Gãy Răng Cửa Để Lâu Có Sao Không? Đừng Chủ Quan Trước Những Hậu Quả!
-
Người viết: Dược Sĩ Ái Minh
/
Bị gãy răng cửa phải làm sao để khắc phục nhanh chóng và hiệu quả? Đây là nỗi lo của nhiều người khi gặp phải tình trạng này, bởi răng cửa không chỉ đóng vai trò quan trọng trong việc ăn nhai mà còn ảnh hưởng trực tiếp đến thẩm mỹ khuôn mặt. Nếu không xử lý kịp thời, gãy răng cửa có thể gây đau nhức, khó khăn khi giao tiếp và mất tự tin.

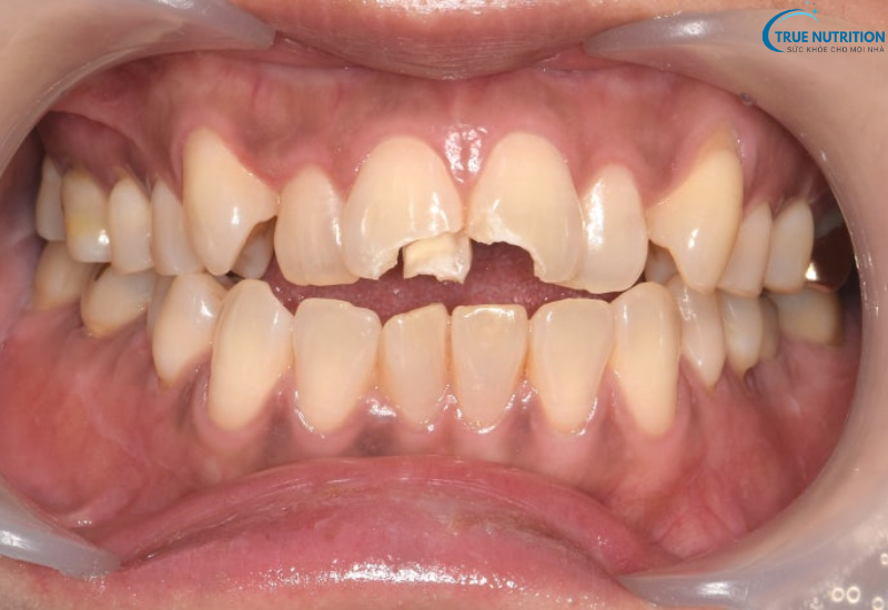
Gãy Răng Cửa Là Gì?
Gãy răng cửa là tình trạng răng bị chấn thương do tác động bên ngoài hoặc yếu tố nội sinh, dẫn đến mất một phần hoặc toàn bộ răng. Răng cửa có vai trò quan trọng trong việc cắn xé thức ăn và tạo nên nụ cười hoàn hảo. Khi răng cửa bị gãy, cần phải can thiệp kịp thời để tránh những hậu quả nghiêm trọng như đau nhức, ảnh hưởng chức năng nhai và gây mất tự tin.

Nguyên Nhân Gây Gãy Răng Cửa
Tình trạng gãy răng cửa có thể do nhiều nguyên nhân khác nhau, bao gồm:
Do Tác Động Bên Ngoài
- Tai nạn giao thông: Va chạm mạnh khi tham gia giao thông có thể khiến răng bị gãy nghiêm trọng.
- Chơi thể thao mà không có dụng cụ bảo vệ: Các môn thể thao có tiếp xúc mạnh như bóng rổ, bóng đá, võ thuật đều có nguy cơ gây tổn thương răng nếu không có biện pháp bảo vệ thích hợp.
- Té ngã: Nhất là ở trẻ em và người cao tuổi, những cú ngã mạnh có thể dẫn đến răng cửa bị gãy hoặc rụng hoàn toàn.
Do Yếu Tố Bên Trong
- Sâu răng, viêm tủy: Khi răng bị tổn thương từ bên trong do sâu răng hoặc viêm tủy, răng trở nên giòn hơn và dễ gãy khi có lực tác động.
