Điều Trị Răng Sâu Bị Vỡ Chỉ Còn Chân Răng: Nguyên Nhân, Biến Chứng
-
Người viết: Dược Sĩ Vi Thùy Linh
/
Tình trạng răng sâu bị vỡ chỉ còn chân răng là một vấn đề nha khoa phổ biến, gây ảnh hưởng nghiêm trọng đến chất lượng cuộc sống. Đây là giai đoạn tiến triển nặng của sâu răng, khi cấu trúc răng bị tổn thương nặng nề, chỉ còn lại phần chân răng nằm trong xương hàm. Nguyên nhân chính dẫn đến tình trạng này bao gồm vệ sinh răng miệng kém, chế độ ăn uống nhiều đường và không thăm khám nha khoa thường xuyên. Hậu quả của răng sâu bị vỡ là mất chức năng ăn nhai, đau đớn kéo dài, thậm chí là viêm nhiễm lan rộng.
Bài viết này sẽ cung cấp thông tin chi tiết về nguyên nhân, biến chứng, cách điều trị và phòng ngừa tình trạng này, giúp bạn hiểu rõ hơn và có cách chăm sóc răng miệng hiệu quả.
I. Cấu tạo & vai trò của răng hàm
1. Cấu tạo của răng hàm
Răng hàm đóng vai trò thiết yếu trong việc nghiền nát thức ăn, hỗ trợ tiêu hóa và cung cấp chất dinh dưỡng cho cơ thể. Một chiếc răng hàm được cấu tạo bởi hai phần chính là thân răng và chân răng, cùng các lớp bảo vệ chuyên biệt:
Thân răng:
- Là phần nổi lên khỏi nướu, chịu trách nhiệm trực tiếp trong việc nghiền nát thức ăn.
- Được bao bọc bởi lớp men răng, đây là chất cứng nhất trong cơ thể, bảo vệ răng khỏi các tác nhân như vi khuẩn, nhiệt độ và lực nhai mạnh.
Chân răng:
- Phần nằm sâu trong xương hàm, có nhiệm vụ giữ cho răng cố định và ổn định.
- Chân răng kết nối với mô nướu và xương bằng hệ thống dây chằng nha chu, giúp răng chịu lực khi nhai.
Các lớp cấu tạo quan trọng của răng:
- Men răng: Lớp ngoài cùng, chịu trách nhiệm bảo vệ các phần bên trong khỏi tác động của vi khuẩn và axit. Men răng tuy cứng nhưng nếu không được bảo vệ đúng cách, có thể bị mòn hoặc vỡ.
- Ngà răng: Lớp nằm dưới men răng, mềm hơn men nên dễ bị tổn thương khi men răng bị phá vỡ. Ngà răng có các ống nhỏ liên kết với tủy răng, khiến răng nhạy cảm khi tiếp xúc với đồ nóng, lạnh hoặc chua.
- Tủy răng: Phần trung tâm của răng, chứa mạch máu và dây thần kinh. Tủy răng có vai trò nuôi dưỡng răng và phản ứng lại các tổn thương. Khi tủy bị viêm hoặc nhiễm trùng, răng sẽ đau nhức dữ dội.
2. Nguyên nhân khiến răng hàm dễ bị sâu và vỡ
Răng hàm, với chức năng nghiền nát thức ăn, thường phải chịu lực lớn và tiếp xúc nhiều với thực phẩm. Tuy nhiên, cấu trúc và vị trí của răng hàm lại khiến chúng dễ bị sâu và tổn thương:
Cấu tạo phức tạp: Răng hàm có nhiều khe, rãnh nhỏ trên bề mặt. Các khe này là nơi lý tưởng để thức ăn mắc lại và vi khuẩn phát triển. Việc làm sạch hoàn toàn các rãnh này khi chải răng thường khó khăn.
Vị trí khó vệ sinh: Răng hàm nằm ở phía sau cung hàm, gây khó khăn trong việc tiếp cận khi chải răng hoặc dùng chỉ nha khoa. Điều này làm tăng nguy cơ hình thành mảng bám và sâu răng.
Sự tấn công của vi khuẩn: Khi các mảng bám không được loại bỏ kịp thời, vi khuẩn trong miệng sẽ chuyển hóa đường từ thực phẩm thành axit. Acid này có thể làm mòn men răng và gây nên sâu răng. Nếu không điều trị, quá trình này sẽ tiến triển đến ngà và tủy răng, gây đau nhức và vỡ răng.

II. Như thế nào là răng sâu bị vỡ chỉ còn chân răng?
1. Các giai đoạn:
Sâu răng là một bệnh lý diễn tiến từ từ, bắt đầu từ bề mặt răng và có thể lan sâu vào bên trong nếu không được điều trị:
Giai đoạn 1: Hình thành lỗ sâu nhỏ
Sâu răng bắt đầu khi vi khuẩn tấn công men răng, tạo ra những lỗ sâu nhỏ không gây đau đớn.
