Bệnh Tan Máu Bẩm Sinh : Cách Phòng Ngừa và Tầm Soát Bệnh Đúng Cách
-
Người viết: Dược Sĩ Nguyễn Đức Toàn
/
Làm sao để phát hiện bệnh tan máu bẩm sinh là câu hỏi quan trọng đối với nhiều gia đình, đặc biệt là những người có yếu tố di truyền. Việc phát hiện sớm bệnh này không chỉ giúp ngăn ngừa những biến chứng nghiêm trọng mà còn hỗ trợ việc điều trị kịp thời, giúp bệnh nhân có thể sống khỏe mạnh hơn.
Hiểu rõ bệnh Tan Máu Bẩm Sinh (Thalassemia) là gì?
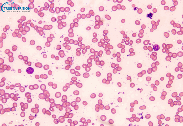
Bệnh Tan máu bẩm sinh, hay còn gọi là Thalassemia, là một nhóm bệnh lý huyết học di truyền, đặc trưng bởi sự thiếu hụt hoặc bất thường trong việc sản xuất hemoglobin – một loại protein trong hồng cầu có nhiệm vụ vận chuyển oxy đến các mô trong cơ thể. Điều này dẫn đến sự phá hủy hồng cầu và gây ra tình trạng thiếu máu. Thalassemia là một bệnh di truyền lặn, có nghĩa là bệnh chỉ xuất hiện khi cả hai bố mẹ đều mang gen bệnh.
Ở người mắc Thalassemia, cấu trúc của hemoglobin bị thay đổi, khiến cho hồng cầu không hoạt động bình thường và dễ bị phá hủy nhanh chóng, dẫn đến thiếu máu mãn tính. Nếu không được điều trị kịp thời, bệnh có thể gây ra nhiều biến chứng nghiêm trọng và ảnh hưởng đến chất lượng cuộc sống của bệnh nhân.
Ý nghĩa thiết yếu của việc phát hiện bệnh sớm
Việc phát hiện bệnh sớm và điều trị kịp thời là rất quan trọng để giảm thiểu những tác động tiêu cực của bệnh Thalassemia. Nếu không được chăm sóc và điều trị đúng cách, bệnh nhân có thể gặp phải những biến chứng nguy hiểm như suy tim, rối loạn nhịp tim, biến dạng xương, và suy giảm chức năng các cơ quan nội tạng. Do đó, việc chẩn đoán và can thiệp sớm có thể giúp bệnh nhân duy trì một cuộc sống bình thường và tránh được những hậu quả nặng nề.

Dịch Tễ Học và Tỷ Lệ Mắc Bệnh Tan Máu Bẩm Sinh (Thalassemia)
Bệnh Tan Máu Bẩm Sinh Trên Toàn Cầu
- Thalassemia là một trong những bệnh lý huyết học di truyền phổ biến nhất trên toàn cầu, đặc biệt ở những khu vực có tỷ lệ mắc bệnh cao như Địa Trung Hải, Trung Đông, châu Á và các quốc gia châu Phi. Theo thống kê, khoảng 7% dân số thế giới mang gen bệnh Thalassemia, trong đó có khoảng 300.000 đến 500.000 trẻ em sinh ra mỗi năm bị mắc bệnh ở mức độ nặng.
- Bệnh Thalassemia ảnh hưởng đến cả nam và nữ, và tỷ lệ mắc bệnh có sự khác biệt rõ rệt giữa các nhóm dân tộc và các khu vực địa lý. Các khu vực có tỷ lệ mắc bệnh cao nhất bao gồm Địa Trung Hải, Trung Đông, và các quốc gia châu Á, trong đó có Việt Nam.
Tình Hình Bệnh Tan Máu Bẩm Sinh Ở Việt Nam
- Tại Việt Nam, bệnh Thalassemia được phát hiện từ những năm 1960 và hiện nay có khoảng 10 triệu người mang gen bệnh. Tỷ lệ mắc bệnh cao hơn ở các dân tộc ít người và ở các vùng miền núi, cao nguyên. Đặc biệt, các dân tộc như Mường, Êđê, Tày, Thái… có tỷ lệ mang gen bệnh lên tới trên 40%, trong khi tỷ lệ này ở người Kinh chỉ khoảng 2 – 4%. Mỗi năm, khoảng 2000 trẻ em sinh ra mắc bệnh Thalassemia, đặc biệt là thể nặng, đe dọa tính mạng.