- Thiếu canxi, khoáng chất: Chế độ ăn uống thiếu hụt canxi và các khoáng chất quan trọng khiến răng không đủ chắc khỏe, dễ bị tổn thương.
- Nghiến răng khi ngủ: Thói quen này gây mài mòn men răng, làm suy yếu cấu trúc răng và tăng nguy cơ gãy.
Các Trường Hợp Gãy Răng Cửa
Gãy răng cửa có thể xảy ra ở nhiều mức độ khác nhau, tùy theo tình trạng cụ thể mà có phương án khắc phục phù hợp:
- Gãy răng cửa nhưng còn chân răng: Trong trường hợp này, răng chưa bị tổn thương hoàn toàn, có thể phục hồi bằng phương pháp trám răng hoặc bọc răng sứ để đảm bảo chức năng và thẩm mỹ.
- Gãy răng cửa mất cả chân răng: Nếu răng bị gãy quá nhiều, làm mất hoàn toàn chân răng, cần phải nhổ bỏ phần răng còn lại và áp dụng phương pháp trồng răng giả để khôi phục.
Biểu Hiện Của Gãy Răng Cửa
Gãy răng cửa có nhiều mức độ khác nhau, từ sứt mẻ nhẹ đến mất hoàn toàn thân răng và chân răng. Tùy vào tình trạng cụ thể, người bị gãy răng có thể gặp một hoặc nhiều biểu hiện dưới đây:
Mất Một Phần Hoặc Toàn Bộ Răng Cửa
- Nếu răng bị gãy nhẹ, chỉ mất đi một góc nhỏ của thân răng, có thể nhận thấy một phần cạnh cắn không còn nguyên vẹn, răng trông ngắn hoặc không đều.
- Trường hợp răng gãy nghiêm trọng, có thể bị mất một phần lớn thân răng, làm lộ ngà răng hoặc thậm chí lộ tủy.
- Khi gãy hoàn toàn cả thân răng, chỉ còn lại chân răng trong nướu hoặc mất luôn cả chân răng, tạo khoảng trống rõ rệt trên cung hàm.
Cảm Giác Đau Nhức, Ê Buốt
- Khi lớp men răng bị vỡ, lớp ngà bên dưới dễ bị kích thích bởi thức ăn nóng, lạnh, chua hoặc ngọt, gây ra cảm giác ê buốt.
- Nếu tủy răng bị lộ, người bệnh có thể gặp cơn đau nhói, đau buốt kéo dài, thậm chí đau tự phát ngay cả khi không có tác động từ bên ngoài.
- Cơn đau có thể lan đến vùng xung quanh như nướu, hàm hoặc thái dương, gây khó chịu trong sinh hoạt hằng ngày.
Chảy Máu Chân Răng Hoặc Mô Nướu Xung Quanh
- Trong trường hợp răng bị gãy do chấn thương mạnh, nướu có thể bị rách hoặc tổn thương, gây chảy máu kéo dài.
- Nếu vết gãy sát tủy răng, có thể có hiện tượng rỉ máu bên trong thân răng.
- Chảy máu có thể đi kèm với sưng đỏ hoặc đau khi chạm vào vùng nướu bị tổn thương.
Sưng Viêm Nướu, Hình Thành Ổ Áp-Xe (Nếu Không Xử Lý Kịp Thời)
- Khi gãy răng nhưng không được điều trị kịp thời, vi khuẩn có thể xâm nhập vào tủy răng gây nhiễm trùng, làm sưng nướu và hình thành túi mủ (áp-xe răng).
- Áp-xe răng có thể gây đau nhức dữ dội, khiến vùng má bị sưng, thậm chí dẫn đến sốt và khó chịu toàn thân.
- Trong một số trường hợp nặng, vi khuẩn từ ổ viêm có thể lan rộng, gây viêm mô tế bào hoặc ảnh hưởng đến sức khỏe.
