U Lympho Không Hodgkin Tế Bào B Lớn Tỏa Rộng Tìm Hiểu Về Căn Bệnh, Nguyên Nhân, Triệu Chứng Và Phương Pháp Điều Trị
-
Người viết: Dược Sĩ Vi Thùy Linh
/
U Lympho Không Hodgkin Tế Bào B Lớn Tỏa Rộng (DLBCL) là một dạng ung thư hệ bạch huyết ác tính, đặc trưng bởi sự phát triển bất thường của tế bào B lympho. Bệnh này chiếm khoảng 30% các trường hợp ung thư lympho không Hodgkin, thường gặp ở người lớn tuổi. DLBCL phát triển nhanh và có thể lan rộng ra ngoài hạch bạch huyết, ảnh hưởng đến các cơ quan như gan, lách và tủy xương. Điều trị bệnh bao gồm hóa trị, liệu pháp miễn dịch và ghép tế bào gốc.
U Lympho Không Hodgkin Tế Bào B Lớn Tỏa Rộng (DLBCL) Là Gì?
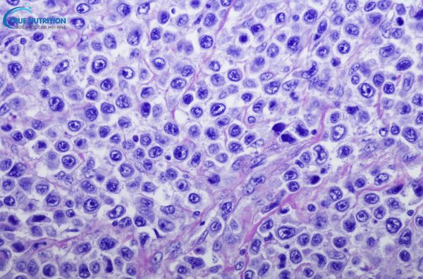
U lympho không Hodgkin (NHL) là một nhóm các bệnh ung thư xuất phát từ hệ thống bạch huyết. Một trong các thể phổ biến nhất của bệnh này là U lympho không Hodgkin tế bào B lớn tỏa rộng (DLBCL). Đây là một dạng u lympho ác tính, đặc trưng bởi sự phát triển không kiểm soát của các tế bào B lympho, một loại tế bào miễn dịch quan trọng trong cơ thể.
DLBCL chiếm khoảng 30% các trường hợp NHL và có thể xảy ra ở mọi độ tuổi, nhưng phổ biến hơn ở người lớn tuổi. Bệnh phát triển nhanh và có thể lây lan ra ngoài hạch bạch huyết, ảnh hưởng đến các cơ quan khác như gan, lách, tủy xương và thậm chí là hệ thống thần kinh.
Nguyên Nhân Và Yếu Tố Nguy Cơ
Mặc dù nguyên nhân chính xác của DLBCL vẫn chưa được xác định rõ ràng, nhưng một số yếu tố có thể làm tăng nguy cơ mắc bệnh:
- Yếu tố di truyền: Một số người có thể có sự thay đổi trong gen làm tăng nguy cơ phát triển DLBCL. Các gen này bao gồm BCL2, MYC, BCL6, và TP53, các yếu tố có liên quan đến sự kiểm soát sự phát triển và chết của tế bào.
- Nhiễm khuẩn và virus: Các nhiễm khuẩn như virus Epstein-Barr (EBV), virus HIV, và vi khuẩn Helicobacter pylori có thể đóng vai trò quan trọng trong việc phát triển bệnh. EBV đặc biệt liên quan đến một số dạng DLBCL.
- Yếu tố môi trường: Tiếp xúc với các chất hóa học như thuốc trừ sâu, thuốc diệt cỏ, và chất độc hại từ môi trường như dioxin cũng có thể làm tăng nguy cơ mắc DLBCL.
- Suy giảm miễn dịch: Những người có hệ miễn dịch bị suy yếu, chẳng hạn như các bệnh nhân HIV/AIDS hoặc những người cấy ghép nội tạng, có nguy cơ cao hơn mắc bệnh này.

Triệu Chứng Của U Lympho Không Hodgkin Tế Bào B Lớn Tỏa Rộng
Các triệu chứng của DLBCL có thể rất đa dạng, tùy thuộc vào vị trí và mức độ lan rộng của khối u.
- Sưng hạch bạch huyết: Hạch bạch huyết sưng là triệu chứng dễ nhận thấy nhất. Hạch có thể xuất hiện ở cổ, nách, hoặc bẹn. Tuy nhiên, khối u có thể phát triển ở các cơ quan khác mà không gây ra sưng hạch bạch huyết.
- Sốt không rõ nguyên nhân: Bệnh nhân có thể bị sốt, cảm giác nóng bức và ra mồ hôi đêm mà không có dấu hiệu nhiễm trùng.
- Giảm cân và mệt mỏi: Mất cân, ăn uống không ngon miệng, và cảm giác mệt mỏi kéo dài là những triệu chứng phổ biến của bệnh.