Nguyên Nhân Dẫn Đến Bệnh Tan Máu Bẩm Sinh (Thalassemia)
Bệnh Học Của Bệnh Thalassemia
Hemoglobin trong hồng cầu có hai thành phần chính: hem và globin. Bệnh Thalassemia xảy ra khi có sự đột biến gen liên quan đến quá trình sản xuất các chuỗi globin trong hemoglobin. Sự thiếu hụt chuỗi globin này khiến cho hồng cầu dễ bị vỡ và gây ra tình trạng thiếu máu. Tùy theo loại gen bị đột biến, bệnh Thalassemia được phân thành hai loại chính:
- α-Thalassemia: Thiếu hụt tổng hợp chuỗi α-globin do đột biến ở gen tổng hợp α-globin. Thể bệnh này có thể gây ra những triệu chứng từ nhẹ đến nặng.
- β-Thalassemia: Thiếu hụt tổng hợp chuỗi β-globin do đột biến ở gen tổng hợp β-globin. Các thể bệnh từ nhẹ đến nặng có thể gây ra thiếu máu nghiêm trọng và cần điều trị bằng truyền máu.

Các Dấu Hiệu Lâm Sàng và Triệu Chứng Của Bệnh Tan Máu Bẩm Sinh
Những Biểu Hiện và Triệu Chứng Thường Gặp
Những triệu chứng đầu tiên của bệnh Thalassemia thường xuất hiện khi trẻ được vài tháng tuổi hoặc trong những năm đầu đời. Các triệu chứng cần quan tâm bao gồm:
- Mệt mỏi, hoa mắt chóng mặt
- Da tái nhợt, sắc mặt xanh xao; có thể xuất hiện vàng da và vàng mắt
- Khó thở khi gắng sức
- Trẻ chậm lớn, phát triển thể chất kém
Ngoài ra, bệnh nhân còn có thể gặp phải tình trạng nước tiểu vàng sẫm do sự phá hủy hồng cầu.
Các Thể Bệnh Thalassemia và Triệu Chứng Cụ Thể
α-Thalassemia:
- Thể nhẹ: Thường không có triệu chứng, chỉ thiếu máu nhẹ.
- Thể rối loạn Hemoglobin H: Vàng da, gan lách to, các biến dạng xương có thể xuất hiện.
- Thể phù thai: Trẻ sinh ra tử vong sớm.
β-Thalassemia:
- Thể nhẹ: Thiếu máu nhẹ, không có triệu chứng nghiêm trọng.
- Thể trung gian: Các triệu chứng thiếu máu xuất hiện rõ rệt khi trẻ lớn hơn, có thể cần truyền máu.
- Thể nặng: Thiếu máu nghiêm trọng, vàng da, mắt, lách to, và các biến chứng như biến dạng xương, suy tim.
Nguy Cơ và Đối Tượng Dễ Mắc Bệnh Tan Máu Bẩm Sinh
Những đối tượng có khả năng mắc bệnh cao
Bệnh Thalassemia chủ yếu ảnh hưởng đến những người sống ở các khu vực có tỷ lệ mắc bệnh cao như Địa Trung Hải, Trung Đông, châu Á, và châu Phi. Ngoài ra, nguy cơ mắc bệnh còn cao hơn đối với những người có tiền sử gia đình mắc bệnh.
Những Đặc Điểm Của Gia Đình Có Người Mắc Bệnh
- Có người thân trong gia đình bị bệnh Thalassemia
- Nguồn gốc tổ tiên từ châu Á, Địa Trung Hải, hoặc châu Phi
- Cả bố và mẹ đều mang gen bệnh

Phòng Ngừa và Tầm Soát Bệnh Tan Máu Bẩm Sinh
Tầm Soát Trước Hôn Nhân và Sàng Lọc Di Truyền
- Tầm soát trước hôn nhân và sàng lọc di truyền là biện pháp quan trọng nhất để ngăn ngừa bệnh Thalassemia. Trong các cặp đôi có kế hoạch kết hôn, việc thực hiện xét nghiệm tầm soát gen bệnh là bước đầu tiên để đánh giá nguy cơ mắc bệnh của cả hai người. Điều này đặc biệt quan trọng đối với những cặp đôi đến từ các cộng đồng có tỷ lệ mang gen bệnh Thalassemia cao (ví dụ như các khu vực Địa Trung Hải, Trung Đông, châu Á và châu Phi).