Khó Khăn Khi Cắn, Nhai Thức Ăn
- Răng cửa đóng vai trò chính trong việc cắn xé thức ăn, do đó khi răng bị gãy, việc ăn uống trở nên bất tiện.
- Đặc biệt, với thực phẩm cứng hoặc dai như thịt, bánh mì cứng, hoặc trái cây như táo, người bệnh có thể cảm thấy khó nhai hoặc đau khi cắn.
- Nếu răng bị gãy nghiêm trọng, việc phân bổ lực nhai không đều có thể làm tăng áp lực lên các răng khác, gây mỏi hàm hoặc đau khớp thái dương hàm.
Ảnh Hưởng Đến Phát Âm, Gây Khó Khăn Khi Giao Tiếp
- Răng cửa đóng vai trò quan trọng trong việc phát âm, đặc biệt là các âm như "s", "x", "th", "v".
- Khi răng cửa bị gãy hoặc mất, luồng hơi và vị trí đặt lưỡi có thể bị thay đổi, làm phát âm không còn rõ ràng, thậm chí có thể bị nói ngọng hoặc khó khăn trong việc diễn đạt.
- Điều này có thể ảnh hưởng đến sự tự tin khi giao tiếp, đặc biệt với những người làm nghề yêu cầu nói nhiều như giáo viên, MC, diễn giả.
Ngoại Hình Bị Ảnh Hưởng, Gây Tác Động Tiêu Cực Đến Tâm Lý Và Sự Tự Tin
- Vì răng cửa nằm ở vị trí trung tâm của nụ cười, khi răng bị gãy, nụ cười có thể mất đi vẻ hài hòa và tự nhiên.
- Nhiều người cảm thấy mất tự tin khi nói chuyện, cười hoặc chụp ảnh vì khoảng trống do răng gãy để lại.
- Ở những trường hợp nghiêm trọng, sự tự ti có thể dẫn đến tâm lý né tránh giao tiếp, ảnh hưởng đến công việc và cuộc sống.
Răng Xô Lệch, Tiêu Xương Hàm (Khi Không Được Điều Trị Lâu Dài)
- Khi răng cửa bị mất trong thời gian dài mà không có biện pháp thay thế, các răng xung quanh có xu hướng dịch chuyển vào khoảng trống, gây lệch khớp cắn.
- Việc mất răng lâu ngày cũng khiến xương hàm bị tiêu dần do không còn lực tác động khi nhai, làm gương mặt có thể bị hóp lại, trông già hơn so với tuổi thật.
- Nếu tình trạng này kéo dài, việc phục hồi răng sau này sẽ khó khăn hơn, thậm chí cần ghép xương để có thể trồng răng giả.

Gãy Răng Cửa Phải Làm Sao?
Việc điều trị gãy răng cửa phụ thuộc vào mức độ tổn thương của răng.
Răng bị gãy nhẹ (không quá 1/3 thân răng)
- Trám răng: Nếu vết gãy nhỏ và chưa ảnh hưởng đến tủy răng, bác sĩ sẽ sử dụng vật liệu trám răng (composite) để phục hồi hình dạng răng. Đây là phương pháp đơn giản, tiết kiệm chi phí nhưng không bền vững nếu răng phải chịu lực nhai lớn.
- Bọc răng sứ: Khi răng bị gãy nhiều hơn 1/3 thân răng, bọc răng sứ là giải pháp giúp bảo vệ phần răng còn lại, tăng cường độ bền và tính thẩm mỹ. Bọc sứ có thể kéo dài tuổi thọ răng lên đến 10-15 năm nếu được chăm sóc tốt.
Răng gãy sâu, sát nướu
- Cấy ghép Implant: Đây là phương pháp hiện đại nhất, giúp thay thế hoàn toàn cả chân răng và thân răng bị mất. Trụ Implant được cấy vào xương hàm, giúp răng giả có độ bền cao, chức năng nhai như răng thật và ngăn ngừa tiêu xương hàm. Thời gian thực hiện kéo dài khoảng 3-6 tháng.
