm mỹ khuôn mặt mà còn gây ra nhiều biến chứng nghiêm trọng về sức khỏe và sinh hoạt. Dưới đây là một số biến chứng phổ biến mà người mắc khớp cắn ngược có thể gặp phải:
Mất Thẩm Mỹ
Khớp cắn ngược là một trong những nguyên nhân hàng đầu gây mất thẩm mỹ khuôn mặt. Khi hàm dưới chìa ra ngoài, khuôn mặt sẽ không còn cân đối, dẫn đến sự tự ti, ngại giao tiếp và khó khăn trong việc thể hiện cảm xúc. Việc mất tự tin trong giao tiếp có thể ảnh hưởng đến cuộc sống cá nhân và công việc của người bị khớp cắn ngược.
Khó Khăn Trong Việc Ăn Nhai
Khớp cắn ngược cũng gây khó khăn trong việc ăn uống. Người mắc phải tình trạng này phải nhai chậm rãi và cẩn thận để tránh gây chấn thương hoặc đau đớn. Điều này có thể làm giảm hiệu quả tiêu hóa, dẫn đến các vấn đề về dạ dày và đường ruột, gây ảnh hưởng đến sức khỏe tổng thể.
Cản Trở Trong Sinh Hoạt Và Vệ Sinh Răng Miệng
Khó khăn trong việc phát âm là một vấn đề thường gặp ở người mắc khớp cắn ngược. Việc phát âm không chuẩn, đặc biệt là khi nói các âm phức tạp, có thể làm giảm khả năng giao tiếp hiệu quả. Ngoài ra, việc vệ sinh răng miệng cũng trở nên khó khăn hơn, dễ dẫn đến sâu răng, viêm lợi, viêm nướu nếu không được chăm sóc đúng cách.
Các Bệnh Lý Liên Quan
Khớp cắn ngược có thể gây ra một số vấn đề sức khỏe khác như đau đầu mãn tính, đau khớp thái dương hàm, các bệnh về tim mạch hoặc đường ruột. Khi khớp cắn không đều, cơ nhai sẽ bị ảnh hưởng, khiến thức ăn không được nghiền nát đúng cách, gây khó khăn trong quá trình tiêu hóa.
Cách Điều Trị Khớp Cắn Ngược
Để điều trị khớp cắn ngược, các phương pháp hiện nay khá đa dạng và có thể áp dụng tùy theo mức độ nghiêm trọng của tình trạng. Các phương pháp điều trị thường được áp dụng phổ biến nhất bao gồm những lựa chọn dưới đây:
Phẫu Thuật
Đối với các trường hợp khớp cắn ngược do xương, phẫu thuật chỉnh hình hàm là phương pháp hiệu quả. Phẫu thuật này giúp điều chỉnh lại sự phát triển của xương hàm, đưa hàm trên và hàm dưới về vị trí cân đối, từ đó cải thiện cả thẩm mỹ khuôn mặt và chức năng nhai. Phẫu thuật chỉnh hình xương thường được thực hiện khi các phương pháp khác không mang lại kết quả như mong muốn.
Bọc Răng Sứ
Bọc răng sứ là một giải pháp được sử dụng trong các trường hợp khớp cắn ngược nhẹ, chủ yếu là do răng. Phương pháp này giúp điều chỉnh lại hình dáng và màu sắc của răng, tạo nên nụ cười tự tin và cải thiện thẩm mỹ. Răng sứ có độ bền cao, chịu được lực nhai mạnh gấp 3-4 lần so với răng thật, giúp người bệnh không chỉ có hàm răng đẹp mà còn thuận lợi trong việc ăn nhai.
Niềng Răng
Niềng răng là phương pháp phổ biến nhất để điều trị khớp cắn ngược, đặc biệt là đối với những người có khớp cắn ngược do răng. Phương pháp niềng răng giúp di chuyển các răng về đúng vị trí, từ đó điều chỉnh lại khớp cắn và cải thiện thẩm mỹ khuôn mặt. Niềng răng giúp bảo tồn răng thật mà không cần phải mài răng, phù hợp với nhiều độ tuổi và tình trạng răng miệng khác nhau.

Lưu Ý Khi Điều Trị Khớp Cắn Ngược
Khi điều trị khớp cắn ngược, người bệnh cần lưu ý một số điều sau:
- Lựa chọn phương pháp điều trị thích hợp: Tùy theo mức độ nặng nhẹ của tình trạng, bác sĩ sẽ đưa ra lời khuyên về phương pháp điều trị phù hợp, có thể là phẫu thuật, niềng răng hoặc bọc răng sứ..
