Công Ty CP True Nutrition

Bệnh Răng Hàm Mặt: Lời Khuyên Chuyên Gia Về Cách Điều Trị Và Chăm Sóc

Lớp Màng Nhầy Màu Trắng Bên Trong Miệng: Nguyên Nhân, Triệu Chứng và Cách Xử Lý
  • Dược Sĩ Vi Thùy Linh

Lớp Màng Nhầy Màu Trắng Bên Trong Miệng: Nguyên Nhân, Triệu Chứng và Cách Xử Lý

Lớp màng nhầy màu trắng bên trong miệng là hiện tượng thường gặp, có thể xuất hiện do nhiều nguyên nhân khác nhau như nấm miệng, lichen phẳng hay thậm...

Xem thêm
Cách Nhổ Răng Không Đau & An Toàn Nhất Hiện Nay
  • Dược Sĩ Vi Thùy Linh

Cách Nhổ Răng Không Đau & An Toàn Nhất Hiện Nay

Nhổ răng là một trong những thủ thuật nha khoa phổ biến, nhưng nếu không thực hiện đúng cách, có thể gây ra nhiều rủi ro nghiêm trọng. Các vấn...

Xem thêm
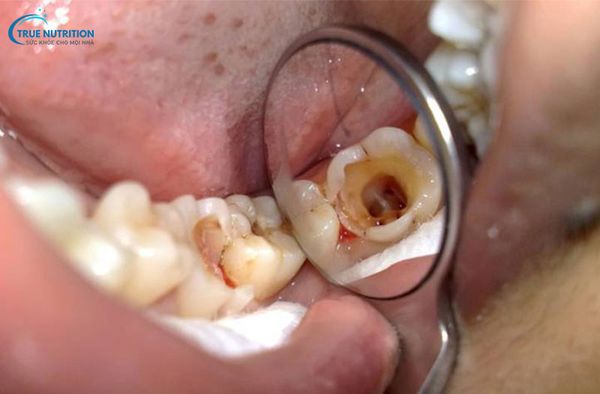
Dấu Hiệu Bệnh Viêm Tủy Răng: Phát Hiện Để Tránh Biến Chứng Nguy Hiểm
  • Dược Sĩ Ái Minh

Dấu Hiệu Bệnh Viêm Tủy Răng: Phát Hiện Để Tránh Biến Chứng Nguy Hiểm

Bệnh viêm tủy răng có chữa được không? Câu trả lời là có. Viêm tủy răng, nếu được phát hiện và điều trị kịp thời, có thể chữa khỏi hoàn...

Xem thêm
Triệu Chứng Sau Khi Lấy Tủy Răng: Phân Biệt Bình Thường Và Bất Thường
  • Dược Sĩ Vi Thùy Linh

Triệu Chứng Sau Khi Lấy Tủy Răng: Phân Biệt Bình Thường Và Bất Thường

Lấy tủy răng là một thủ thuật nha khoa quan trọng, giúp loại bỏ phần tủy bị viêm hoặc tổn thương bên trong răng. Tủy răng, một mô mềm chứa...

Xem thêm
Dưới Lưỡi Nổi Cục Thịt: Nguyên Nhân, Điều Trị, Bệnh Lý
  • Dược Sĩ Vi Thùy Linh

Dưới Lưỡi Nổi Cục Thịt: Nguyên Nhân, Điều Trị, Bệnh Lý

Dưới lưỡi nổi cục thịt là tình trạng khiến nhiều người lo lắng vì có thể liên quan đến những bệnh lý nguy hiểm. Vậy tình trạng này thực chất...

Xem thêm
Khớp Cắn Chuẩn Cách Xác Định - Nhìn Nghiêng Khớp Cắn Chuẩn
  • Dược Sĩ Vi Thùy Linh

Khớp Cắn Chuẩn Cách Xác Định - Nhìn Nghiêng Khớp Cắn Chuẩn

Khớp cắn chuẩn đóng vai trò rất quan trọng trong việc duy trì sức khỏe răng miệng và thẩm mỹ khuôn mặt. Khớp cắn không chỉ ảnh hưởng đến khả...