Giai đoạn 2: Sâu lan vào ngà răng
Khi sâu răng tiếp tục phá hủy lớp men, nó lan đến ngà răng. Lúc này, răng bắt đầu nhạy cảm hơn với đồ nóng, lạnh hoặc ngọt.
Giai đoạn 3: Vi khuẩn xâm nhập tủy răng
Khi tủy răng bị viêm nhiễm, răng trở nên đau nhức dữ dội. Nếu không điều trị, tủy có thể bị hoại tử, dẫn đến nhiễm trùng chân răng.
Giai đoạn 4: Răng vỡ hoàn toàn, chỉ còn chân răng
Ở giai đoạn cuối, thân răng bị phá hủy hoàn toàn, chỉ còn lại chân răng nằm trong xương hàm. Đây là hậu quả nghiêm trọng, gây mất chức năng nhai và ảnh hưởng xấu đến sức khỏe toàn thân.
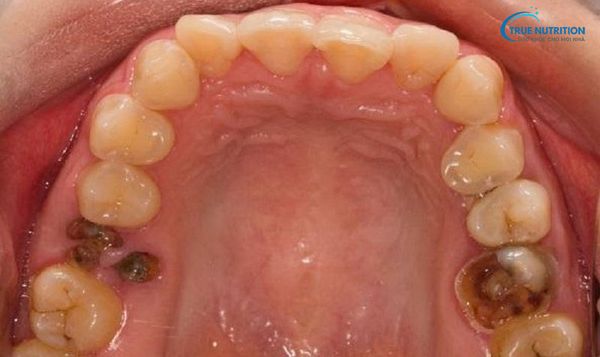
2. Dấu hiệu nhận biết tình trạng răng sâu bị vỡ chỉ còn chân răng
Khi răng sâu tiến triển đến giai đoạn chỉ còn chân răng, người bệnh thường gặp các triệu chứng rõ rệt:
Vết nứt lớn hoặc lỗ sâu rõ ràng: Bề mặt răng bị mẻ hoặc mất hoàn toàn, chỉ còn lại phần chân răng trong nướu.
Cơn đau và ê buốt kéo dài: Đau có thể tăng lên khi ăn uống, đặc biệt với thực phẩm nóng, lạnh hoặc ngọt.
Nướu sưng đỏ và chảy máu: Vùng quanh chân răng dễ bị viêm, sưng đỏ, có thể xuất hiện mủ khi nhiễm trùng nặng.
Hơi thở hôi: Vi khuẩn và thức ăn tích tụ quanh chân răng gây mùi hôi khó chịu.
Răng sâu bị vỡ chỉ còn chân răng không chỉ gây đau đớn mà còn tiềm ẩn nhiều biến chứng nghiêm trọng nếu không được điều trị kịp thời.

III. Biến chứng của răng sâu bị vỡ chỉ còn chân răng
1. Ảnh hưởng đến khả năng ăn nhai
Răng sâu bị vỡ làm giảm hoặc mất hoàn toàn khả năng nhai, gây nhiều hệ lụy nghiêm trọng:
- Khả năng nghiền nát thức ăn giảm: Khi răng hàm bị tổn thương, thức ăn không được nhai kỹ, dẫn đến hệ tiêu hóa phải làm việc nhiều hơn, gây ra các vấn đề như khó tiêu, đầy bụng và đau dạ dày.
- Thiếu dinh dưỡng: Việc nhai kém khiến cơ thể khó hấp thu đủ chất dinh dưỡng, ảnh hưởng đến sức khỏe tổng thể, đặc biệt là ở người già và trẻ em.
2. Các vấn đề về thẩm mỹ và giao tiếp
Ngoài chức năng nhai, răng còn đóng vai trò quan trọng trong giao tiếp và thẩm mỹ:
- Hơi thở có mùi hôi: Vi khuẩn và thức ăn tích tụ quanh chân răng bị vỡ gây ra mùi khó chịu, làm người bệnh mất tự tin khi giao tiếp.
- Hình thức thiếu thẩm mỹ: Răng bị vỡ, mất một phần hoặc toàn bộ thân răng làm giảm tính thẩm mỹ của nụ cười, ảnh hưởng tiêu cực đến tâm lý.
3. Hậu quả nghiêm trọng
Tình trạng này nếu không kịp thời điều trị sẽ gây ra những biến chứng vô cùng nguy hiểm:
- Nhiễm trùng và áp xe răng: Khi vi khuẩn tấn công vào tủy răng và chân răng, tình trạng nhiễm trùng xảy ra, gây đau nhức dữ dội và xuất hiện ổ mủ (áp xe).