- Đau và khó thở: Khi u lympho phát triển ở ngực hoặc bụng, bệnh nhân có thể cảm thấy đau ngực, ho, hoặc khó thở.
- Các triệu chứng khác: Tùy thuộc vào sự lan rộng của bệnh, bệnh nhân có thể gặp phải các triệu chứng như đau lưng, tê bì tay chân, hoặc đau bụng.
Chẩn Đoán U Lympho Không Hodgkin Tế Bào B Lớn Tỏa Rộng
Việc chẩn đoán DLBCL đòi hỏi phải thực hiện một loạt các xét nghiệm và kiểm tra để xác định sự hiện diện của tế bào ung thư và mức độ lan rộng của bệnh. Các phương pháp chẩn đoán bao gồm:
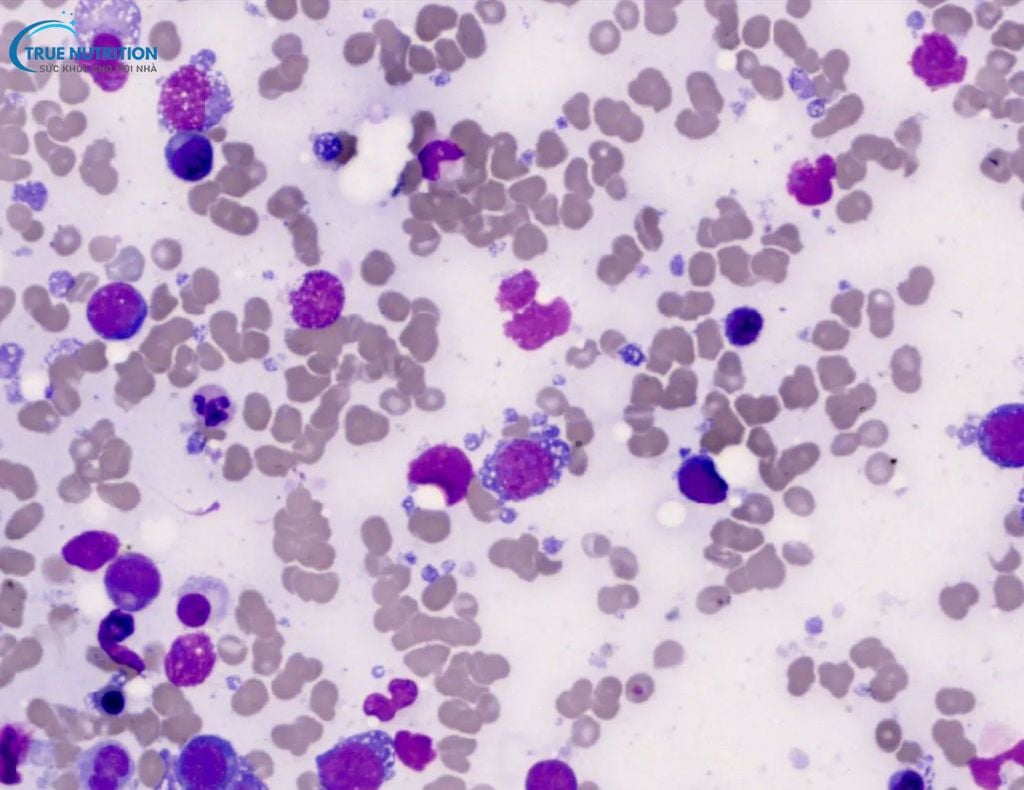
- Sinh thiết hạch bạch huyết: Là xét nghiệm quan trọng nhất để xác nhận sự hiện diện của u lympho. Sinh thiết sẽ lấy mẫu mô từ hạch bạch huyết bị sưng để kiểm tra dưới kính hiển vi.
- Xét nghiệm máu: Các xét nghiệm máu từ đó có thể giúp đánh giá được tình trạng sức khỏe tổng thể của bệnh nhân và xác định các dấu hiệu viêm nhiễm, thiếu máu hoặc nhiễm trùng.
- Chẩn đoán hình ảnh: Các phương pháp như CT scan, PET scan, và MRI giúp xác định mức độ lan rộng của bệnh, bao gồm những khu vực ngoài hạch bạch huyết mà u lympho có thể đã xâm nhập.
- Phân giai đoạn bệnh: DLBCL được phân thành các giai đoạn từ I đến IV tùy thuộc vào mức độ lan rộng. Việc xác định bệnh nhân ở giai đoạn bệnh là rất quan trọng để lựa chọn được phương pháp điều trị phù hợp.

