Cách Chữa Bệnh Lang Ben: Giải Pháp Đúng Đắn Cho Làn Da Khỏe Mạnh
-
Người viết: Dược Sĩ Ái Minh
/
Cách phòng tránh bệnh lang ben là điều mà nhiều người quan tâm, bởi căn bệnh lang ben không chỉ gây mất thẩm mỹ mà còn dễ tái phát nếu không có biện pháp phòng ngừa đúng cách. Việc hiểu rõ các nguyên nhân và thực hiện các biện pháp vệ sinh, chăm sóc da hợp lý sẽ giúp bạn bảo vệ sức khỏe làn da khỏi nguy cơ mắc bệnh lang ben.
Lang Ben Là Gì?
Lang Ben (hay còn gọi là nấm da lang ben) là một bệnh lý da liễu do nấm Malassezia furfur gây ra. Nấm này phát triển mạnh mẽ trong môi trường có độ ẩm cao và nhiệt độ nóng, đặc biệt là khi tuyến bã nhờn hoạt động mạnh và cơ thể tiết nhiều mồ hôi. Bệnh có thể xuất hiện ở bất kỳ đối tượng nào, nhưng thường gặp nhất là ở thanh thiếu niên, người có làn da dầu hoặc có tình trạng tiết mồ hôi quá mức.
Lang Ben chủ yếu xuất hiện ở những vùng da tiết nhiều mồ hôi như lưng, ngực, cổ, nhưng cũng có thể lan ra các vùng khác như mặt, tay hoặc chân. Bệnh gây ra những vết đốm màu khác nhau, từ trắng đến hồng, nâu trên da, kèm theo vảy nhỏ dễ bong tróc. Mặc dù bệnh không gây ra nguy hiểm cho sức khỏe nhưng lại ảnh hưởng không nhỏ đến thẩm mỹ, khiến người bệnh cảm thấy khó chịu và tự ti.

Nguyên Nhân Bệnh Lang Ben
Bệnh Lang Ben xuất phát từ việc nấm Malassezia furfur tấn công vào lớp sừng của da, gây ra các triệu chứng viêm nhẹ và tổn thương ngoài daNhững yếu tố thúc đẩy sự phát triển của nấm có thể bao gồm:
- Cơ địa da dầu: Những người có tuyến bã nhờn hoạt động mạnh sẽ có nguy cơ mắc Lang Ben cao hơn. Lớp dầu dư thừa trên da là môi trường lý tưởng để nấm Malassezia furfur phát triển.
- Môi trường ẩm ướt và nóng: Lang Ben phát triển mạnh mẽ trong điều kiện thời tiết nóng ẩm. Người sống ở các khu vực có khí hậu như vậy hoặc những ai có công việc phải tiếp xúc với môi trường nhiệt độ cao dễ bị mắc bệnh.
- Ra mồ hôi nhiều: Khi cơ thể ra nhiều mồ hôi, đặc biệt trong các hoạt động thể thao, môi trường da ẩm ướt tạo điều kiện thuận lợi cho nấm phát triển.
- Chế độ dinh dưỡng không hợp lý: Thiếu hụt các vitamin A, E, kẽm và các khoáng chất khác có thể làm suy yếu hệ miễn dịch và khiến cơ thể dễ bị nhiễm nấm.
Sử dụng thuốc hoặc sản phẩm chăm sóc da không đúng cách: Một số loại thuốc có thể làm giảm khả năng miễn dịch của cơ thể, tạo cơ hội cho nấm Malassezia phát triển và gây bệnh.
Triệu Chứng Bệnh Lang Ben
Nhận biết các triệu chứng của Lang Ben rất quan trọng trong việc điều trị kịp thời. Các dấu hiệu của bệnh thường không rõ ràng ngay từ đầu, nhưng khi bệnh phát triển sẽ có các biểu hiện cụ thể như sau:
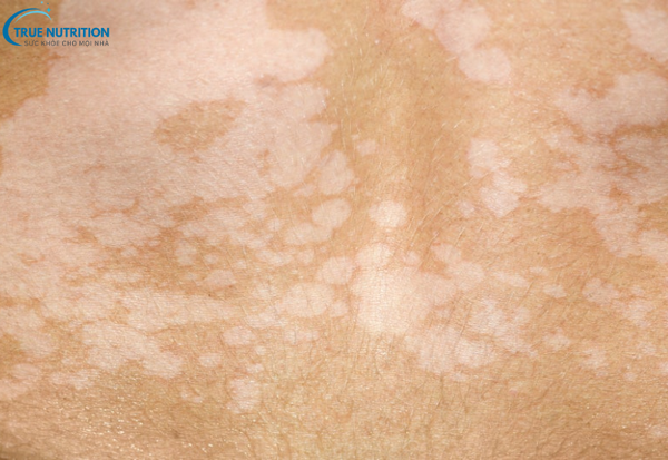
- Đốm da màu thay đổi: Lang Ben bắt đầu với các đốm nhỏ có màu sắc khác biệt so với màu da xung quanh. Các đốm này có thể là màu hồng nhạt, màu trắng hoặc màu nâu, tuỳ thuộc vào màu sắc và tình trạng da của từng người. Ban đầu, các đốm này thường có kích thước nhỏ và không gây đau đớn hay ngứa. Tuy nhiên, khi bệnh phát triển, chúng có thể lớn dần và bắt đầu lan rộng ra, tạo thành những mảng lớn hơn với đường biên rõ ràng, dễ nhận biết..
