Nguyên Nhân Bệnh Mòn Cổ Răng: Những Thói Quen Hằng Ngày Bạn Cần Thay Đổi
-
Người viết: Dược Sĩ Ái Minh
/
Cách Xử Lý Mòn Cổ Chân Răng là một vấn đề quan trọng không thể xem nhẹ, bởi tình trạng mòn cổ chân răng không chỉ ảnh hưởng đến thẩm mỹ mà còn gây ra đau nhức, ê buốt khi ăn uống. Việc phát hiện sớm và có phương pháp điều trị đúng cách sẽ giúp bảo vệ sức khỏe răng miệng, ngăn ngừa những biến chứng nghiêm trọng. Hãy cùng tìm hiểu cách giải quyết hiệu quả tình trạng này.
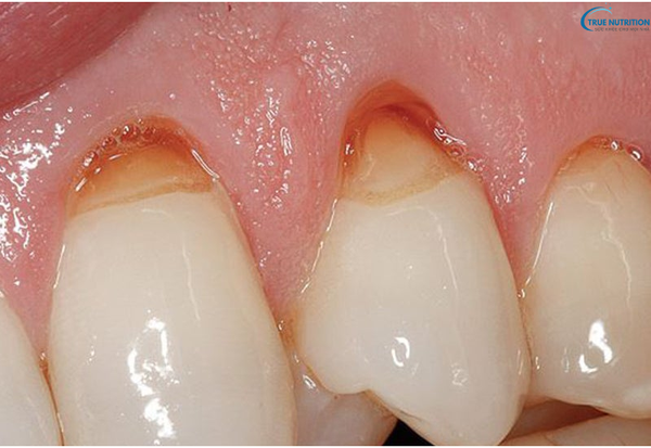
Mòn cổ răng là gì?
Mòn cổ răng là một tình trạng tổn thương xảy ra ở vùng cổ của răng, nơi tiếp giáp giữa thân răng và chân răng. Đây là tình trạng men và ngà răng ở vùng này bị bào mòn, dẫn đến mất đi lớp bảo vệ tự nhiên của răng, làm lộ ra lớp ngà và gây ảnh hưởng đến sức khỏe răng miệng. Mòn cổ răng không chỉ ảnh hưởng đến thẩm mỹ mà còn có thể gây ra nhiều vấn đề sức khỏe như ê buốt, viêm nhiễm, tủy răng chết, và thậm chí là gãy răng nếu không được điều trị kịp thời.

Nguyên nhân mòn cổ răng
Mòn cổ răng không phải do vi khuẩn gây ra như các bệnh lý răng miệng khác mà chủ yếu xuất phát từ những thói quen xấu trong việc chăm sóc và bảo vệ răng miệng hàng ngày. Dưới đây là các nguyên nhân chủ yếu gây mòn cổ răng:
- Vệ sinh răng miệng không đúng phương pháp
Một trong những nguyên nhân hàng đầu gây mòn cổ răng là thói quen đánh răng không đúng cách. Việc sử dụng bàn chải cứng và chải răng quá mạnh, hay chải răng theo hướng ngang sẽ làm tổn thương lớp men răng, khiến men bị mòn dần. Đặc biệt, nếu bạn không chú ý đến cách chải răng tại khu vực cổ răng – nơi tiếp giáp giữa chân răng và thân răng – thì đây chính là vị trí dễ dàng bị mài mòn nhanh chóng, gây ra mòn cổ răng.
- Chế độ ăn uống không hợp lý
Chế độ ăn uống có ảnh hưởng lớn đến sự hình thành và bảo vệ men răng. Các thực phẩm có tính axit cao như trái cây có vị chua, đồ uống có gas (Coca-Cola, Sprite, v.v.), các thực phẩm chứa nhiều đường là nguyên nhân chính gây ra mòn cổ răng. Axit trong những thực phẩm này sẽ làm suy yếu lớp men bảo vệ răng, khiến men răng bị ăn mòn dần.
- Sử dụng thực phẩm cứng, dai hoặc chua
Thói quen nhai thực phẩm quá cứng, dai hoặc các loại đồ ăn có tính axit lâu dài cũng sẽ làm cổ răng bị mòn nhanh chóng. Đặc biệt, những người có thói quen nhai đá, nhai vật cứng hoặc thực phẩm có tính axit cao sẽ có nguy cơ mòn cổ răng cao hơn.