Phương Pháp Điều Trị U Lympho Không Hodgkin Tế Bào B Lớn Tỏa Rộng
DLBCL là một căn bệnh có thể tiến triển nhanh chóng, do đó, việc điều trị kịp thời là rất quan trọng.
Hóa trị (R-CHOP)
R-CHOP là liệu pháp hóa trị tiêu chuẩn cho hầu hết các bệnh nhân mắc DLBCL. Liệu pháp này kết hợp năm loại thuốc hóa trị khác nhau: Rituximab, Cyclophosphamide, Doxorubicin, Vincristine, và Prednisone. Đây là phương pháp điều trị hiệu quả và giúp cải thiện tỷ lệ sống sót cho bệnh nhân.
Liệu Pháp Ghép Tế Bào Gốc
Trong trường hợp bệnh nhân bị tái phát hoặc không đáp ứng với hóa trị ban đầu, ghép tế bào gốc có thể được xem xét như một lựa chọn điều trị. Phương pháp này giúp phục hồi tủy xương và hệ thống miễn dịch sau khi hóa trị mạnh mẽ.
Liệu Pháp Kháng Thể Monoclonal (Polatuzumab Vedotin)
Đây là liệu pháp điều trị mới, đặc biệt hiệu quả cho những bệnh nhân có DLBCL tái phát hoặc không đáp ứng với hóa trị. Polatuzumab vedotin kết hợp khả năng tấn công trực tiếp các tế bào ung thư với việc tăng cường khả năng miễn dịch của cơ thể.
Liệu Pháp Tế Bào CAR-T
Liệu pháp tế bào CAR-T (tế bào T chimeric antigen receptor) là một phương pháp điều trị mới, trong đó tế bào T của bệnh nhân được điều chỉnh gen để nhận diện và tiêu diệt tế bào ung thư. Đây là một lựa chọn đầy hứa hẹn cho những bệnh nhân không đáp ứng với các phương pháp điều trị truyền thống.
Triển Vọng Và Tiên Lượng Điều Trị
Với sự phát triển của các phương pháp điều trị hiện đại, tỷ lệ sống sót cho bệnh nhân DLBCL đã được cải thiện đáng kể. Tỷ lệ sống sau 5 năm cho bệnh nhân ở giai đoạn I và II có thể lên đến 70-80%. Tuy nhiên, đối với những bệnh nhân ở giai đoạn III và IV, tỷ lệ sống sót có thể thấp hơn, tùy thuộc vào các yếu tố như sức khỏe tổng thể và sự đáp ứng với điều trị.
Phòng Ngừa U Lympho Không Hodgkin Tế Bào B Lớn Tỏa Rộng
Mặc dù không có cách nào để hoàn toàn ngăn ngừa DLBCL, nhưng một số biện pháp có thể giúp giảm nguy cơ mắc bệnh:
- Hạn chế tiếp xúc với hóa chất độc hại: Tránh tiếp xúc với thuốc trừ sâu, thuốc diệt cỏ, và các chất độc hại khác.
- Duy trì sức khỏe tốt: Cải thiện hệ miễn dịch bằng cách ăn uống đầy đủ, tập thể dục đều đặn và tránh căng thẳng.
- Khám sức khỏe định kỳ: Kiểm tra sức khỏe thường xuyên, đặc biệt là đối với những người có yếu tố nguy cơ cao.
Kết Luận
U lympho không Hodgkin tế bào B lớn tỏa rộng (DLBCL) là một bệnh ung thư ác tính nhưng có thể điều trị được nếu phát hiện sớm và điều trị đúng cách. Việc hiểu rõ về nguyên nhân, triệu chứng, và các phương pháp điều trị giúp người bệnh có thể chủ động trong việc bảo vệ sức khỏe của mình. Đồng thời, những tiến bộ trong y học mang lại hy vọng lớn cho bệnh nhân DLBCL, giúp cải thiện chất lượng cuộc sống và tỷ lệ sống sót.

Câu Hỏi Thường Gặp:
U lympho tế bào B lớn lan tỏa sống được bao lâu?
Thời gian sống của bệnh nhân mắc u lympho tế bào B lớn lan tỏa (Diffuse Large B-Cell Lymphoma - DLBCL) phụ thuộc vào nhiều yếu tố, bao gồm giai đoạn bệnh, độ tuổi, sức khỏe tổng quát và phản ứng với điều trị. Tỷ lệ sống sau 5 năm của bệnh nhân mắc DLBCL dao động từ 60-70% nếu phát hiện và điều trị kịp thời. Tuy nhiên, nếu bệnh tái phát hoặc không đáp ứng điều trị, thời gian sống có thể giảm xuống còn dưới 1 năm. Ghép tế bào gốc tự thân và các phương pháp điều trị tiên tiến khác có thể giúp kéo dài thời gian sống, đặc biệt đối với những bệnh nhân có phản ứng tốt với liệu pháp điều trị.