- Vị trí của các tổn thương: Lang Ben thường xuất hiện ở các vùng da tiết nhiều mồ hôi như ngực, lưng, cổ, đôi khi có thể xuất hiện trên mặt và các bộ phận khác của cơ thể như tay, chân. Các tổn thương có thể có hình dạng bất thường, thường là hình bầu dục hoặc hình đa cung.
- Vảy da dễ bong: Một triệu chứng đặc trưng khác của Lang Ben là sự xuất hiện của vảy cám trên các mảng tổn thương. Các vảy này có kết cấu mịn và dễ bong tróc khi bị cạo nhẹ. Vảy thường nhỏ và mỏng, nhưng có thể tạo thành một lớp phủ nhẹ trên bề mặt các đốm tổn thương. Đặc biệt, khi bệnh nhân cạo nhẹ lên vảy này, lớp vảy sẽ bong ra một cách dễ dàng, tạo thành dấu hiệu đặc trưng gọi là “dấu vảy cám”.
- Ngứa ngáy: Mặc dù Lang Ben thường không gây ra cảm giác đau đớn rõ rệt, nhưng nó có thể gây ngứa ngáy nhẹ hoặc vừa phải. Triệu chứng ngứa này không phải lúc nào cũng xuất hiện, nhưng sẽ trở nên rõ rệt khi cơ thể bị kích thích, đặc biệt là khi bạn ra mồ hôi. Việc mồ hôi tiếp xúc với các vùng tổn thương có thể khiến tình trạng ngứa trở nên tồi tệ hơn, đôi khi gây ra cảm giác khó chịu, râm ran trên da.
- Vết thương lâu lành và dễ tái phát: Lang Ben thường là một bệnh dai dẳng, với các tổn thương khó lành. Mặc dù bệnh có thể bị đẩy lùi nhờ điều trị bằng thuốc kháng nấm, nhưng nếu không có biện pháp chăm sóc phù hợp, bệnh dễ dàng tái phát. Các tổn thương có thể xuất hiện lại sau khi kết thúc đợt điều trị, đặc biệt là khi các yếu tố như độ ẩm, nhiệt độ cao, hoặc việc ra nhiều mồ hôi tiếp tục xuất hiện.
- Phản ứng dưới đèn Wood: Một trong những cách chẩn đoán Lang Ben hiệu quả là chiếu tổn thương dưới đèn Wood – một thiết bị sử dụng ánh sáng tia cực tím (UV) để phát hiện các bệnh lý da liễu. Khi chiếu đèn Wood lên vùng da bị Lang Ben, các tổn thương có thể phản ứng bằng cách phát sáng huỳnh quang màu xanh lá cây. Đây là một dấu hiệu đặc trưng giúp bác sĩ xác định chính xác Lang Ben, từ đó đưa ra phương án điều trị thích hợp.

Cách Điều Trị Lang Ben Là Gì?
Việc điều trị Lang Ben không quá phức tạp, nhưng bệnh có thể tái phát nếu không tuân thủ đúng phương pháp điều trị và phòng ngừa. Các phương pháp điều trị có thể áp dụng cho bệnh nhân mắc Lang Ben bao gồm:
Điều trị tại chỗ:
- Xà phòng trị nấm: Xà phòng Sastid có khả năng làm sạch da và tiêu diệt nấm. Người bệnh nên tắm mỗi ngày với loại xà phòng này, sử dụng đều đặn trong ít nhất ba tuần để đạt tác dụng tốt nhất.
- Kem trị nấm: Sử dụng các loại kem chứa thành phần chống nấm như Ketoconazole, Clotrimazole hoặc Terbinafine giúp ức chế sự phát triển của nấm và làm giảm các triệu chứng của Lang Ben.
Thuốc điều trị toàn thân:
- Thuốc kháng nấm toàn thân: Trong trường hợp bệnh lan rộng hoặc không đáp ứng với điều trị tại chỗ, bác sĩ sẽ chỉ định thuốc kháng nấm toàn thân như Itraconazole, Fluconazole, Gricin. Các thuốc này giúp tiêu diệt nấm toàn diện và ngăn ngừa bệnh tái phát.