- Khớp cắn không đều, răng mọc không đúng vị trí
Răng mọc lệch và khớp cắn không đều có thể dẫn đến việc áp lực tác động lên cổ răng không đồng đều. Điều này khiến cho phần cổ răng dễ bị mài mòn hơn so với các răng khác. Thêm vào đó, lợi ở khu vực răng mọc lệch thường mỏng hơn, dễ bị tụt và làm lộ phần cổ răng.
- Chịu tác động từ các yếu tố bên ngoài môi trường
Một yếu tố ít người để ý là việc tiếp xúc với môi trường có chứa acid. Các công nhân làm việc trong môi trường có hơi axit như sản xuất ắc quy chì có thể gặp phải tình trạng mòn cổ răng. Bụi hoặc hơi axit trong không khí sẽ bào mòn dần men răng, đặc biệt là ở vùng cổ răng.
- Yếu tố di truyền
Một số người có thể dễ dàng gặp phải tình trạng mòn cổ răng do yếu tố di truyền. Nếu bạn có gia đình có tiền sử về răng miệng yếu, hoặc cấu trúc men răng mỏng, bạn sẽ dễ dàng gặp phải tình trạng này. Ngoài ra, một số bệnh lý di truyền cũng làm cho răng dễ mòn hơn, chẳng hạn như rối loạn hình thành men răng.
Biểu hiện của mòn cổ răng
Ban đầu, mòn cổ răng chỉ là những vết rãnh nhỏ ở cổ răng sát lợi, mà bạn có thể nhận thấy bằng mắt thường hoặc thông qua dụng cụ thăm khám của nha sĩ. Tuy nhiên, khi tình trạng mòn cổ răng tiến triển, các biểu hiện sẽ rõ rệt hơn và có thể gây ra những triệu chứng khó chịu.
- Ở giai đoạn ban đầu: Chưa xuất hiện cảm giác đau đớn
Ở giai đoạn đầu, bạn có thể chỉ nhận thấy sự xuất hiện của các vết rãnh nhỏ ở cổ răng, không gây đau đớn hay cảm giác khó chịu. Mòn cổ răng ở giai đoạn này thường không gây ảnh hưởng đến cuộc sống hàng ngày và bạn có thể chưa cảm thấy bất kỳ sự thay đổi nào về cảm giác ăn uống.
- Giai đoạn tiếp theo: Ê buốt và khó chịu
Khi mòn cổ răng tiến triển, các vết mòn sẽ to dần và có hình chữ V. Đây là lúc bạn bắt đầu cảm nhận được sự ê buốt khi ăn đồ nóng, lạnh hoặc chua. Cảm giác ê buốt sẽ xuất hiện rõ rệt hơn khi đánh răng hoặc khi hít gió lạnh. Lợi có thể bắt đầu tụt xuống, làm lộ phần chân răng, khiến tình trạng ê buốt trở nên trầm trọng hơn.
- Giai đoạn nghiêm trọng: Đau đớn, viêm nhiễm
Nếu không được điều trị kịp thời, mòn cổ răng có thể tiến triển đến mức ảnh hưởng đến tủy răng. Tủy răng có thể bị viêm nhiễm, dẫn đến đau đớn, viêm nhiễm cuống răng, thậm chí là gãy răng. Lúc này, việc điều trị sẽ trở nên khó khăn và tốn kém hơn nhiều.

Vì sao cần chữa mòn cổ răng?
Mòn cổ răng không chỉ gây mất thẩm mỹ mà còn có thể gây ra các biến chứng nghiêm trọng nếu không được chữa trị kịp thời. Việc chữa trị sớm không chỉ giúp bảo vệ sức khỏe răng miệng mà còn giúp bạn bảo tồn được hàm răng và tránh phải đối mặt với các vấn đề nghiêm trọng hơn.
- Ngăn ngừa các rủi ro nghiêm trọng có thể xảy ra
Nếu không điều trị kịp thời, mòn cổ răng có thể dẫn đến các biến chứng như sâu răng, viêm tủy răng, hoặc viêm nhiễm cuống răng. Những vấn đề này không chỉ gây đau đớn mà còn có thể ảnh hưởng đến sức khỏe toàn thân.