Xem thêm
Bệnh U Nang Răng Là Gì? Nguyên Nhân, Dấu Hiệu Và Cách Phòng Ngừa
  • Dược Sĩ Ái Minh

Bệnh U Nang Răng Là Gì? Nguyên Nhân, Dấu Hiệu Và Cách Phòng Ngừa

U nang răng là một trong những bệnh lý nha khoa phổ biến nhưng ít được chú ý, bởi ở giai đoạn đầu, u nang răng thường không gây đau...

Xem thêm
Điều Trị Khớp Cắn Ngược: Các Phương Pháp Hiện Đại Đem Lại Nụ Cười Đẹp
  • Dược Sĩ Ái Minh

Điều Trị Khớp Cắn Ngược: Các Phương Pháp Hiện Đại Đem Lại Nụ Cười Đẹp

Niềng răng khớp cắn ngược giá bao nhiêu là câu hỏi được nhiều người quan tâm khi gặp phải tình trạng răng móm, ảnh hưởng đến thẩm mỹ và chức...

Xem thêm
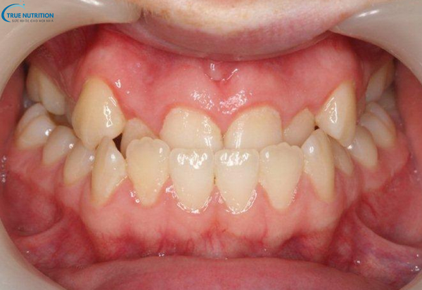
Răng Mọc Lệch, Chen Chúc: Giải Pháp Khắc Phục Tình Trạng Răng Miệng
  • Dược Sĩ Ái Minh

Răng Mọc Lệch, Chen Chúc: Giải Pháp Khắc Phục Tình Trạng Răng Miệng

Chỉnh răng mọc lệch, chen chúc không chỉ giúp cải thiện thẩm mỹ nụ cười mà còn bảo vệ sức khỏe răng miệng lâu dài. Tình trạng này có thể...

Xem thêm
Cách Trị Răng Xỉn Màu: Bí Quyết Cho Nụ Cười Trắng Sáng Suốt Cả Ngày
  • Dược Sĩ Ái Minh

Cách Trị Răng Xỉn Màu: Bí Quyết Cho Nụ Cười Trắng Sáng Suốt Cả Ngày

Răng xỉn màu có tẩy trắng được không? Đây là câu hỏi mà nhiều người quan tâm khi gặp phải tình trạng răng không còn sáng bóng. Răng xỉn màu...

Xem thêm
Minivis Chỉnh Nha, Giá, Tác Dụng, Lưu Ý, Thời Gian
  • Dược Sĩ Vi Thùy Linh

Minivis Chỉnh Nha, Giá, Tác Dụng, Lưu Ý, Thời Gian

Cắm minivis là một phương pháp phổ biến trong niềng răng, giúp neo giữ các răng về vị trí đúng. Tuy nhiên, khi thực hiện cắm minivis, bạn cần kiêng...

Xem thêm
Lưỡi Nổi Mụn Thịt Nguy Hiểm Không? Nguyên Nhân, Bệnh Lý?
  • Dược Sĩ Vi Thùy Linh

Lưỡi Nổi Mụn Thịt Nguy Hiểm Không? Nguyên Nhân, Bệnh Lý?

Lưỡi nổi mụn thịt là tình trạng mà nhiều người gặp phải, thường bị nhầm lẫn với nhiệt miệng hoặc loét miệng thông thường. Tuy nhiên, đây có thể là...

Xem thêm
GIỎ HÀNG

Giỏ hàng của bạn trống

TỔNG TIỀN
0₫
Phí vận chuyển sẽ được tính ở trang thanh toán. Bạn cũng có thể nhập mã giảm giá ở trang thanh toán.
back-to-top