Hình Ảnh Viêm Nướu Răng: Nhận Biết, Điều Trị và Phòng Ngừa
-
Người viết: Dược Sĩ Vi Thùy Linh
/
Viêm nướu răng là một trong những bệnh lý phổ biến về răng miệng, ảnh hưởng đến sức khỏe và thẩm mỹ của nhiều người. Việc nhận biết sớm các dấu hiệu viêm nướu thông qua hình ảnh và triệu chứng thực tế có vai trò quan trọng trong việc điều trị và ngăn ngừa bệnh trở nặng. Bài viết này cung cấp các thông tin hữu ích về hình ảnh viêm nướu răng, từ cách nhận biết triệu chứng, nguyên nhân đến các phương pháp điều trị và phòng ngừa hiệu quả. Hãy cùng khám phá để bảo vệ sức khỏe răng miệng của bạn tốt nhất!
Viêm Nướu Răng Là Bệnh Gì?
Định Nghĩa
Viêm nướu răng là tình trạng viêm nhiễm tại mô nướu, gây ra các triệu chứng như sưng đỏ, đau nhức và dễ chảy máu. Nếu không được điều trị, bệnh có thể tiến triển thành viêm nha chu, dẫn đến mất răng hoặc các biến chứng nghiêm trọng khác.
Các Mức Độ Viêm Nướu
- Viêm nhẹ: Nướu sưng đỏ, chảy máu khi đánh răng hoặc ăn uống.
- Viêm nặng: Xuất hiện mủ, nướu tụt khỏi chân răng, kèm theo đau nhức nghiêm trọng.
Triệu Chứng Viêm Nướu Răng
Nhận biết các triệu chứng viêm nướu răng sớm giúp ngăn ngừa bệnh trở nặng:
- Nướu sưng đỏ, phồng lên: Đây là dấu hiệu đầu tiên dễ nhận thấy.
- Chảy máu chân răng: Thường xảy ra khi đánh răng hoặc chỉ với một va chạm nhẹ.
- Hơi thở hôi: Miệng có mùi tanh khó chịu, ngay cả khi đã vệ sinh răng miệng.
- Nướu mềm, dễ tụt: Nướu dần tách khỏi răng, tạo khoảng trống giữa răng và nướu.
- Cảm giác khó chịu khi ăn nhai: Răng có cảm giác lỏng lẻo, khớp cắn không còn chính xác.

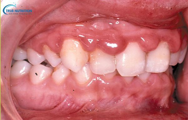
Hình Ảnh Viêm Nướu Răng
Hình ảnh minh họa các triệu chứng phổ biến:
- Nướu sưng đỏ: Đây là dấu hiệu viêm cấp tính, thường kèm theo cảm giác đau nhức và khó chịu.
- Viêm chân răng, có chảy máu: Xuất hiện khi vệ sinh răng miệng không đúng cách, khiến vi khuẩn tấn công sâu vào mô nướu.
- Nướu có mủ, tụt lợi: Biểu hiện của viêm nặng, thường đi kèm với mùi hôi miệng khó chịu và cần can thiệp y khoa khẩn cấp.
- Viêm nướu ở răng hàm trên/hàm dưới: Các vùng răng chịu lực lớn dễ bị tổn thương, gây ảnh hưởng đến khả năng ăn nhai.
Nguyên Nhân Viêm Nướu Răng
Hiểu rõ nguyên nhân gây viêm nướu là bước đầu tiên trong việc phòng ngừa và kiểm soát bệnh lý này. Dưới đây là các yếu tố chính dẫn đến viêm nướu:
Thói quen xấu:
- Hút thuốc lá: Nicotine trong thuốc lá không chỉ làm suy yếu mô nướu mà còn cản trở quá trình hồi phục, khiến vi khuẩn dễ dàng tấn công.
- Vệ sinh răng miệng không đúng cách: Đánh răng không đủ sạch hoặc không sử dụng chỉ nha khoa khiến mảng bám tích tụ, dần hình thành cao răng – nguyên nhân chính gây viêm nướu.
Yếu tố sức khỏe:
- Căng thẳng và lo âu: Stress kéo dài làm suy yếu hệ miễn dịch, tạo điều kiện thuận lợi cho vi khuẩn phát triển.
- Thay đổi nội tiết: Giai đoạn mang thai, dậy thì, hoặc mãn kinh khiến hormone biến động, làm nướu nhạy cảm và dễ viêm hơn.
- Tác dụng phụ của thuốc: Một số thuốc chống co giật, thuốc tránh thai, hoặc thuốc giảm đau gây khô miệng hoặc sưng nướu, làm tăng nguy cơ viêm.
- Bệnh mạn tính: Những người mắc bệnh tiểu đường, HIV/AIDS, hoặc ung thư có hệ miễn dịch suy giảm, khiến nướu dễ bị tổn thương.
Chế độ dinh dưỡng
- Thiếu hụt vitamin C làm giảm khả năng chống viêm của cơ thể.
- Thiếu canxi khiến răng yếu, nướu mất khả năng bám chắc.
Việc nhận thức rõ những nguyên nhân này giúp bạn thực hiện các biện pháp phòng ngừa hiệu quả hơn.