- Loại bỏ cảm giác ê buốt
Mòn cổ răng có thể gây ra cảm giác ê buốt mỗi khi ăn uống hoặc sinh hoạt. Việc điều trị kịp thời sẽ giúp loại bỏ cảm giác khó chịu này, giúp bạn ăn uống thoải mái và không gặp phải sự khó chịu mỗi khi vệ sinh răng miệng.
- Bảo vệ thẩm mỹ hàm răng
Răng bị mòn cổ không chỉ làm mất thẩm mỹ mà còn gây ra sự tự ti trong giao tiếp. Việc điều trị sớm giúp bảo vệ và phục hồi cấu trúc răng, giúp cải thiện vẻ ngoài của hàm răng, mang lại sự tự tin cho bạn.
- Giảm chi phí điều trị
Việc phát hiện mòn cổ răng và chữa trị từ giai đoạn đầu sẽ tiết kiệm chi phí điều trị rất nhiều so với việc để tình trạng trở nên nghiêm trọng. Điều trị càng sớm, chi phí sẽ càng thấp và đơn giản.

Cách chữa mòn cổ răng hiệu quả
Mòn cổ răng có thể điều trị được nếu phát hiện và điều trị sớm. Tùy vào mức độ mòn cổ răng, các phương pháp điều trị có thể khác nhau:
- Giai đoạn đầu: Sử dụng vật liệu hàn răng
Ở giai đoạn đầu, khi mòn cổ răng chỉ mới bắt đầu và chưa ảnh hưởng đến tủy răng, phương pháp điều trị chủ yếu là hàn răng. Nha sĩ sẽ loại bỏ phần tổ chức răng bị mòn, sau đó sử dụng vật liệu hàn phù hợp để lấp kín vết mòn. Vật liệu này có màu sắc giống với màu răng tự nhiên, giúp phục hồi chức năng răng và giữ lại thẩm mỹ.
- Giai đoạn sau: Điều trị tủy và bọc chụp
Khi mòn cổ răng đã ảnh hưởng đến tủy răng, nha sĩ sẽ phải thực hiện điều trị tủy. Sau đó, răng cần được tạo hình lại và bảo vệ bằng một chiếc chụp răng. Chụp răng giúp bảo vệ phần răng còn lại, ngăn ngừa tình trạng mòn tiếp diễn và phục hồi chức năng ăn nhai.

Phòng ngừa mòn cổ răng
Để phòng ngừa mòn cổ răng, bạn cần thực hiện một số thói quen tốt trong việc chăm sóc răng miệng:
- Đánh răng đúng cách
Một trong những nguyên nhân chính gây mòn cổ răng là việc đánh răng không đúng cách, đặc biệt là việc sử dụng lực quá mạnh hoặc bàn chải quá cứng. Để phòng ngừa mòn cổ răng, bạn cần đảm bảo rằng việc đánh răng của mình đúng kỹ thuật và không gây tổn thương cho răng và lợi.
- Chọn kem đánh răng chứa fluoride để sử dụng
Fluoride là thành phần quan trọng trong kem đánh răng giúp bảo vệ men răng, làm răng chắc khỏe hơn và ngăn ngừa sâu răng. Sử dụng kem đánh răng có chứa fluoride không chỉ giúp bảo vệ răng khỏi sự tấn công của vi khuẩn, mà còn giúp làm giảm nguy cơ mòn cổ răng do sự tiếp xúc với các axit trong thức ăn hoặc đồ uống.
- Thường xuyên dùng chỉ nha khoa để vệ sinh các kẽ răng
Chỉ tơ nha khoa là một công cụ quan trọng không thể thiếu trong quá trình vệ sinh răng miệng hàng ngày. Đánh răng chỉ làm sạch được các bề mặt ngoài và mặt nhai của răng, nhưng không thể loại bỏ thức ăn thừa và mảng bám trong các kẽ răng.
- Hạn chế dùng bàn chải cứng hoặc chải răng quá mạnh
Như đã đề cập, việc sử dụng bàn chải quá cứng hoặc đánh răng quá mạnh là một trong những nguyên nhân chính gây mòn cổ răng. Hãy chọn bàn chải mềm và thay thế bàn chải mới sau khoảng 3 tháng sử dụng để đảm bảo hiệu quả vệ sinh tốt nhất.
- Giảm thiểu việc tiêu thụ thực phẩm có độ axit cao
Thực phẩm có tính axit cao, như trái cây chua (cam, chanh, bưởi), đồ uống có gas (nước ngọt, nước trái cây đóng hộp) hoặc các loại thực phẩm chế biến sẵn, có thể tấn công và làm mòn men răng.
