Chỏm Xương Đùi Là Gì? Hoại Tử Chỏm Xương Đùi Là Gì? Dấu Hiệu, Điều Trị, Bài Tập
-
Người viết: Dược Sĩ Vi Thùy Linh
/
Hoại tử chỏm xương đùi là một bệnh lý nghiêm trọng ảnh hưởng đến khả năng vận động của người bệnh. Việc điều trị hoại tử chỏm xương đùi bao gồm nhiều phương pháp như mổ, dùng thuốc chữa hoại tử chỏm xương đùi, và bài tập phục hồi chức năng. Các dấu hiệu hoại tử chỏm xương đùi cần được phát hiện sớm để giảm thiểu nguy hiểm. Điều trị hoại tử chỏm xương đùi có thể bao gồm y học cổ truyền và các biện pháp phẫu thuật, trong đó chi phí mổ hoại tử chỏm xương đùi và các lựa chọn điều trị khác cũng cần được xem xét kỹ lưỡng.
Chỏm Xương Đùi Là Gì?
Định nghĩa: Chỏm xương đùi là phần đầu trên của xương đùi, có hình dạng 2/3 khối cầu, hướng lên trên và vào trong, tham gia cấu tạo nên khớp háng.
Chức năng: Chỏm xương đùi kết hợp với ổ cối của xương chậu tạo thành khớp háng, cho phép các chuyển động linh hoạt của chân.

Hoại tử chỏm xương đùi
Khái niệm:
Hoại tử chỏm xương đùi, hay hoại tử vô khuẩn chỏm xương đùi, là tình trạng thiếu máu nuôi dưỡng dẫn đến hoại tử tổ chức xương và sụn tại vùng chỏm xương đùi.
Nguyên nhân:
- Chấn thương: Trật khớp háng hoặc gãy cổ xương đùi có thể làm gián đoạn cung cấp máu đến chỏm xương đùi, dẫn đến hoại tử.
- Lạm dụng rượu bia và thuốc lá: Sử dụng nhiều rượu bia và thuốc lá có thể gây viêm mạch máu mạn tính, tắc nghẽn mao mạch nuôi dưỡng chỏm xương đùi, dẫn đến hoại tử.
- Sử dụng corticoid kéo dài: Việc lạm dụng corticoid có thể tác động tiêu cực đến tuần hoàn máu, làm tăng nguy cơ hoại tử chỏm xương đùi.
- Bệnh lý tự miễn: Các bệnh như viêm khớp dạng thấp, lupus ban đỏ có thể gây viêm mạch máu, ảnh hưởng đến cung cấp máu cho chỏm xương đùi.
- Bệnh lý tăng đông và tắc mạch tự phát: Tăng nguy cơ hình thành cục máu đông có thể dẫn đến tắc nghẽn mạch máu nuôi dưỡng chỏm xương đùi.
- Bệnh nghề nghiệp: Những người làm việc trong môi trường như thợ mỏ, thợ lặn có thể có nguy cơ cao hơn do tiếp xúc với áp lực và điều kiện làm việc đặc biệt.

Triệu chứng
- Đau nhức khớp háng: Cơn đau thường xuất hiện ở mặt trong vùng bẹn, có thể lan xuống mặt trong đùi và mông. Đau tăng khi vận động & giảm khi nghỉ ngơi.
- Hạn chế tầm vận động khớp háng: Người bệnh có thể gặp khó khăn khi xoay trong, xoay ngoài, dạng hoặc khép khớp háng.
- Biến dạng khớp háng: Ở giai đoạn muộn, có thể thấy khớp háng bị biến dạng, gây khó khăn trong việc đi lại và vận động.
Chẩn đoán và điều trị
Chẩn đoán:
- Lâm sàng: Dựa trên triệu chứng đau khớp háng và hạn chế vận động.
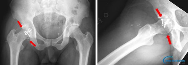
- Cận lâm sàng: Chụp X-quang, MRI hoặc CT scan để xác định mức độ tổn thương của chỏm xương đùi.
Điều trị:
- Điều trị nội khoa: Sử dụng thuốc giảm đau, chống viêm và thuốc giãn cơ để giảm triệu chứng.
- Điều trị ngoại khoa: Trong trường hợp nặng, có thể cần phẫu thuật thay khớp háng để phục hồi chức năng vận động.
Phòng ngừa
- Tránh chấn thương: Thực hiện các biện pháp an toàn trong lao động và sinh hoạt để giảm nguy cơ chấn thương khớp háng.
- Hạn chế lạm dụng rượu bia và thuốc lá: Giảm thiểu việc sử dụng rượu bia và thuốc lá để bảo vệ sức khỏe mạch máu.
- Quản lý bệnh lý nền: Kiểm soát tốt các bệnh lý như viêm khớp dạng thấp, lupus ban đỏ và các bệnh tự miễn khác.
- Sử dụng thuốc theo hướng dẫn: Tránh lạm dụng corticoid và các thuốc có thể ảnh hưởng đến tuần hoàn máu.
Việc hiểu rõ về chỏm xương đùi và các bệnh lý liên quan, đặc biệt là hoại tử chỏm xương đùi, sẽ giúp người bệnh nhận diện sớm và có biện pháp điều trị kịp thời, tránh những biến chứng nguy hiểm.