- Xét nghiệm tầm soát gen bệnh: Trong xét nghiệm tiền hôn nhân, người ta sẽ kiểm tra xem có ai trong số hai bên mang gen bệnh Thalassemia hay không. Thường thì những người mang một bản sao của gen đột biến (gen bệnh) không có biểu hiện lâm sàng của bệnh (còn được gọi là người mang gen bệnh). Tuy nhiên, nếu cả hai vợ chồng đều mang gen bệnh này, tỷ lệ sinh con mắc bệnh Thalassemia nặng sẽ cao hơn (mỗi đứa trẻ có 25% khả năng mắc bệnh Thalassemia nặng).
- Tư vấn di truyền: Nếu cả hai vợ chồng đều mang gen bệnh, họ cần được tư vấn di truyền để hiểu rõ các rủi ro đối với con cái của họ. Các cặp đôi này có thể lựa chọn các biện pháp như thụ tinh ống nghiệm (IVF) kết hợp với chẩn đoán di truyền trước khi cấy phôi (PGD), giúp chọn lọc những phôi khỏe mạnh để tránh sinh con mắc bệnh.
Việc thực hiện tầm soát và tư vấn trước hôn nhân không chỉ giúp giảm thiểu tỷ lệ trẻ sinh ra mắc bệnh Thalassemia, mà còn giúp các cặp vợ chồng đưa ra quyết định thông minh và chủ động về sức khỏe con cái trong tương lai.
Sàng Lọc Trước Sinh
Sàng lọc trước sinh là một biện pháp quan trọng khác trong việc phát hiện sớm bệnh Thalassemia. Những cặp vợ chồng đã được xác định là có nguy cơ cao (khi cả hai đều mang gen bệnh) có thể thực hiện các xét nghiệm sàng lọc trước sinh để kiểm tra sự tồn tại của bệnh ở thai nhi.
- Xét nghiệm máu của mẹ: Khi mang thai, mẹ bầu có thể thực hiện các xét nghiệm máu để kiểm tra nồng độ các chỉ số liên quan đến bệnh lý huyết học, bao gồm xét nghiệm để phát hiện bệnh Thalassemia. Nếu mẹ bầu có kết quả dương tính, bác sĩ sẽ chỉ định các bước tiếp theo để xác định rõ hơn tình trạng sức khỏe của thai nhi.
- Chọc ối và sinh thiết gai nhau: Đây là các phương pháp xét nghiệm chính xác để xác định liệu thai nhi có bị mắc Thalassemia hay không. Chọc ối được thực hiện vào khoảng tuần thứ 15-18 của thai kỳ, lấy một mẫu dịch ối để kiểm tra gen bệnh. Sinh thiết gai nhau có thể thực hiện sớm hơn, từ tuần thứ 10-12 của thai kỳ, lấy một mẫu gai nhau (phần của nhau thai) để làm xét nghiệm.
- Chẩn đoán di truyền trước sinh: Phương pháp này giúp xác định chính xác các gen của thai nhi, từ đó phát hiện các đột biến gen liên quan đến Thalassemia. Chẩn đoán di truyền có thể thực hiện qua các kỹ thuật hiện đại như PCR (phản ứng chuỗi polymerase) hoặc phương pháp phân tích DNA, giúp phát hiện sớm bệnh từ khi thai nhi còn trong bụng mẹ.
Nếu kết quả xét nghiệm trước sinh cho thấy thai nhi mắc bệnh Thalassemia nặng, cha mẹ có thể lựa chọn những phương án phù hợp như tiếp tục thai kỳ hay đình chỉ thai nghén (dựa trên các yếu tố sức khỏe và cá nhân của mỗi gia đình). Việc sàng lọc trước sinh giúp giảm tỷ lệ sinh con mắc bệnh Thalassemia nặng và cải thiện chất lượng cuộc sống của những đứa trẻ sinh ra.
Các phương pháp xác định bệnh tan máu bẩm sinh
Chẩn Đoán Lâm Sàng
- Chẩn đoán bệnh Thalassemia bắt đầu bằng việc thăm khám lâm sàng, chú ý đến các triệu chứng như da xanh xao, thiếu máu, vàng da, lách to, và các biến dạng xương.
Các Xét Nghiệm Cận Lâm Sàng
- Xét nghiệm máu: Tổng phân tích tế bào máu để kiểm tra số lượng hồng cầu và các dấu hiệu thiếu máu.