- Khám răng định kỳ
Khám răng định kỳ mỗi 6 tháng là một trong những cách quan trọng để phát hiện sớm các vấn đề về răng miệng, bao gồm mòn cổ răng. Bác sĩ nha khoa sẽ kiểm tra tình trạng của men răng và cảnh báo bạn về các dấu hiệu mòn cổ răng, từ đó đưa ra phương pháp phòng ngừa hoặc điều trị kịp thời.
Làm sạch cao răng: Trong quá trình khám, bác sĩ sẽ làm sạch cao răng và mảng bám, giúp bảo vệ răng khỏi vi khuẩn và các yếu tố gây hại khác.
Tư vấn về thói quen chăm sóc răng miệng: Bác sĩ cũng sẽ hướng dẫn bạn về cách chăm sóc răng miệng đúng cách, giúp bạn tránh được các thói quen gây tổn thương cho răng.
- Cải thiện chế độ dinh dưỡng
Chế độ ăn uống cũng đóng vai trò rất quan trọng trong việc bảo vệ răng khỏi mòn cổ. Bạn cần bổ sung đầy đủ các chất dinh dưỡng để giúp men răng chắc khỏe, bao gồm:
Canxi và vitamin D: Canxi là khoáng chất cần thiết để làm răng chắc khỏe, trong khi vitamin D giúp cơ thể hấp thụ canxi tốt hơn. Bạn có thể tìm thấy canxi trong các thực phẩm như sữa, phô mai, hạt, cá và rau xanh.
Fluoride tự nhiên: Fluoride có trong một số thực phẩm như trà xanh, nước khoáng có fluoride giúp bảo vệ men răng.
Các thực phẩm giàu vitamin C: Vitamin C giúp tăng cường hệ miễn dịch và làm cho lợi khỏe mạnh hơn, giúp ngăn ngừa tình trạng lợi tụt xuống và mòn cổ răng.

Trả lời câu hỏi
Mòn cổ chân răng có nguy hiểm không?
Mòn cổ chân răng là một vấn đề không thể xem nhẹ, bởi nếu không được xử lý kịp thời, tình trạng này có thể gây ra nhiều vấn đề nghiêm trọng như ê buốt, viêm nhiễm lợi, thậm chí là mất răng. Khi lớp men và ngà răng bị mòn đi, răng dễ bị tổn thương và dễ mắc các bệnh lý răng miệng khác, ảnh hưởng đến sức khỏe tổng thể.
Bị mòn cổ chân răng phải làm sao?
Khi phát hiện dấu hiệu mòn cổ chân răng, bạn nên đến nha sĩ để thăm khám và điều trị ngay. Việc điều trị sớm có thể ngăn ngừa tình trạng mòn tiếp tục và bảo vệ răng khỏi các tổn thương nặng hơn. Nha sĩ có thể áp dụng các phương pháp như hàn trám hoặc thậm chí điều trị tủy nếu tình trạng mòn đã lan sâu vào bên trong răng.
Mòn cổ chân răng có trám được không?
Đối với mòn cổ chân răng ở giai đoạn đầu, trám răng là một phương pháp điều trị hiệu quả. Nha sĩ sẽ sử dụng các vật liệu trám đặc biệt để lấp đầy các khe mòn, giúp bảo vệ răng khỏi sự xâm nhập của vi khuẩn và giảm cảm giác ê buốt. Tuy nhiên, nếu tình trạng mòn đã ảnh hưởng đến tủy hoặc gây gãy răng, cần can thiệp các biện pháp điều trị phức tạp hơn như chữa tủy hoặc bọc răng sứ.
Kết luận
Mòn cổ răng là một bệnh lý có thể phòng ngừa và điều trị hiệu quả nếu phát hiện sớm. Việc duy trì thói quen vệ sinh răng miệng đúng cách, ăn uống khoa học và khám răng định kỳ là những yếu tố quan trọng giúp bạn bảo vệ sức khỏe răng miệng. Hãy đến gặp nha sĩ ngay khi có dấu hiệu mòn cổ răng để nhận được lời khuyên và điều trị kịp thời, tránh các biến chứng nghiêm trọng sau này.
Sản Phẩm True Nutrition
Khuyến mãi mỗi ngày
Viết bình luận