Câu Hỏi Thường Gặp:
1. Chi phí mổ hoại tử chỏm xương đùi
Chi phí phẫu thuật thay khớp háng do hoại tử chỏm xương đùi tại Việt Nam thường dao động từ 80 đến 100 triệu đồng. Tuy nhiên, chi phí có thể thay đổi tùy theo bệnh viện và loại khớp háng nhân tạo được sử dụng. Nếu có bảo hiểm y tế, bệnh nhân có thể được chi trả một phần chi phí phẫu thuật, giúp giảm bớt gánh nặng tài chính.
2. Bài tập cho người bị hoại tử chỏm xương đùi
Tập luyện thể chất đóng vai trò quan trọng trong việc hỗ trợ điều trị hoại tử chỏm xương đùi. Các bài tập nhẹ nhàng giúp duy trì sức mạnh cơ bắp xung quanh khớp háng, cải thiện sự linh hoạt và giảm đau.
- Tư thế cây cầu: Nằm ngửa, co gối và đặt lòng bàn chân lên sàn. Từ từ nâng hông lên, giữ trong vài giây, sau đó hạ xuống. Lặp lại 10-15 lần.
- Đá chân trước - sau: Đứng thẳng, giữ thăng bằng, đá chân ra trước và sau theo chiều ngang, mỗi bên 10 lần.
- Nâng chân bên hông: Nằm nghiêng, nâng chân trên lên và hạ xuống, lặp lại 10-15 lần mỗi bên.
Trước khi bắt đầu, nên tham khảo ý kiến bác sĩ hoặc chuyên gia vật lý trị liệu để đảm bảo an toàn và hiệu quả.
3. Hoại tử chỏm xương đùi có chữa được không?
Hoại tử chỏm xương đùi có thể điều trị được nếu phát hiện và can thiệp sớm. Phương pháp điều trị bao gồm:
- Điều trị nội khoa: Sử dụng thuốc giảm đau, chống viêm và thuốc giãn cơ để giảm triệu chứng.
- Vật lý trị liệu: Thực hiện các bài tập giúp cải thiện chức năng khớp và giảm đau.
- Phẫu thuật: Trong trường hợp nặng, có thể cần phẫu thuật thay khớp háng để phục hồi chức năng vận động.
4. Thuốc chữa hoại tử chỏm xương đùi?
Việc sử dụng thuốc trong điều trị hoại tử chỏm xương đùi nhằm giảm đau, chống viêm và hỗ trợ quá trình lành thương.
- Thuốc giảm đau: Ibuprofen, Paracetamol.
- Thuốc chống viêm không steroid (NSAIDs): Diclofenac, meloxicam.
- Thuốc giãn cơ: Methocarbamol, tizanidine.
Việc sử dụng thuốc cần tuân theo hướng dẫn của bác sĩ để đảm bảo được an toàn và cả hiệu quả.
5. Điều trị hoại tử chỏm xương đùi bằng y học cổ truyền
Y học cổ truyền có nhiều phương pháp hỗ trợ điều trị hoại tử chỏm xương đùi, bao gồm:
- Châm cứu: Kích thích các huyệt đạo giúp giảm đau từ đó cải thiện tuần hoàn máu.
- Xoa bóp bấm huyệt: Giúp thư giãn cơ bắp, giảm căng thẳng và đau nhức.
- Sử dụng thuốc thảo dược: Một số bài thuốc có tác dụng bổ huyết, thông kinh lạc, hỗ trợ điều trị hoại tử xương.
Trước khi áp dụng, nên tham khảo ý kiến bác sĩ chuyên khoa để đảm bảo an toàn.
6. Dấu hiệu hoại tử chỏm xương đùi
Các dấu hiệu thường gặp của hoại tử chỏm xương đùi bao gồm:
- Đau khớp háng: Đau âm ỉ hoặc dữ dội, đặc biệt khi vận động hoặc chịu trọng lượng cơ thể.
- Hạn chế vận động: Khó khăn khi di chuyển, đi lại hoặc thay đổi tư thế.
- Teo cơ: Cơ bắp xung quanh khớp háng có thể bị teo nhỏ do ít vận động.
Nếu có các triệu chứng trên, nên đến cơ sở y tế để được chẩn đoán và điều trị kịp thời.
7. Cách điều trị hoại tử chỏm xương đùi
Phương pháp điều trị hoại tử chỏm xương đùi phụ thuộc vào mức độ nặng nhẹ của bệnh:
- Giai đoạn sớm: Điều trị nội khoa kết hợp vật lý trị liệu để giảm đau và cải thiện chức năng khớp.
- Giai đoạn muộn: Có thể cần phẫu thuật thay khớp háng để phục hồi chức năng vận động.
Việc lựa chọn phương pháp điều trị cần dựa trên đánh giá của bác sĩ chuyên khoa.
8. Hoại tử chỏm xương đùi có nguy hiểm không?
Hoại tử chỏm xương đùi là một bệnh lý nghiêm trọng và có thể dẫn đến nhiều biến chứng nguy hiểm nếu không được điều trị kịp thời. Khi tình trạng hoại tử xảy ra, máu không thể cung cấp đủ dưỡng chất cho xương, khiến xương và sụn tại khu vực chỏm xương đùi bị tổn thương, dẫn đến mất chức năng khớp háng. Nếu không can thiệp điều trị sớm, bệnh có thể gây ra đau đớn kéo dài, giảm khả năng vận động, thậm chí là tàn phế. Các biến chứng nặng như gãy xương, xẹp chỏm xương đùi và viêm khớp có thể xảy ra, ảnh hưởng nghiêm trọng đến chất lượng cuộc sống của bệnh nhân.
Sản Phẩm True Nutrition
Khuyến mãi mỗi ngày
Viết bình luận