- Viêm nhiễm lan rộng: Nhiễm trùng từ chân răng có thể lan đến xương hàm, các răng lân cận và thậm chí là vùng mặt, dẫn đến viêm mô tế bào hoặc nhiễm trùng máu.
- Nguy cơ mất răng vĩnh viễn: Khi chân răng không còn khả năng bảo tồn, nhổ răng là điều không thể tránh khỏi, dẫn đến mất chức năng ăn nhai và giảm chất lượng cuộc sống.
- Bệnh lý nguy hiểm: Nhiễm trùng kéo dài có thể gây ra các bệnh nghiêm trọng như ung thư vòm họng hoặc xương hàm, mặc dù trường hợp này hiếm gặp nhưng vẫn là một nguy cơ tiềm ẩn.
IV. Cách điều trị tình trạng răng sâu bị vỡ chỉ còn chân răng
1. Nguyên tắc điều trị
Điều trị răng sâu bị vỡ cần tuân thủ các nguyên tắc sau:
- Bảo tồn tối đa phần chân răng nếu còn khả năng sử dụng.
- Lựa chọn phương pháp phù hợp với mức độ tổn thương và tình trạng sức khỏe của bệnh nhân.
2. Các phương pháp
Nếu chân răng còn tốt:
- Vệ sinh và chữa tủy: Loại bỏ vi khuẩn và mô tủy bị nhiễm trùng, sau đó lấp đầy răng bằng vật liệu đặc biệt để bảo vệ chân răng.
- Tái tạo thân răng: Bọc răng sứ để khôi phục hình dạng và chức năng của răng.
- Làm cầu răng: Trong một số trường hợp, chân răng khỏe mạnh có thể được sử dụng làm trụ để tạo cầu răng, thay thế cho răng đã mất.
Nếu chân răng không còn thể bảo tồn:
- Nhổ bỏ chân răng: Loại bỏ phần chân răng không còn khả năng duy trì để tránh nhiễm trùng lan rộng.
- Phục hình răng:
- Trồng răng giả: Dùng răng giả tháo lắp để phục hồi chức năng ăn nhai.
- Cấy ghép Implant: Cấy trụ titanium vào trong xương hàm để thay thế chân răng đã mất, sau đó gắn răng sứ lên trên, mang lại hiệu quả bền vững và thẩm mỹ cao.
3. Lựa chọn phương pháp phục hình
Tùy thuộc vào mức độ tổn thương, bác sĩ sẽ đề xuất phương pháp phục hình phù hợp:
- Trám răng hoặc dán răng sứ: Phù hợp với tổn thương nhẹ hoặc vết nứt nhỏ.
- Bọc răng sứ: Áp dụng khi chân răng còn đủ khả năng chịu lực, giúp khôi phục cả chức năng và thẩm mỹ.
- Cấy ghép Implant: Lựa chọn tối ưu cho trường hợp mất hoàn toàn thân răng, mang lại hiệu quả lâu dài và tính thẩm mỹ cao.

V. Cách phòng ngừa răng sâu bị vỡ
1. Thói quen vệ sinh răng
- Đánh răng ít nhất 2 lần mỗi ngày bằng kem đánh răng chứa fluoride để tăng cường men răng.
- Sử dụng chỉ nha khoa và tăm nước để loại bỏ mảng bám ở những khu vực khó tiếp cận.
- Súc miệng với nước muối hoặc nước súc miệng chuyên dụng để loại bỏ vi khuẩn.
2. Thay đổi chế độ ăn uống
- Hạn chế tiêu thụ đường và thực phẩm giàu tinh bột vì chúng là nguồn dinh dưỡng chính của vi khuẩn gây sâu răng.
- Tăng cường các loại thực phẩm giàu canxi và vitamin D như sữa, phô mai, cá hồi để hỗ trợ sức khỏe răng miệng.
3. Thăm khám nha khoa định kỳ
- Đến nha khoa kiểm tra răng miệng 6 tháng/lần để phát hiện và điều trị kịp thời các vấn đề.
- Thực hiện lấy cao răng định kỳ để loại bỏ mảng bám và ngăn ngừa sâu răng.
Phòng ngừa luôn là cách tốt nhất để bảo vệ răng miệng và tránh được những biến chứng phức tạp như răng sâu bị vỡ chỉ còn chân răng.
VI. Kết luận
Phát hiện và điều trị kịp thời tình trạng răng sâu bị vỡ chỉ còn chân răng là điều cần thiết để tránh những biến chứng nguy hiểm. Hãy duy trì thói quen vệ sinh răng miệng đúng cách, ăn uống khoa học và thăm khám nha khoa định kỳ để bảo vệ sức khỏe răng miệng.
Sản Phẩm True Nutrition
Khuyến mãi mỗi ngày
Viết bình luận