- Làm cầu răng sứ: Nếu không muốn cấy ghép Implant, bệnh nhân có thể chọn cầu răng sứ. Phương pháp này yêu cầu mài hai răng bên cạnh để làm trụ, sau đó gắn cầu răng lên. Tuy nhiên, việc mài răng có thể ảnh hưởng đến sức khỏe của răng trụ về lâu dài.
- Răng giả tháo lắp: Đây là giải pháp tiết kiệm chi phí nhưng không bền vững và cần tháo lắp thường xuyên để vệ sinh. Thích hợp cho người lớn tuổi hoặc những người không thể làm Implant hoặc cầu răng sứ.
Những biện pháp khác giúp cải thiện và phục hồi
- Niềng răng: Nếu gãy răng gây xô lệch vị trí răng khác, có thể kết hợp niềng răng để điều chỉnh lại cấu trúc hàm.
- Ghép xương hàm: Nếu mất răng lâu ngày gây tiêu xương, bác sĩ có thể chỉ định ghép xương trước khi cấy Implant để đảm bảo độ chắc chắn.
- Điều trị tủy: Nếu răng gãy nhưng tủy còn sống, bác sĩ có thể điều trị tủy trước khi phục hình răng để ngăn ngừa viêm nhiễm.

Phòng Ngừa Gãy Răng Cửa
Việc phòng ngừa gãy răng cửa đóng vai trò quan trọng trong việc bảo vệ sức khỏe răng miệng, duy trì thẩm mỹ và chức năng nhai. Dưới đây là những biện pháp hiệu quả giúp bạn hạn chế tối đa nguy cơ gãy răng cửa:
Tránh Cắn Vật Cứng
- Không dùng răng mở nắp chai: Răng cửa không được thiết kế để chịu lực lớn, việc dùng răng để mở nắp chai hoặc vật cứng có thể gây nứt hoặc gãy răng.
- Hạn chế nhai đá lạnh, xương cứng: Nhai đá viên, xương cứng hoặc kẹo cứng có thể làm răng bị nứt hoặc gãy do áp lực quá lớn.
- Tránh cắn móng tay, bút bi: Đây là thói quen xấu không chỉ ảnh hưởng đến răng mà còn làm tăng nguy cơ nhiễm khuẩn miệng.
Sử Dụng Thiết Bị Bảo Hộ Để Bảo Vệ Răng Khi Tham Gia Các Hoạt Động Thể Thao
- Nếu tham gia các môn thể thao đối kháng như bóng đá, bóng rổ, quyền anh, võ thuật hoặc trượt ván, bạn nên sử dụng dụng cụ bảo vệ răng (mouthguard). Điều này giúp giảm thiểu tác động mạnh có thể gây chấn thương răng cửa.
- Ngoài ra, khi đạp xe hoặc tham gia các hoạt động có nguy cơ té ngã, bạn cũng nên đội mũ bảo hiểm có phần bảo vệ hàm để bảo vệ vùng mặt và răng.
Khám Nha Khoa Định Kỳ
- Kiểm tra răng miệng ít nhất 6 tháng/lần để phát hiện sớm các vấn đề như sâu răng, viêm tủy hay răng yếu, từ đó có biện pháp điều trị kịp thời.
- Cạo vôi răng định kỳ giúp loại bỏ mảng bám, ngăn ngừa vi khuẩn làm tổn thương răng.
- Hàn trám răng nếu phát hiện các vết nứt nhỏ nhằm ngăn chặn nguy cơ răng bị gãy khi có tác động mạnh.
Bổ Sung Dinh Dưỡng Đầy Đủ
- Tăng cường canxi và vitamin D: Canxi là thành phần quan trọng giúp răng chắc khỏe, còn vitamin D giúp cơ thể hấp thụ canxi tốt hơn. Bạn có thể bổ sung thông qua thực phẩm như sữa, hải sản, rau xanh, đậu nành, trứng, nấm hoặc tắm nắng buổi sáng để tổng hợp vitamin D tự nhiên.