- Thực hiện đúng theo hướng dẫn của bác sĩ: Để đạt hiệu quả điều trị cao nhất, người bệnh cần tuân thủ đầy đủ các chỉ dẫn của bác sĩ về việc chăm sóc, thăm khám định kỳ và áp dụng các biện pháp vệ sinh răng miệng một cách chính xác.
- Theo dõi quá trình điều trị: Việc theo dõi kết quả điều trị và điều chỉnh phương pháp nếu cần thiết là rất quan trọng để đạt được kết quả tốt nhất.

Phòng Ngừa Khớp Cắn Ngược: Cách Để Ngăn Ngừa Tình Trạng Răng Móm
Khớp cắn ngược là một vấn đề răng miệng có thể ảnh hưởng nghiêm trọng đến thẩm mỹ khuôn mặt, chức năng nhai và sức khỏe tổng thể của mỗi người. Tuy nhiên, tình trạng này hoàn toàn có thể phòng ngừa được nếu bạn chủ động thực hiện các biện pháp chăm sóc răng miệng ngay từ khi còn nhỏ. Dưới đây là những phương pháp phòng ngừa khớp cắn ngược hiệu quả mà bạn có thể áp dụng:
Hạn Chế Các Thói Quen Xấu Từ Khi Còn Nhỏ
Thói quen xấu trong những năm tháng đầu đời có thể là nguyên nhân chính dẫn đến khớp cắn ngược khi trẻ trưởng thành. Các thói quen này ảnh hưởng không nhỏ đến sự phát triển của hàm răng và cấu trúc xương hàm, đặc biệt là trong giai đoạn phát triển của trẻ. Những thói quen xấu cần tránh bao gồm một số hành động sau đây:
- Mút ngón tay: Mút ngón tay là một thói quen khá phổ biến ở trẻ nhỏ. Tuy nhiên, nếu kéo dài, thói quen này có thể khiến răng cửa hàm dưới chìa ra ngoài, dẫn đến khớp cắn ngược.
- Ti giả: Việc cho trẻ sử dụng ti giả trong thời gian dài cũng có thể làm ảnh hưởng đến sự phát triển của răng và xương hàm. Tương tự như mút ngón tay, việc này có thể tạo ra lực tác động không mong muốn lên hàm và gây ra tình trạng khớp cắn ngược.
- Đẩy lưỡi khi ngủ: Thói quen đẩy lưỡi về phía trước khi ngủ hay khi nói chuyện có thể tác động xấu đến sự phát triển của xương hàm, làm cho răng cửa hàm trên không thể mọc đúng vị trí, dẫn đến khớp cắn ngược.
Kiểm Tra Răng Miệng Định Kỳ Và Thăm Khám Nha Sĩ Sớm
Một trong những biện pháp phòng ngừa tốt nhất là việc thăm khám nha sĩ định kỳ. Điều này đặc biệt quan trọng trong việc phát hiện và xử lý các vấn đề răng miệng ngay từ khi còn nhỏ, giúp ngăn ngừa tình trạng khớp cắn ngược phát triển.
- Kiểm tra răng miệng khi trẻ còn nhỏ: Việc kiểm tra tình trạng răng miệng của trẻ từ khi còn nhỏ (khoảng 2-3 tuổi) có thể giúp phát hiện sớm các vấn đề như sai lệch khớp cắn, lệch răng, hoặc những vấn đề phát triển của hàm. Nha sĩ sẽ tư vấn và hướng dẫn cách phòng ngừa kịp thời, từ đó ngăn ngừa tình trạng khớp cắn ngược.
- Định kỳ thăm khám răng miệng: Người lớn cũng cần thăm khám răng miệng ít nhất mỗi 6 tháng một lần để phát hiện sớm các dấu hiệu của khớp cắn ngược hoặc các vấn đề khác liên quan đến sức khỏe răng miệng. Nếu phát hiện tình trạng khớp cắn ngược, bác sĩ có thể đưa ra các giải pháp điều trị phù hợp ngay từ sớm.
Chú Ý Đến Việc Phát Triển Xương Hàm
Xương hàm phát triển không đúng cách là một nguyên nhân chính dẫn đến tình trạng khớp cắn ngược. Nếu xương hàm dưới phát triển quá mức, trong khi xương hàm trên không phát triển đủ, sẽ khiến cho hàm dưới chìa ra ngoài, tạo thành khớp cắn ngược. Để phòng ngừa tình trạng này, bạn cần chú ý đến sự phát triển của xương hàm từ khi còn nhỏ và ngay cả khi trưởng thành.