U lympho không Hodgkin tế bào B lớn tỏa rộng là bệnh gì?
U lympho không Hodgkin tế bào B lớn tỏa rộng (Non-Hodgkin Lymphoma - B-cell Diffuse Large) là một dạng ung thư hệ bạch huyết bắt nguồn từ tế bào lympho B, một loại tế bào miễn dịch. Đây là một trong các loại u lympho không Hodgkin phổ biến và có đặc điểm là phát triển nhanh chóng và lây lan rộng trong cơ thể. Bệnh có thể ảnh hưởng đến các hạch bạch huyết, tủy xương, gan, lá lách, thậm chí các cơ quan khác như phổi và dạ dày. Điều trị có thể bao gồm hóa trị, liệu pháp miễn dịch, và trong một số trường hợp, ghép tế bào gốc.
Bị u lympho không nên ăn gì?
Mặc dù không có chế độ ăn đặc biệt cho người mắc u lympho không Hodgkin, bệnh nhân nên tránh một số thực phẩm có thể làm tăng viêm hoặc ảnh hưởng đến hệ thống miễn dịch.
- Thực phẩm chế biến sẵn: Chứa nhiều muối, chất bảo quản, và chất béo không tốt cho sức khỏe.
- Thực phẩm có chứa đường cao: Đường có thể làm tăng mức độ viêm và giảm khả năng miễn dịch.
- Thực phẩm giàu chất béo bão hòa: Có thể làm tăng nguy cơ mắc các bệnh tim mạch, điều này đặc biệt quan trọng khi bệnh nhân đang điều trị ung thư.
- Thực phẩm nhiều chất kích thích: Rượu, caffeine và thực phẩm chứa nhiều chất hóa học có thể gây cản trở hệ thống miễn dịch.
Ung thư lympho là gì?
Ung thư lympho là nhóm bệnh ung thư phát triển từ hệ bạch huyết, một phần quan trọng của hệ miễn dịch. Hệ bạch huyết bao gồm các hạch bạch huyết, tủy xương, lá lách và các tế bào lympho. Có hai loại ung thư lympho chính: Lympho Hodgkin và Lympho không Hodgkin. Lympho Hodgkin hiếm gặp và thường có thể chữa khỏi nếu phát hiện sớm. Trong khi đó, ung thư lympho không Hodgkin có nhiều loại, tốc độ phát triển và mức độ nguy hiểm khác nhau.
U lympho Hodgkin sống được bao lâu?
U lympho Hodgkin (Hodgkin Lymphoma) có tiên lượng tốt nếu được phát hiện và điều trị kịp thời. Tỷ lệ sống sau 5 năm của bệnh nhân Hodgkin là khoảng 85-90%. Tỷ lệ này có thể thấp hơn nếu bệnh đã ở giai đoạn muộn hoặc không phản ứng với điều trị. Tuy nhiên, với các phương pháp điều trị hiện đại, bệnh nhân có thể có khả năng chữa khỏi cao.
Ăn gì để tiêu hạch cổ?
Mặc dù không có chế độ ăn đặc hiệu để "tiêu hạch", chế độ dinh dưỡng hợp lý có thể giúp hỗ trợ hệ miễn dịch và sức khỏe tổng thể. Các thực phẩm giàu chất chống oxy hóa như trái cây (dâu, cam, quýt), rau xanh (bông cải xanh, rau cải), và thực phẩm giàu omega-3 (cá hồi, hạt chia) có thể giúp giảm viêm và hỗ trợ sức khỏe hạch bạch huyết. Hơn nữa, các thực phẩm giàu vitamin C và D cũng rất hữu ích trong việc tăng cường hệ miễn dịch.
Nổi hạch không nên ăn gì?
Khi bị nổi hạch, nên tránh các thực phẩm gây viêm hoặc làm suy yếu hệ miễn dịch.
- Thực phẩm nhiều đường và tinh bột: Những thực phẩm này có thể làm tăng mức độ viêm trong cơ thể.
- Thực phẩm chiên rán và có chất béo không lành mạnh: Chúng có thể làm giảm khả năng hoạt động của hệ miễn dịch.
- Thực phẩm chứa chất kích thích: Như rượu và caffeine, có thể ảnh hưởng đến chức năng miễn dịch và làm trầm trọng thêm tình trạng viêm.
Sản Phẩm True Nutrition
Khuyến mãi mỗi ngày
Viết bình luận