- Điện di huyết sắc tố: Xác định các dạng huyết sắc tố bất thường.
- Xét nghiệm DNA: Giúp xác định gen đột biến gây bệnh Thalassemia.

Các biện pháp điều trị bệnh tan máu bẩm sinh
Điều Trị Thiếu Máu
Truyền máu định kỳ là phương pháp chính trong việc điều trị bệnh Thalassemia, giúp cung cấp lượng hồng cầu cần thiết cho cơ thể và duy trì sự sống cho bệnh nhân.
Điều Trị Ứ Sắt và Các Biện Pháp Điều Trị Khác
Bệnh nhân Thalassemia thường bị ứ sắt do truyền máu nhiều lần, do đó cần điều trị bằng các thuốc thải sắt như deferasirox hoặc desferrioxamine để giảm thiểu nguy cơ tổn thương gan và tim.
Ghép Tủy Xương - Phương Pháp Điều Trị Hiện Đại
Ghép tủy xương là phương pháp điều trị khả quan nhất hiện nay, giúp thay thế tủy xương bệnh lý bằng tủy khỏe mạnh từ người hiến. Phương pháp này có thể giúp bệnh nhân có thể sống mà không cần truyền máu thường xuyên, nhưng cũng đi kèm với nhiều rủi ro và chi phí cao.
Theo Dõi và Quản Lý Bệnh Tan Máu Bẩm Sinh
Quy Trình Theo Dõi Bệnh Nhân
Bệnh nhân mắc Thalassemia cần được theo dõi thường xuyên để kiểm tra các chỉ số máu, chức năng gan, tim và sắt. Việc theo dõi định kỳ giúp phát hiện sớm các biến chứng và điều chỉnh kế hoạch điều trị kịp thời.
Chăm Sóc Dài Hạn và Phòng Ngừa Biến Chứng
Bệnh nhân Thalassemia cần được chăm sóc lâu dài, bao gồm việc kiểm soát sắt trong cơ thể, điều trị biến chứng, và chăm sóc dinh dưỡng. Điều này giúp bệnh nhân duy trì chất lượng cuộc sống tốt hơn và hạn chế các rủi ro sức khỏe.
Trả lời câu hỏi
Bệnh tan máu bẩm sinh có phải ung thư không?
Bệnh tan máu bẩm sinh, hay còn gọi là thalassemia, không phải là ung thư. Đây là một bệnh lý di truyền ảnh hưởng đến quá trình sản xuất hemoglobin trong hồng cầu, gây ra tình trạng thiếu máu mạn tính. Mặc dù bệnh có thể dẫn đến nhiều biến chứng nghiêm trọng nếu không được điều trị đúng cách, nhưng nó không liên quan đến ung thư hay các bệnh lý ác tính.
Xét nghiệm NIPT có biết bệnh tan máu bẩm sinh không?
Xét nghiệm NIPT (Non-Invasive Prenatal Testing) là một phương pháp sàng lọc trước sinh, chủ yếu được sử dụng để phát hiện các dị tật di truyền như hội chứng Down, hội chứng Edward, hội chứng Patau và một số bất thường nhiễm sắc thể khác. Tuy nhiên, xét nghiệm NIPT không phải là phương pháp chẩn đoán bệnh tan máu bẩm sinh. Để phát hiện thalassemia, các cặp vợ chồng có nguy cơ có thể thực hiện các xét nghiệm gen hoặc xét nghiệm sàng lọc huyết học chuyên sâu như điện di huyết sắc tố hoặc xét nghiệm ADN để xác định khả năng mang gen bệnh.

Kết Luận
Bệnh Tan máu bẩm sinh (Thalassemia) là một bệnh lý huyết học di truyền nghiêm trọng, nhưng với sự phát hiện và điều trị sớm, bệnh nhân có thể sống một cuộc sống bình thường. Các biện pháp phòng ngừa và sàng lọc trước hôn nhân đóng vai trò quan trọng trong việc giảm thiểu tỷ lệ mắc bệnh. Việc hiểu rõ các triệu chứng, phương pháp chẩn đoán và điều trị bệnh sẽ giúp chúng ta có cách tiếp cận hiệu quả trong việc quản lý và chăm sóc người bệnh Thalassemia.
Sản Phẩm True Nutrition
Khuyến mãi mỗi ngày
Viết bình luận