- Tập luyện cơ hàm: Một số bài tập cơ hàm có thể giúp trẻ em phát triển xương hàm một cách đồng đều và cân đối. Ví dụ, các bài tập giúp cải thiện cơ mặt và cơ hàm như nhai các loại thực phẩm dai, thực hiện các bài tập vận động cơ mặt, giúp xương hàm phát triển đúng cách.
- Điều chỉnh sự phát triển của xương hàm: Nếu bạn hoặc con bạn có dấu hiệu của khớp cắn ngược, việc đến bác sĩ chỉnh hình xương hàm để thực hiện các can thiệp điều chỉnh sớm là rất quan trọng. Điều này có thể giúp cải thiện sự phát triển của xương hàm, giúp tránh được các vấn đề về khớp cắn ngược.
Tạo Thói Quen Ăn Uống Lành Mạnh
Chế độ ăn uống không chỉ ảnh hưởng đến sức khỏe tổng thể mà còn có tác động lớn đến sự phát triển của răng và xương hàm. Việc duy trì một chế độ ăn uống hợp lý, bổ sung đầy đủ các chất dinh dưỡng sẽ giúp xương hàm phát triển khỏe mạnh và đúng cách, từ đó giảm nguy cơ mắc khớp cắn ngược.
- Ăn thực phẩm giàu canxi và vitamin D: Canxi và vitamin D đóng vai trò quan trọng trong việc phát triển và duy trì sức khỏe của xương. Bạn cần bổ sung các thực phẩm giàu canxi như sữa, phô mai, các loại hạt, và thực phẩm giàu vitamin D như trứng, cá để giúp xương hàm phát triển bình thường.
- Hạn chế thực phẩm cứng và dai: Các thực phẩm quá cứng hoặc dai, nếu ăn quá nhiều, có thể ảnh hưởng đến sự phát triển của xương hàm, gây ra tình trạng lệch răng hoặc khớp cắn ngược. Đặc biệt, trẻ em khi còn nhỏ cần được hạn chế ăn các loại thực phẩm cứng có thể ảnh hưởng đến sự phát triển của răng và hàm.

Trả Lời Câu Hỏi
Phẫu thuật khớp cắn ngược có nguy hiểm không?
Phẫu thuật khớp cắn ngược là một phương pháp điều trị hiệu quả nhưng cũng tiềm ẩn một số rủi ro như mọi cuộc phẫu thuật khác. Các biến chứng có thể bao gồm nhiễm trùng, sưng đau, hoặc đôi khi là các vấn đề về chức năng ăn nhai nếu không thực hiện đúng kỹ thuật. Tuy nhiên, khi được thực hiện tại các cơ sở y tế uy tín với bác sĩ có tay nghề cao, nguy cơ biến chứng sẽ được giảm thiểu đáng kể, và phẫu thuật mang lại hiệu quả lâu dài trong việc cải thiện khớp cắn.
Khớp cắn ngược niềng trong bao lâu?
Thời gian niềng răng đối với khớp cắn ngược thường kéo dài từ 18 tháng đến 2 năm, tùy vào mức độ nặng nhẹ của tình trạng khớp cắn ngược và phương pháp niềng răng được lựa chọn. Nếu tình trạng khớp cắn ngược chỉ ở mức độ nhẹ, thời gian niềng có thể ngắn hơn, còn nếu tình trạng nghiêm trọng hơn thì quá trình điều trị sẽ kéo dài để đảm bảo hiệu quả tối ưu.
Khớp cắn ngược có làm răng sứ được không?
Trong một số trường hợp khớp cắn ngược nhẹ, làm răng sứ có thể là một phương pháp điều trị tốt. Tuy nhiên, đối với các trường hợp khớp cắn ngược nặng, chỉ có niềng răng hoặc phẫu thuật chỉnh hình mới giúp cải thiện được tình trạng này. Bọc răng sứ chỉ giúp chỉnh sửa vẻ ngoài của răng mà không can thiệp vào cấu trúc hàm và khớp cắn, do đó, người có khớp cắn ngược nặng nên tham khảo ý kiến bác sĩ về phương pháp điều trị phù hợp.
Kết Luận
Khớp cắn ngược là một vấn đề nghiêm trọng không chỉ ảnh hưởng đến thẩm mỹ mà còn gây ra nhiều khó khăn trong sinh hoạt và sức khỏe. Tuy nhiên, với sự tiến bộ của y học, các phương pháp điều trị khớp cắn ngược hiện nay rất đa dạng và hiệu quả. Nếu bạn hoặc người thân đang gặp phải tình trạng này, hãy tham khảo ý kiến bác sĩ chuyên khoa để có được phương pháp điều trị phù hợp và hiệu quả
Sản Phẩm True Nutrition
Khuyến mãi mỗi ngày
Viết bình luận