- Cung cấp collagen và magie: Collagen giúp duy trì cấu trúc răng, trong khi magie hỗ trợ quá trình hình thành men răng. Các thực phẩm giàu collagen bao gồm cá hồi, thịt gà, nước hầm xương, còn magie có nhiều trong hạnh nhân, chuối, hạt bí đỏ.
- Uống đủ nước: Nước giúp duy trì độ ẩm miệng, kích thích tiết nước bọt, bảo vệ răng khỏi vi khuẩn gây sâu răng và làm suy yếu men răng.
Tránh Thói Quen Nghiến Răng
- Đeo máng chống nghiến nếu bạn có thói quen nghiến răng khi ngủ để bảo vệ men răng khỏi mài mòn.
- Kiểm soát căng thẳng: Nghiến răng thường liên quan đến căng thẳng, lo lắng. Thực hành các kỹ thuật thư giãn như thiền, yoga, hoặc massage giúp giảm stress.
- Tránh tiêu thụ caffeine và rượu trước khi ngủ vì chúng có thể làm tăng nguy cơ nghiến răng.

Trả lời câu hỏi
Gãy răng cửa có đau không?
Gãy răng cửa có thể gây đau hoặc không, tùy thuộc vào mức độ tổn thương. Nếu răng chỉ bị mẻ một phần nhỏ và chưa ảnh hưởng đến tủy, cảm giác đau có thể không đáng kể. Tuy nhiên, nếu vết gãy lớn làm lộ ngà răng hoặc tủy răng, bạn có thể gặp tình trạng ê buốt, đau nhức, đặc biệt khi ăn uống đồ nóng, lạnh hoặc chua. Trong trường hợp gãy sát nướu, cơn đau có thể kéo dài và ảnh hưởng đến sinh hoạt hàng ngày, đòi hỏi phải có biện pháp điều trị kịp thời.
Gãy răng cửa có niềng răng được không?
Việc niềng răng khi bị gãy răng cửa còn tùy thuộc vào tình trạng răng còn lại. Nếu răng bị gãy nhưng vẫn còn chân răng khỏe mạnh, bác sĩ có thể cân nhắc phục hình bằng cách bọc sứ hoặc trám trước khi tiến hành niềng. Tuy nhiên, nếu răng đã mất hoàn toàn hoặc phần chân răng không đủ vững chắc, niềng răng không thể thực hiện được. Trong trường hợp này, bạn có thể cần cấy ghép Implant hoặc làm cầu răng trước khi quyết định có nên chỉnh nha hay không.
Gãy răng cửa có mọc lại được không?
Răng cửa ở người trưởng thành là răng vĩnh viễn, vì vậy khi bị gãy hoặc mất đi thì không thể tự mọc lại như răng sữa của trẻ em. Nếu răng chỉ bị mẻ nhỏ, bạn có thể phục hồi bằng phương pháp trám hoặc bọc răng sứ. Trong trường hợp mất hoàn toàn răng cửa, các phương án như cấy ghép Implant, làm cầu răng sứ hoặc dùng răng giả tháo lắp sẽ là lựa chọn thay thế phù hợp để đảm bảo thẩm mỹ và chức năng ăn nhai.
Kết Luận
Gãy răng cửa là tình trạng nghiêm trọng, ảnh hưởng đến cả thẩm mỹ và chức năng nhai của răng. Việc điều trị kịp thời sẽ giúp bạn khôi phục lại nụ cười và tránh được những hệ lụy không mong muốn. Nếu bạn gặp tình trạng này, hãy tìm đến nha khoa uy tín để được tư vấn và lựa chọn phương pháp phục hồi phù hợp nhất.
Sản Phẩm True Nutrition
Khuyến mãi mỗi ngày
Viết bình luận