- Thuốc giảm ngứa: Nếu ngứa ngáy làm người bệnh cảm thấy khó chịu, bác sĩ có thể chỉ định thuốc kháng histamine để giảm ngứa.
Chăm sóc da đúng cách:
- Vệ sinh da sạch sẽ: Người bệnh cần tắm rửa sạch sẽ mỗi ngày, đặc biệt sau khi ra nhiều mồ hôi. Việc giữ da sạch sẽ sẽ giúp giảm thiểu điều kiện thuận lợi cho nấm phát triển.
- Giữ da khô thoáng: Mặc đồ thoáng mát, không mặc quần áo quá chật, ẩm ướt. Có thể sử dụng các sản phẩm chống mồ hôi để giữ da luôn khô ráo.

Phòng Ngừa Lang Ben
Bệnh Lang Ben có thể tái phát nếu không được phòng ngừa đúng cách. Dưới đây là một số biện pháp giúp bạn ngăn ngừa Lang Ben:
Giữ Vệ Sinh Cơ Thể Sạch Sẽ
Vệ sinh cơ thể là yếu tố quan trọng giúp ngăn ngừa sự phát triển của nấm gây bệnh Lang Ben. Vì nấm Malassezia furfur chủ yếu phát triển trong môi trường ẩm ướt, đặc biệt là khi da tiết nhiều mồ hôi, nên việc giữ cho cơ thể luôn khô ráo và sạch sẽ là yếu tố quyết định giúp giảm nguy cơ bị nhiễm nấm.
- Tắm rửa sạch sẽ: Nên tắm ít nhất một lần mỗi ngày bằng xà phòng diệt khuẩn hoặc xà phòng đặc trị cho người có da dầu. Xà phòng có chứa các thành phần như selenium sulfide, ketoconazole hoặc pyrithione zinc có tác dụng diệt nấm và ngăn ngừa Lang Ben.
- Lau khô cơ thể sau khi tắm: Sau khi tắm, hãy lau khô cơ thể ngay lập tức bằng khăn mềm, đặc biệt là các vùng da dễ tiết mồ hôi như lưng, cổ và ngực.
- Dùng khăn tắm riêng: Để tránh lây nhiễm chéo, mỗi người nên sử dụng một khăn tắm riêng và không chia sẻ khăn tắm với người khác.
Tránh Môi Trường Nóng Ẩm
Môi trường nóng ẩm là điều kiện lý tưởng để nấm Malassezia furfur phát triển mạnh mẽ. Vì vậy, nếu bạn sống ở vùng có khí hậu nóng ẩm hoặc phải làm việc trong môi trường này, bạn nên đặc biệt chú ý đến việc kiểm soát nhiệt độ và độ ẩm của cơ thể. Dưới đây là một số gợi ý giúp phòng ngừa bệnh trong môi trường nóng ẩm:
- Tránh tiếp xúc với ánh nắng trực tiếp trong thời gian dài: Nắng nóng có thể làm tăng nhiệt độ cơ thể, khiến bạn đổ mồ hôi nhiều hơn. Nên hạn chế tiếp xúc với ánh nắng mặt trời, đặc biệt là trong những giờ nắng gắt, từ 10h sáng đến 4h chiều.
- Mặc đồ thông thoáng, dễ thấm hút mồ hôi: Khi ra ngoài hoặc tham gia các hoạt động thể thao, bạn nên chọn trang phục rộng rãi, thoáng mát và làm từ vải cotton hoặc các chất liệu thấm hút mồ hôi tốt. Tránh mặc quần áo bó sát hoặc chất liệu không thấm hút, như vải tổng hợp, vì chúng có thể giữ ẩm và tạo điều kiện thuận lợi cho nấm phát triển.
- Dùng máy điều hòa hoặc quạt: Nếu phải làm việc trong môi trường kín, nóng bức, bạn nên sử dụng máy điều hòa hoặc quạt để giúp làm mát cơ thể và duy trì độ ẩm ở mức thấp.
Thực Hiện Chế Độ Ăn Uống Lành Mạnh
Chế độ ăn uống là một yếu tố quan trọng giúp cơ thể duy trì sức khỏe và phòng ngừa các bệnh lý, trong đó có bệnh Lang Ben. Một chế độ ăn uống khoa học sẽ giúp tăng cường sức đề kháng của cơ thể, giúp da khỏe mạnh và ngăn ngừa sự xâm nhập của nấm.