Điều Trị Viêm Nướu Răng
Các Phương Pháp Dân Gian
- Dầu dừa: Súc miệng với dầu dừa trong 10-15 phút giúp loại bỏ vi khuẩn và giảm viêm.
- Nước ép lô hội: Ngậm lô hội tươi để làm dịu vùng nướu sưng đỏ.
- Nước lá ổi: Sử dụng nước nấu từ lá ổi súc miệng để diệt khuẩn và làm sạch răng miệng.
Lưu Ý
Các phương pháp này chỉ hỗ trợ giảm triệu chứng tạm thời, không thay thế được các biện pháp điều trị chuyên sâu tại nha khoa.
Điều Trị Tình Trạng Viêm Nướu Răng Tại Nha Khoa
Quy Trình Điều Trị
- Khám tổng quát: Đánh giá mức độ viêm và tình trạng răng miệng tổng thể.
- Loại bỏ mảng bám, lấy cao răng: Sử dụng thiết bị chuyên dụng để làm sạch răng miệng.
- Hướng dẫn vệ sinh răng miệng: Bác sĩ tư vấn cách chăm sóc răng miệng đúng cách tại nhà.
Lợi Ích
- Ngăn chặn căn bệnh tiến triển thành tình trạng viêm nha chu.
- Khôi phục sức khỏe và thẩm mỹ của nướu, răng.

Cách Phòng Ngừa Viêm Nướu Răng
Vệ Sinh Răng Miệng Đúng Cách
- Đánh răng ít nhất khoảng vào 2 lần/ngày, đánh răng với bàn chải mềm.
- Sử dụng chỉ nha khoa & loại nước súc miệng có thể loại bỏ mảng bám.
Duy Trì Chế Độ Ăn Uống Khoa Học
- Bổ sung dinh dưỡng: Thực phẩm giàu vitamin C, canxi và kẽm.
- Hạn chế đồ ngọt: Tránh các thực phẩm chứa nhiều đường và axit.
Thói Quen Tốt
- Thăm khám nha khoa vào 2 lần/năm.
- Tập thể dục đều đặn để có thể tăng cường hệ miễn dịch.
- Tránh căng thẳng
Kết Luận
Việc nhận biết sớm hình ảnh viêm nướu răng thông qua triệu chứng và hình ảnh là chìa khóa để bảo vệ sức khỏe răng miệng. Hãy đến ngay nha khoa nếu bạn phát hiện dấu hiệu bất thường để được tư vấn và điều trị kịp thời. Đồng thời, thực hiện các biện pháp phòng ngừa để duy trì nụ cười khỏe đẹp lâu dài.
Câu Hỏi Thường Gặp
Viêm nướu răng có tự khỏi không?
Câu trả lời là không. Viêm nướu răng không thể tự khỏi mà cần được can thiệp và điều trị đúng cách. Khi bị viêm nướu, vi khuẩn tích tụ trong mảng bám răng và cao răng sẽ tiếp tục tấn công mô nướu, gây tổn thương nghiêm trọng hơn nếu không được loại bỏ.
Nếu bệnh chỉ ở giai đoạn đầu, điều trị có thể đơn giản, như vệ sinh răng miệng kỹ lưỡng và lấy cao răng tại nha khoa. Tuy nhiên, nếu để lâu, viêm nướu có thể tiến triển thành viêm nha chu, ảnh hưởng đến cả xương ổ răng và dây chằng quanh răng, thậm chí dẫn đến mất răng vĩnh viễn.
Chi phí điều trị tình trạng viêm nướu tại nha khoa?
Chi phí điều trị viêm nướu phụ thuộc vào các yếu tố như:
- Mức độ viêm nhiễm: Viêm nhẹ thường chỉ cần lấy cao răng, làm sạch mảng bám với chi phí thấp. Ngược lại, nếu bệnh đã tiến triển thành viêm nha chu, chi phí điều trị sẽ cao hơn, có thể bao gồm phẫu thuật nướu hoặc ghép mô.
- Phương pháp điều trị: Các kỹ thuật tiên tiến như điều trị bằng laser hoặc cạo vôi răng bằng sóng siêu âm thường có chi phí cao hơn so với phương pháp truyền thống.
- Địa điểm nha khoa: Chi phí tại các trung tâm nha khoa lớn hoặc phòng khám ở thành phố thường cao hơn so với khu vực nông thôn.
Để biết chi phí chính xác, người bệnh cần đến nha khoa để được thăm khám và tư vấn. Mức giá có thể dao động từ vài trăm nghìn đến vài triệu đồng, tùy thuộc vào tình trạng cụ thể.
Viêm nướu răng liệu có nguy hiểm không?
Viêm nướu răng là bệnh lý nguy hiểm nếu không được điều trị kịp thời. Ở giai đoạn đầu, viêm nướu gây các triệu chứng khó chịu như sưng đỏ, chảy máu và hôi miệng. Tuy nhiên, nếu để bệnh kéo dài mà không can thiệp, các biến chứng có thể xảy ra, bao gồm:
- Tiến triển thành viêm nha chu: Vi khuẩn không chỉ tấn công nướu mà còn lan sâu xuống dưới, phá hủy xương ổ răng và mô mềm quanh răng.
- Mất răng vĩnh viễn: Khi viêm nha chu nặng, răng không còn điểm bám vững chắc, dẫn đến răng lung lay và rụng.
- Nguy cơ ảnh hưởng toàn thân: Vi khuẩn từ viêm nướu có thể xâm nhập vào máu, gây các vấn đề như viêm nội tâm mạc, bệnh tim mạch hoặc ảnh hưởng đến bệnh tiểu đường.
Để tránh những biến chứng nguy hiểm này, người bệnh cần chủ động thăm khám nha khoa khi phát hiện dấu hiệu viêm nướu. Điều trị sớm không chỉ giúp bảo vệ sức khỏe răng miệng mà còn duy trì chất lượng cuộc sống tốt hơn.
Sản Phẩm True Nutrition
Khuyến mãi mỗi ngày
Viết bình luận