- Ăn nhiều thực phẩm giàu vitamin và khoáng chất: Các loại thực phẩm giàu vitamin A, E, C và kẽm có tác dụng chống oxy hóa, giúp da khỏe mạnh và tăng cường hệ miễn dịch, từ đó phòng ngừa bệnh Lang Ben hiệu quả. Bạn có thể bổ sung những thực phẩm như trái cây, rau củ, các loại hạt, thịt nạc và cá vào khẩu phần ăn hàng ngày.
- Tránh các thực phẩm dễ gây kích ứng: Một số loại thực phẩm như đồ ăn cay, nóng, chứa nhiều gia vị có thể làm tăng nhiệt độ cơ thể và tạo môi trường lý tưởng cho nấm phát triển. Vì vậy, bạn nên hạn chế tiêu thụ các thực phẩm này để giảm thiểu nguy cơ mắc bệnh.
- Uống đủ nước: Việc uống đủ nước mỗi ngày giúp duy trì độ ẩm cho làn da, ngăn ngừa tình trạng khô da và tăng cường chức năng đào thải độc tố của cơ thể.
Điều Trị Kịp Thời Khi Có Dấu Hiệu
- Nếu nhận thấy những dấu hiệu đầu tiên của bệnh Lang Ben, việc thăm khám và điều trị kịp thời là điều vô cùng quan trọng. Việc điều trị sớm sẽ giúp ngăn ngừa bệnh phát triển và tái phát sau này. Nếu bạn thấy trên da xuất hiện các đốm màu trắng, hồng, nâu kèm theo hiện tượng bong tróc, vảy cám hoặc ngứa ngáy, bạn nên đi khám bác sĩ da liễu để được chẩn đoán và điều trị kịp thời.
Ngoài ra, ngay cả khi bệnh đã được điều trị khỏi, bạn cũng cần duy trì các biện pháp phòng ngừa như vệ sinh cơ thể sạch sẽ, giữ môi trường sống khô ráo và thoáng mát, hạn chế tiếp xúc với ánh nắng gắt và thay đổi lối sống lành mạnh để ngăn ngừa tái phát.

Trả Lời Câu Hỏi
Bệnh lang ben có chữa được không?
Bệnh lang ben hoàn toàn có thể chữa khỏi nếu được phát hiện và điều trị kịp thời. Việc điều trị bệnh lang ben thường bao gồm sử dụng thuốc chống nấm và kết hợp vệ sinh da đúng cách. Tuy nhiên, bệnh có thể tái phát nếu không duy trì thói quen sinh hoạt hợp lý hoặc không tuân thủ chỉ định điều trị từ bác sĩ.
Bệnh lang ben có bị lây không?
Bệnh lang ben có khả năng lây lan, đặc biệt trong môi trường ẩm ướt và khi tiếp xúc trực tiếp với người bị nhiễm. Vi nấm gây bệnh có thể dễ dàng lây lan qua việc tiếp xúc với da hoặc dùng chung đồ cá nhân như khăn tắm, quần áo. Do đó, việc giữ gìn vệ sinh cá nhân và tránh tiếp xúc gần với người bị bệnh là rất quan trọng.
Bệnh lang ben có ngứa không?
Bệnh lang ben thường ít gây ngứa, nhưng trong một số trường hợp, bệnh nhân có thể cảm thấy ngứa nhẹ, nhất là khi cơ thể tiết nhiều mồ hôi. Cảm giác ngứa này chủ yếu xảy ra khi hoạt động thể chất hoặc trong điều kiện nóng bức. Tuy nhiên, các tổn thương da chủ yếu là mất sắc tố và có vảy mịn, ít gây cảm giác khó chịu.
Bệnh lang ben có phải do virus gây ra không?
Bệnh lang ben không phải do virus mà do nấm Malassezia gây ra. Đây là một loại nấm thường sống trên da, nhưng khi có sự thay đổi trong điều kiện cơ thể, như sự tăng tiết mồ hôi, nấm này phát triển quá mức và gây bệnh. Do đó, lang ben là một bệnh nhiễm nấm, không phải nhiễm virus.

Kết Luận
Lang Ben là một bệnh lý da liễu không hiếm gặp, nhưng nếu được phát hiện sớm và điều trị đúng cách, bệnh hoàn toàn có thể khỏi. Tuy nhiên, bệnh có xu hướng tái phát nếu không tuân thủ đúng phương pháp điều trị và phòng ngừa. Do đó, người bệnh cần duy trì vệ sinh da tốt, chăm sóc sức khỏe cơ thể và tuân theo chỉ định của bác sĩ để ngăn ngừa bệnh tái phát và hạn chế ảnh hưởng đến thẩm mỹ và chất lượng cuộc sống.
Sản Phẩm True Nutrition
Khuyến mãi mỗi ngày
Viết bình luận